Tomografia Infección pulmonar por complejo Mycobacterium avium
Tac MICOBACTERIUM AVIUM

TÉCNICA:
SE REALIZARON CORTES CON EQUIPO HELICOIDAL MULTICORTE DESDE EL CUELLO HASTA REBASAR AMBOS HEMIDIAFRAGMAS, CON RECONSTRUCCIONES A 1 MM A PACIENTE CON DIAGNÓSTICO DE NEUMONIA, SOLICITADO POR PARTE DEL SERVICIO DE NEUMOLOGIA, ENCONTRANDO LOS SIGUIENTES HALLAZGOS:
DESCRIPCIÓN DE HALLAZGOS:
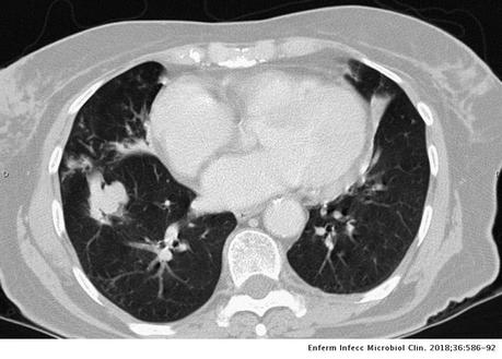
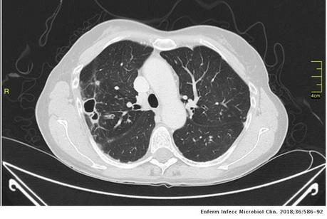
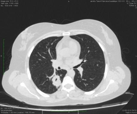
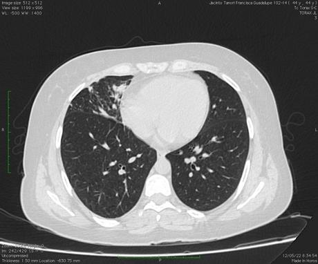
Vía aérea y pulmones: Con ventana para pulmón se observa hacia el segmento superior del lóbulo inferior derecho la presencia de una lesión cavitada, la cual tiene un diámetro máximo de 3.3 cm, además ambos pulmones presentan algunas áreas con patron micronodular, predominantemente hacia lóbulos medio y língula. La tráquea se aprecia central, sin alteraciones.
Corazón y grandes vasos: El corazón se aprecia de tamaño habitual, sin derrame pericárdico. Tronco de la arteria pulmonar, ramas derecha e izquierda de calibre habitual.
Mediastino: Sin adenopatías. El esófago se aprecia en situación habitual, sin alteraciones. La aorta se aprecia de aspecto tomográfico normal.
Tejidos blandos cuello/tórax y tiroides: Los tejidos blandos de cuello y tórax se observan con edema generalizado.
Como hallazgo se observa hacia segmentos V y VI hepáticos de Couinaud, la presencia de al menos 2 imágenes irregulares, de bordes bien definidos, con atenuación similar al agua.
CONCLUSIÓN:
- ESTUDIO TOMOGRÁFICO DE TORAX QUE MUESTRA HALLAZGOS QUE PUDIERAN CORRESPONDER CON PROCESO INFECCIOSO DE TIPO GRANULOMATOSO NO TUBECULOSO (MICOBACTERIUM AVIUM) COMO PRIMERA POSIBILIDAD, SIN EMBARGO, LA POSIBILIDAD DE QUE PROCESO TUBERCULOSO O FIMICO NO PUEDE SER DESCARTADO.
- IMÁGENES SUGESTIVAS DE QUISTE HEPATICOS.



Mycobacterium avium complex
El complejo Mycobacterium avium (MAC) es un grupo heterogéneo de micobacterias que comprendía clásicamente dos especies: M.intracellulare y M.avium con sus tres subespecies: M.avium subsp. avium, M.avium subsp. paratuberculosis y M.avium subsp. silvaticum. Recientemente se han reconocido nuevas especies, como M.chimaera —implicado en infecciones adquiridas tras cirugía cardiovascular por contaminación y aerosolización de agua—, M.colombiense, M.vulneris, M.marseillense, M.bouchedurhonense, M.yongonense, M.arosiense, M.indicus pranii y M.timonense
MAC es la causa más frecuente de infección pulmonar por MNT. Algunos casos afectan a pacientes con enfermedad pulmonar crónica (EPOC, enfisema, asma, bronquiectasias, tuberculosis precedente, etc.) o con reflujo gastroesofágico, pero puede aparecer de novo, en pacientes sin enfermedad pulmonar preexistente ni inmunodeficiencia reconocida; una parte de estos casos afecta a mujeres no fumadoras, de constitución delgada, con afectación pulmonar crónica en forma de bronquiectasias localizadas, lo que en la literatura se ha denominado síndrome de Lady Windermere. En algunos de estos casos se detectan alteraciones genéticas que afectan a la inmunidad, a la función ciliar o a heterocigotos de mutaciones del gen CFTR implicado en la fibrosis quística.
La infección pulmonar por MAC y en general por el grupo de MNT se ha clasificado en formas fibrocavitarias o multibacilares, con patrón destructivo semejante a la tuberculosis pulmonar cavitada clásica, con tinción habitualmente positiva para bacilos ácido-alcohol resistentes, y formas nodulares-bronquiectásicas, paucibacilares y más indolentes que plantean dudas de diagnóstico diferencial de enfermedad pulmonar lentamente progresiva frente a colonización respiratoria transitoria de la vía aérea por MNT.
Cuadros clínicos
El espectro de infecciones causadas por MCR es enormemente amplio e incluye numerosos síndromes clínicos Sin embargo, entre ellos hay tres grupos especialmente relevantes: las infecciones respiratorias, las infecciones de piel y partes blandas, y las infecciones asociadas a biomateriales. Cada una de ellas plantea problemas terapéuticos específicos.
Las infecciones respiratorias causadas por MCR son habitualmente cuadros crónicos asociados a la presencia de enfermedades pulmonares preexistentes, tales como la fibrosis quística. Pueden ser cuadros que afecten a cavidades pulmonares preexistentes (bullas, lesiones cicatriciales de infecciones previas, especialmente tuberculosis) en los cuales la micobacteria inicialmente colonizará la lesión y posteriormente dará lugar a una invasión de los tejidos, o bien puede aparecer como infección de bronquiectasias, similares a los cuadros causados por micobacterias de crecimiento lento. Un aspecto de especial relevancia en este caso es la identificación de la especie causante, puesto que el significado del aislamiento en muestras clínicas no es el mismo en todas ellas. Además, como veremos más adelante, la sensibilidad antimicrobiana también es variable, por lo que es muy importante este aspecto. En estos cuadros es de especial relevancia la especie M.abscessus, ya que esta micobacteria da lugar a infecciones respiratorias cuya complejidad terapéutica ha hecho que se consideren extremadamente difíciles de curar. Además, se ha evidenciado la presencia de clones de especial patogenicidad capaces de extenderse incluso por varios países lo que hace aún más importante el conocimiento de múltiples aspectos (epidemiología, enfermedades subyacentes, especie e incluso subespecie responsable del cuadro, etc.) a la hora de plantear el tratamiento más adecuado.
En el caso de las infecciones de piel y partes blandas muchas de ellas se asocian con procedimientos cosméticos tales como mesoterapia, depilación o tatuajes, dando lugar a cuadros crónicos que, si bien no suelen suponer un riesgo vital para el paciente, sí producen complicaciones estéticas de importancia incluso tras la curación de los cuadros clínicos.
Las infecciones asociadas a biomateriales han adquirido una especial relevancia a lo largo de los últimos años, y estas micobacterias dan lugar a muy diversos cuadros clínicos dentro de este grupo, tales como infecciones de prótesis osteoarticulares, infección asociada a catéteres intravasculares, endocarditis de válvula protésica, etc.. Todos estos cuadros clínicos presentan como característica común la necesidad, en el momento actual, de la retirada del material infectado como condición indispensable para la curación del paciente, dado que la micobacteria suele estar en dicho material formando una biopelícula en la superficie del mismo, con las dificultades terapéuticas que supone y que se comentarán más adelante.S
La entrada TAC Infección pulmonar por complejo Mycobacterium avium apareció primero en El Blog de Godie.