- La salud de los hombres en Respuestas Médicas
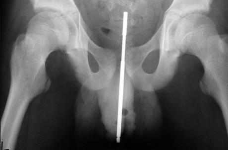
Cuando se trata de viajes a la sala de emergencias, se sorprenderá de la cantidad de casos que presentarán algún tipo de lesión traumática debido a un cuerpo extraño. Esto puede ser desde pegar un objeto en el recto, tragar algo o insertar un objeto extraño atrapado en su uretra.
¿Qué hacer cuando un objeto extraño se atasca en su uretra?
Hay muchas teorías que intentan explicar qué obliga a los pacientes a realizar este tipo de comportamiento extraño. Estas investigaciones postulan que los impulsos principales detrás de este comportamiento provienen de impulsos exóticos, problemas psicométricos, curiosidad sexual o práctica sexual mientras están intoxicados. Independientemente de la razón subyacente para provocar tal comportamiento, lo cierto es que una vez que se haya hecho el daño y el objeto extraño se haya atascado en la uretra, es mejor acudir a la sala de emergencias y contar con un profesional médico capacitado. El problema en lugar de intentar tirar del objeto. Esto puede provocar no solo lesiones superficiales de la uretra, sino que también podría romperse y provocar problemas médicos mucho más graves.
Una vez que haya viajado a la sala de emergencias después de esta inserción de cuerpo extraño, ocurrirán una serie de eventos para ayudar a los médicos a comprender lo que ha ocurrido. Se le harán preguntas, el médico tendrá que visualizar lo que ha ocurrido sin tocar el objeto para limitar el daño y tendrá que realizar estudios de imagen para tener una comprensión clara de lo que ha ocurrido.
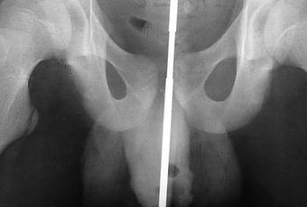
Leer ahora > ¿Cuáles son las causas comunes de la peladura de la piel del pene?Los peligros de insertar un objeto extraño en cualquier cavidad de su cuerpo tal vez sean más notables en su uretra. Es un canal pequeño y delicado y es propenso a las infecciones. Después de que los médicos retiren el objeto con ayuda endoscópica, deberá tomar antibióticos para asegurarse de que no se produzca una infección o sepsis.
El último procedimiento que se realiza para eliminar el objeto depende completamente de qué y dónde se puede encontrar el objeto. Es posible que deba someterse a una cirugía para extirpar algunos de los músculos y ligamentos que podrían afectar al objeto. Lo que también sería necesario probablemente sería una uretrografía retrógrada. Esta es una evaluación médica donde se insertará un tubo con una cámara en la uretra para verificar si hay daños. También puede extenderse hacia la vejiga para evaluar mejor el daño interno potencial que podría haber ocurrido.
Una vez que el objeto se ha eliminado con éxito, se puede ofrecer a los pacientes una consulta con un psiquiatra para llegar al fondo de lo que los llevó a realizar esta actividad en primer lugar. Por razones obvias, esto es algo que las personas no deben adquirir en el hábito de hacer. Existe un gran riesgo de daño interno grave y el alto potencial de punciones a lo largo de la vejiga y el revestimiento de la uretra. Sin embargo, recuerde, si sucede, no haga nada para empeorar el problema, deje que los médicos lo manejen y lo traten de manera efectiva.
Leer ahora > Proteína de suero y función eréctil en hombresReferencia:
- PubMed Central® – Cuerpos extraños inusuales en la vejiga urinaria y uretra debido a autoerotismo https://www.ncbi.nlm.nih.gov/pmc/articles/PMC2998407/
- Etiquetas
- atasca en su uretra
- objeto extraño
