El siringocistoadenocarcinoma papilífero (SCACP) es una forma rara de adenocarcinoma de la piel.
Desarrollo
El siringocistoadenocarcinoma papilìfero (SCACP) es una forma rara de adenocarcinoma de la piel. El SCACP es una forma maligna de siringocistoadenoma papilífero (SCAP). Ocasionalmente, se presentan casos de SCAP como lesiones nodulares o símil-placas, pero rara vez se presenta el SCACP. Puede desarrollarse de un SCAP o de un nevo sebáceo de Jadassohn. Existen 13 casos descriptos en la literatura de SCACP. En éste artículo se reporta y discute el 14 caso de SCACP en el cuero cabelludo de un hombre de 67 años.Caso ClínicoSe presenta un hombre de 67 años con una lesión nodular de 4-2-2cm, ulcerada en la región occipitotemporal del cuero cabelludo (fig 1, izquierda). Los antecedentes revelan que estaba hinchada la región y era pruriginosa desde la infancia. La ulceración apareció 6 meses antes de la admisión. Se realizó biopsia incisional, con diagnóstico de lesión epitelial maligna. Aunque la biopsia incisional reveló un SCAP, la apariencia clínica de la lesión era maligna, por lo que se decidió tratarla como una lesión maligna. Se extirpó con 2 cm de márgenes quirúrgicos, preservando el periostio y se utilizó un injerto de piel de la piel del muslo para reconstruir el defecto (fig 1, derecha). El exámen histopatológico reveló la contraparte maligna del diagnóstico previo. En la porción epidérmica del tumor, estaba presente una papilomatosis irregular. Se observaron invaginaciones formadas por epidermis y estructuras papilares en la luz. Se observaron zonas de transformaciones malignas entre las estructuras papilares. Se encontraron áreas de adenocarcinoma que involucran generalmente estructuras sólidas y cribiformes con invaginaciones dérmicas profundas (fig 2). No hubo signos de recurrencia ni metástasis por 2 años luego de la cirugía. Se observaron invaginaciones epidérmicas a través de niveles dérmicos profundos con extensiones papilares en la luz.

Figura 1. Vista preoperatoria del paciente (izquierda). Vista postoperatoria (derecha)

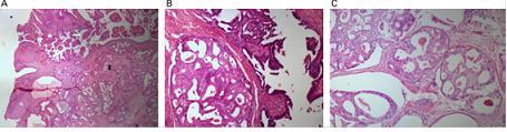
Figura 2. (A) Siringocistoadenoma papilìfero (flecha blanca). Debajo de èsta region desarrollo de adenocarcinoma (flecha negra). (B) Siringocistoadenocarcinoma papilìfero H&E_20. (C) Areas de adenocarcinoma.
(H&E_20)
Estas estructuras papilares consistían en un estroma dérmico fibrovascular delimitado por dos láminas de células epiteliales, células columnares luminales y una externa de células cuboides. Estaba presente la infiltración linfoplasmocítica en el estroma. Se observó una zona de transformación maligna que exhibía estructuras sólidas y cribiformes interrumpiendo la organización papilar epitelial y la atipía celular.
El SCAP es un tumor de las glándulas sudoríparas definido por Stokes en 1917. El SCACP se considera que representa la contraparte maligna del SCAP. Se han reportado 13 casos previamente. Dissanayake y Salm reportaron los dos primeros casos se SCACP en 1980. Seco Navedo y colaboradores reportaron casos de SCACP en cuero cabelludo con metástasis linfáticas regionales. En 1984, Numato reportó otro caso de SCACP en la pared torácica con metástasis en nódulos linfáticos. Ishada-Yamamoto y colaboradores presentaron un caso de SCACP perianal en el 2001. Se han reportado varias localizaciones de SCACP (cuero cabelludo, aurícula, área suprapúbica, brazos. Los casos reportados indican prevalencia masculina, pero faltan series de casos mayores para definir el predominio.
La mayoría de los casos tenían 60 años o más. El cuero cabelludo es el sitio predominante. El tamaño de la lesión varía de 1.5 a 13 cm. La mayoría de los casos tienen una larga duración antes de la admisión (tabla 1).
AutorSexoEdadLocalizaciónTamaño (cm)NotasDuración
Dissanayake y
Salm F74Cuero cabelludo 6.5x5.5x3.5 30 años
Dissanayake y
Salm F71Espalda 3 Varios años
Seco y colF50Cuero cabelludo 6.5x6.5x2 Metástasis a
ganglios regionales Desde el nacimiento
Numata y col F52Pecho13x8x5Metástasis a ganglios axilares 20 años
Bondi y UrsoM47 Cuero cabelludo 2.5 Varios años
Ishida y col M61 Perianal 6 10 años
Arai y colM64 Cuero cabelludo 3.5x2.5 2 años
Chi y col M 60 Aurícula 4x4.1x1 Desde la niñez
Woestenborghs
y col F 81 Cuero cabelludo 1.5 No mencionado
Park y col M 65 Suprapúbico 3.4x3.5 2 años
Hoekzema y col F 83 Brazo 3x2.5 7años
Langner y Ott M 83 Perianal 1.5 No mencionado
Sroa y col
Caso actualM 77 Cuero cabelludo 2.5
4x2x2 9 años
Desde el nacimiento
Histopatológicamente, el SCACP y SCAP demuestran invaginaciones papilomatosas irregulares delimitadas por un epitelio de 2 membranas en la que la membrana luminal está compuesta por células columnares y pequeñas células cuboides en vecindad con el estroma. Las células plasmáticas y la infiltración de linfocitos del estroma, especialmente en las proyecciones papilares, es otra característica de observar. Por otra parte, la atipía celular y nuclear, pérdida de polaridad, proliferaciones de células neoplásicas interrumpiendo la organización de las membranas indican SCACP.
Dentro de los diagnósticos diferenciales clínicos se deben considerar al carcinoma de células escamosas, carcinoma de células basales y melanoma, pero las diferencias histológicas entre éstos tumores están bien definidas. Aunque la histología de SCACP es característica, se debe excluir el adenocarcinoma primario o metastático de otros orígenes. Algunos tumores malignos del tracto gastrointestinal, pecho, tiroides, renales, y otros tumores pueden metastatizar a la piel en estadios avanzados. Estas lesiones generalmente imitan al tumor original, aunque no siempre es así. Algunas veces, pueden ser necesarios estudios con tinciones especiales para antígeno carcinoembrionario, ácido periódico de Schiff, antígeno epitelial de membrana, o p63 (un agente promisorio para discriminar adenocarcinomas primarios de metastáticos). En un estudio de Plaza y colaboradores, se encontró que la sensibilidad y especificidad del p63 fue alta.
La extirpación quirúrgica es el principal método de tratamiento. Chi y colaboradores trataron SCACP con cirugía micrográfica de Mohs, y recientemente Sroa y colaboradores realizaron la biopsia de ganglio centinela con amplia extirpación. La biopsia del ganglio centinela puede ser factible en algunos casos cuando hay sospecha de diseminación linfática. La linfadenopatía estuvo presente en sólo dos casos reportados por Seco Navedo y colaboradores y Numata y colaboradores. Excepto en el caso de Bondi (no hubo seguimiento post quirúrgico), no se habían reportado metástasis a distancia previamente. El riesgo de metástasis a ganglios linfáticos regionales es bajo, y son inesperadas las metástasis a distancia con SCACP.
El SCACP es un tumor raro que necesita entenderse por la progresión de una lesión benigna o premaligna a un adenicarcinoma. Esto debería estudiarse a nivel molecular para el nevo sebáceo de Jadassohn o SCAP en estadios tempranos y a través de los años. Debería estudiarse el ciclo celular de control de genes u oncogenes. ¿Qué aporta éste artículo a la práctica dermatológica?.El siringocistoadenocarcinoma papilífero (SCACP) es una forma rara de adenocarcinoma de la piel. El SCACP es una forma maligna de siringocistoadenoma papilífero (SCAP). Ocasionalmente, se presentan casos de SCAP como lesiones nodulares o símil-placas, pero rara vez se presenta el SCACP. Puede desarrollarse de un SCAP o de un nevo sebáceo de Jadassohn. Existen 13 casos descriptos en la literatura de SCACP. Es importante tenerlo en cuenta como diagnóstico diferencial clínico de otros tumores malignos.
Dres. Osman Enver Aydin,Baris Sahin, Heval Selman Ozkan, Oya Gore.

