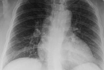
LA PROYECCION RADIOLOGICA OBTENIDA NOS MUESTRA LOS SIGUIENTES HALLAZGOS:
-Tejidos blandos, con densidad conservada, simétricos, sin evidencia de alteraciones.
-Estructuras óseas, sin evidencia de lesiones líticas, blásticas o perdida de la contigüidad.
-Vía aérea permeable, con leve desplazamiento de la tráquea hacia derecha.
-Cardio-mediastino, con aparente engrosamiento a nivel hiliar, de predominio derecho. Así como aparente aumento del tamaño cardiaco, el cual no se considera con valor diagnóstico, por el tipo de proyección.
-Hilio pulmonar derecho, con presencia de adenopatía. Hilio pulmonar izquierdo sin alteraciones.
-Trama bronco-vascular, con leve aumento de su densidad hacia regiones basales y para-hiliares, de predominio derecho.
-Campo pulmonar derecho, con pequeña área de consolidación, con presencia de broncograma aéreo a nivel basal. Campo pulmonar izquierdo sin alteraciones.
-Recesos cardiofrénicos y costofrénicos, sin alteraciones.
OPINIÓN RADIOLÓGICA:
-EN EL PRESENTE ESTUDIO RADIOGRÁFICO, CON IMAGEN QUE SUGIERE, APARENTE FOCO NEUMONICO A NIVEL BASAL DERECHO, CON PRESENCIA DE ADENOPATIAS HILIARES DERECHAS.
-CORRELACIONAR CON DATOS E HISTORIA CLINICA DEL PACIENTE
TELE DE TORAXLa entrada RX TORAX CON FOCO NEUMONICO A NIVEL BASAL DERECHO apareció primero en El Blog de Godie.
