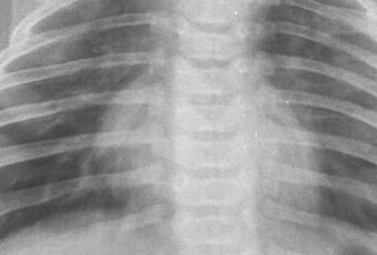
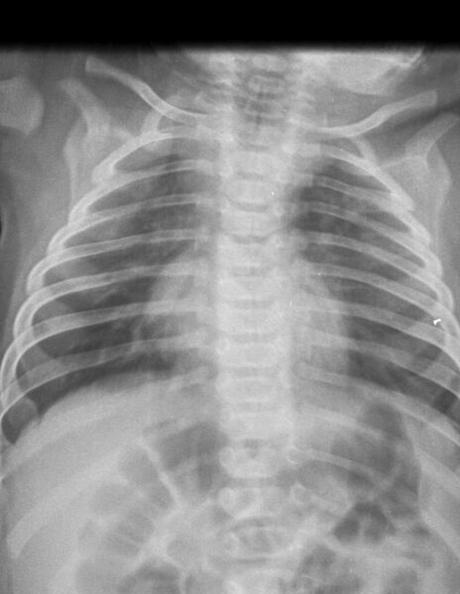
AP de tórax
EN LA PROYECCIÓN RADIOGRÁFICA OBTENIDA MUESTRA LOS SIGUIENTES HALLAZGOS:
Tejidos blandos simétricos, sin cambios en su densidad.
Silueta cardiomediastinica de forma habitual.
Botón aórtico, con diámetros adecuados, sin identificar calcificaciones.
Tráquea con leve desviación hacia la derecha, columna vertebral central.
Trama broncovascular aumentada, de predominio derecho.
Hilios pulmonares, de aspecto adecuado.
Campos pulmonares, con presencia de imágenes que simulan ser micronódulos, en lóbulo superior es como de predominio derecho.
Recesos cardiofrénicos y costo frénicos se observan libres.
Estructuras óseas, sin evidencia de lesiones líticas, blásticas o perdidas de la contigüidad. Fisis de crecimiento acorde a la edad.
IMPRESIÓN DIAGNOSTICA:
EN EL PRESENTE ESTUDIO RADIOGRÁFICO, CON IMÁGENES SUGERENTE DE PROCESO VIRAL RESPIRATORIO, PROBABLEMENTE BRONQUIOLITIS.
CORRELACIONAR CON DATOS CLÍNICOS Y ANTECEDENTES DE CONSIDERARSE NECESARIO POR MÉDICO TRATANTE, COMPLEMENTAR CON ESTUDIOS ADICIONALES O DE CONTROL, SEGÚN EVOLUCIÓN CLÍNICA DEL PACIENTE.
La entrada PROCESO VIRAL RESPIRATORIO, PROBABLEMENTE BRONQUIOLITIS apareció primero en El Blog de Godie.
