Algunos artículos atrás hemos comenzado a hablar acerca de algunas enfermedades genéticas, no todas ellas conocidas y/o frecuentes, que muchas de ellas nos sirven para entender mejor cómo funciona nuestro organismo y lo delicado que es nuestro cuerpo en su configuración.
En este artículo, hablaremos acerca de una enfermedad llamada síndrome de Jpubert. Comencemos!
Qué es el síndrome de joubert?
Como hemos introducido en los primeros párrafos, el síndrome de Joubert es una enfermedad genética, frecuentemente confundida con otras enfermedades, como por ejemplo el autismo.
No se trata de una enfermedad muy común, sino todo lo contrario.
La enfermedad debe su nombre a Marie Joubert, quien en 1969 descubrió y estudió la enfermedad. Hasta el día de la fecha, no se han registrado más de 200 casos de individuos que padecen el síndrome de Joubert.

Cuáles son las causas del síndrome de Joubert?
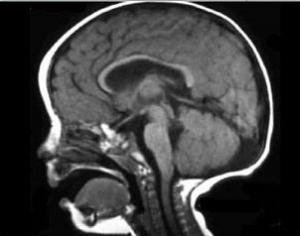
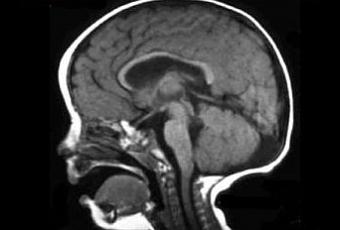
La enfermedad presenta una complejidad muy grande como para resumir sus causas. Sin embargo, básicamente puede describirse como una malformación en el mesencéfalo y en el vermis del cerebro, encargado de la movilidad de las células que comprenden el líquido cefálico.
Cuáles son los síntomas del síndrome de Joubert?
Los síntomas típicos del síndrome de Joubert son los siguientes:
. Pérdida progresiva de tono muscular
. Displasia
. Dificultades para mover los ojos
. Retraso en el desarrollo normal del cuerpo
. Cansancio
. Problemas de movilidad
. Hipersensibilidad a estímulos externos (ruidos, música, etc.)
. Microcefalia (cabeza pequeña)
. Problemas renales
Un dato interesante, que hace de esta enfermedad una extraña enfermedad es la posibilidad de que un individuo nazca con este trastorno genético y que, a los pocos meses de vida o primeros años, no muestre los síntomas y desarrolle su organismo normalmente.
Cuál es el tratamiento del síndrome de Joubert?
Lamentablemente, aún no se ha encontrado un tratamiento efectivo para esta enfermedad, debido a la rareza de la enfermedad, a los pocos casos registrados y la complejidad de la misma.
Sin embargo, sí se atacan algunos de sus síntomas, pudiendo corregirlos y mejorar la calidad de vida del paciente.
