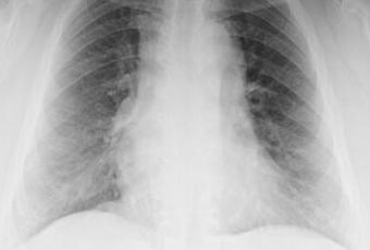
LA PROYECCION RADIOLOGICA OBTENIDA NOS MUESTRA LOS SIGUIENTES HALLAZGOS:
-Tejidos blandos, con densidad conservada, simétricos, sin evidencia de alteraciones.
-Estructuras óseas, sin evidencia de lesiones líticas, blásticas o perdida de la contigüidad.
-Vía aérea permeable.
-Mediastino, sin alteraciones. Existe calcificación en topografía de botón aórtico.
-Corazón, con índice cardiotorácico menor a 0.5.
-Hilios pulmonares, con adecuada densidad.
-Trama bronco-vascular, conservada.
-Campos pulmonares, con aumento de la densidad hacia áreas basales, dando un aspecto sutil en vidrio esmerilado.
-Recesos cardiofrénicos y costofrénico sin alteraciones.
OPINIÓN RADIOLÓGICA:
EN EL PRESENTE ESTUDIO RADIOGRÁFICO, CON IMÁGENES SUGERENTES DE PROCESO NEUMÓNICO A NIVEL BASAL BILATERAL.
ATEROESCLEROSIS BOTÓN AÓRTICO.
CORRELACIONAR CON DATOS E HISTORIA CLINICA DEL PACIENTE
La entrada PROCESO NEUMÓNICO A NIVEL BASAL BILATERAL apareció primero en El Blog de Godie.
