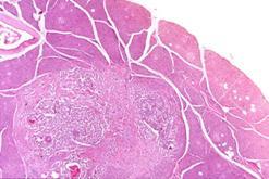
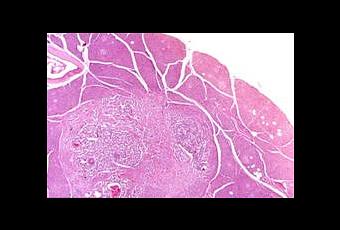
Los insulinomas son tumores generalmente benignos de las células excretoras de insulina del páncreas. Afecta a las células beta del páncreas, encargadas de la producción de insulina que el organismo necesita para el metabolismo de la glucosa. Habitualmente son tumores que afectan con mayor frecuencia al sexo femenino y cuyas edades oscilan entre los 40 y 50 años.
El páncreas es un órgano en el abdomen que libera la hormona insulina, la cual es necesaria para regular los niveles de glucosa en la sangre. Los tumores del páncreas que producen cantidades excesivas de insulina (hiperinsulinemia) se denominan insulinomas.

Los altos niveles de insulina ocasionan hipoglicemia o baja glucosa en la sangre. La hipoglicemia a causa de los insulinomas puede ser leve y causar síntomas como la ansiedad y el hambre, pero los pacientes están también en riesgo de hipoglicemia severa, la cual puede ocasionar convulsiones, coma e incluso la muerte.
Los insulinomas son tumores poco comunes que se presentan en aproximadamente 1 de cada 250.000 personas. Estos ocurren usualmente como tumores únicos y pequeños en los adultos, del 5 al 10% de los insulinomas son malignos.
Por lo común comienza produciendo debilidad generalizada, confusión, visión borrosa y doble. Es muy común también la pérdida de la memoria, trastornos de la conducta, pérdidas del conocimiento, convulsiones y finalmente coma.
Las personas con esta enfermedad pueden pasar muchas horas sin ingerir alimentos, con lo que reaparecen los síntomas, ya que no tienen hambre a pesar de sus niveles muy bajos de glucosa.
Una de las mejores alternativas para el control del insulinoma es la cirugía, si el tumor no se detecta con cirugía o si el paciente no es candidato para cirugía, se puede administrar Diazóxido para disminuir la secreción de insulina y para evitar la hipoglicemia. Este medicamento siempre se administra acompañado de un diurético, para evitar la retención excesiva de sal. También se hace tratamiento médico para estabilizar a la persona antes de la cirugía.
