Cada uno de los pulmones está rodeado por unas membranas denominadas pleuras. Cuando el espacio existente entre ellas está invadido por algún líquido se ha producido un derrame pleural. Dentro de la cavidad, de manera normal, permanece alojado un líquido claro saliente de los capilares sanguíneos que es evacuado por los capilares linfáticos. Este facilita el deslizamiento de la pleura en los movimientos propios de la respiración. Esta cavidad carece de presión para no comprimir los pulmones.
Cuando las pleuras se alteran o los capilares no funcionan, se produce el derrame formado por un líquido turbio o con aspecto purulento o lechoso, en función del tipo de lesión.

Causas del derrame
- Inflamaciones directas de la pleura por bacterias, virus u hongos.
- Un traumatismo.
- Propagación de inflamaciones provenientes de otros órganos.
- Asociadas a otras enfermedades, como artritis reumatoide.
- Causas ajenas a la pleura, como exceso de líquido debido a insuficiencia cardíaca o disminución de los factores de la sangre que retienen el mismo en cirrosis hepática, o problemas renales.
Síntomas de un derrame pleural
- Tos seca.
- Dolor punzante en el pecho que aumenta al toser y respirar.
- Sensación de ahogo.
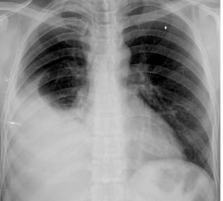
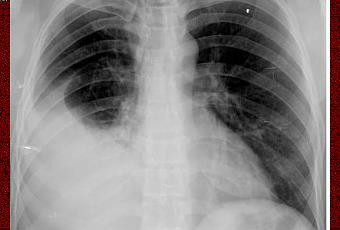
El diagnóstico del un derrame pleural se realiza por lo general mediante radiografía, donde los signos son visibles cuando el volumen es mayor de 75 ml., teniendo en cuenta que los valores normales de líquido están entre los 5 y 15 ml.
El tratamiento estará en función de la causa del derrame. Puede ser necesario evacuar el líquido realizando una punción de la cavidad de la pleura.
