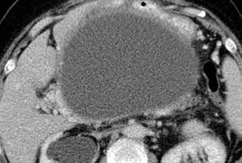
Los seudoquistes pancreáticos son secuelas comunes de la pancreatitis aguda o pancreatitis crónica , y la lesión quística más común del páncreas .
Son importantes tanto en términos de manejo como de diferenciación de otros procesos quísticos o masas en esta región.
Terminología
Los siguientes son los términos más recientes según la clasificación de Atlanta actualizada para describir las colecciones de líquidos asociadas con la pancreatitis aguda:
-Recolección de líquido en la pancreatitis edematosa intersticial.
*Recolección de líquido peripancreático agudo: en las primeras 4 semanas: Recolección de líquido peripancreático no encapsulado.
Pseudoquistes : se desarrollan después de 4 semanas; Recogida de líquidos peripancreáticos o remotos encapsulados.
-Recolección de líquidos en la pancreatitis necrotizante.
*Recolección necrótica aguda: en las primeras 4 semanas; material heterogéneo no licuado no encapsulado.
*Necrosis amurallada: se desarrolla después de 4 semanas; material heterogéneo encapsulado no licuado

