Tiroiditis de Hashimoto es un tipo de enfermedad tiroidea autoinmune, en la cual el sistema inmune ataca y destruye la glándula tiroides.
Es la forma más común de enfermedad de la tiroides. Se tiende a darse en familias, y es mucho más común en las mujeres que en los hombres. Se trata de una enfermedad autoinmune crónica que puede causar la glándula tiroides o hipotiroidismo. También se asocia con otras condiciones como la diabetes, la enfermedad de Addison, la artritis reumatoide, anemia perniciosa, y menopausia prematura.
La función de la glándula tiroides
La glándula tiroides es muy pequeña y con forma de mariposa, situada en la base del cuello, justo debajo de la nuez de Adán. Tiene un enorme efecto en la salud debido a que, como parte del sistema endocrino, produce hormonas y controla el nivel de metabolismo del cuerpo y muchas otras funciones, desde la digestión hasta la reproducción.
Produce tres hormonas muy importantes:Mantienen el nivel de utilización del cuerpo de las grasas y los hidratos de carbono, ayudan a controlar la temperatura del cuerpo, la frecuencia cardíaca, influencian y ayudan a regular la producción de proteínas en el cuerpo.
- La calcitonina, una hormona que ayuda a regular la cantidad de calcio en la sangre.
La cantidad de tiroxina y triyodotironina que se libera, se controla por la glándula pituitaria y el hipotálamo de las otras dos pequeñas glándulas situadas en la cabeza. La hormona estimulante de la tiroides o TSH es una hormona producida por la glándula pituitaria que estimula la glándula tiroides. La medición de los niveles de TSH en la sangre se considera una forma primaria para diagnosticar trastornos de la tiroides.
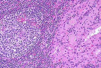
Mecanismo de la enfermedad y la histología
Tiroiditis de Hashimoto o la enfermedad de Hashimoto es un trastorno de la glándula tiroides común que puede ocurrir a cualquier edad, pero es más común en las mujeres de mediana edad. Es causada por una reacción autoinmune, una reacción del sistema inmune contra la glándula tiroides. Fisiológicamente, estos auto-anticuerpos están dirigidos contra la peroxidasa tiroidea y la tiroglobulina, que están provocando una destrucción gradual de los folículos en la glándula tiroides.
Esta enfermedad se caracteriza por:- Un intenso celular mononuclear que se infiltra en la glándula tiroides
- La presencia de autoanticuerpos
Hay un número de teorías que tratan de explicar el mecanismo exacto de daño causado por patógenos en el tejido durante esta forma de tiroiditis.
- Las células T auto-reactivas o células T auxiliares pueden causar daño a los tejidos, por las citoquinas de liberación, ya sea directamente o mediante la activación de células macrófagos, cuya función es literalmente "comer" el antígeno, y causar la destrucción del tejido.
- Los anticuerpos auto-reactivos podrían ser directamente responsables de la patología, ya que pueden interferir en la absorción de yodo y vinculante por la tiroglobulina.
- La inflamación puede causar daño a los tejidos mediante la activación de apoptosis, la muerte programada en células de la tiroides (tirocitos)
- Algunos expertos creen que un virus o bacteria podría desencadenar la respuesta automática, mientras que otros creen que un defecto genético puede estar implicado.
Signos y síntomas
A veces puede ser muy difícil de diagnosticar la tiroiditis de Hashimoto con sólo mirar a los síntomas, ya que no son únicos. Los síntomas no ocurren de repente, debido a que la enfermedad progresa lentamente durante un número de años y causa daños crónicos en la tiroides.
Los síntomas más comunes son:- Aumento de la sensibilidad al frío.
- El estreñimiento.
- Piel pálida y seca.
- Una cara hinchada.
- Voz ronca.
- Un nivel de colesterol en sangre elevado.
- Aumento de peso sin explicación.
- Los dolores musculares, sensibilidad y rigidez, sobre todo en los hombros y las caderas.
- El dolor y la rigidez en las articulaciones y la inflamación en las rodillas o las pequeñas articulaciones de las manos y los pies.
- La debilidad muscular, especialmente en las extremidades inferiores.
- Menstruación excesiva o prolongada (menorragia).
- Depresión.
Incidencia
Alrededor de 0,3 / 0,5 casos por 1.000 personas al año son diagnosticadas con la enfermedad de Hashimoto. El problema es que el número de personas diagnosticadas con tiroiditis de Hashimoto está aumentando con el tiempo, principalmente debido a mejores técnicas de diagnóstico. La proporción de mujeres a hombres es de 20 a 1. La enfermedad es más común en mujeres de mediana edad, pero puede afectar a todos los grupos de edad, incluidos los niños.
El diagnóstico de la tiroiditis de Hashimoto
Si una persona se da cuenta de algunas de las características, de este tipo de enfermedad de la tiroides, lo mejor es ponerse en contacto con su médico general o endocrinólogo, con el uso de varias herramientas de diagnóstico, el médico puede establecer el diagnóstico preciso y rápidamente comenzar con el tratamiento adecuado. También se recomienda que la persona debe acudir al médico para un control periódico de la función tiroidea.
- Cirugía tiroidea previa.
- El tratamiento con yodo radioactivo o medicamentos antitiroideos.
- Radioterapia en la cabeza, el cuello o la parte superior del pecho.
Un simple análisis de sangre puede determinar la cantidad de hormonas producidas por las glándulas tiroides y pituitaria. Si la glándula tiroides es poco activa, el nivel de la hormona tiroidea será más baja de lo normal. Al mismo tiempo, el nivel de TSH es elevado porque la glándula pituitaria trata de estimular la glándula tiroides para producir más hormona tiroidea. Debido a que la prueba de TSH es la mejor prueba de selección y mucho más sensible que otras, la mayoría de los médicos primero revisarán la TSH y despues piden una prueba de la hormona tiroidea, si es necesario.
2. La prueba de anticuerposPuesto que la enfermedad de Hashimoto es un trastorno autoinmune, su mecanismo implica la producción de anticuerpos anormales. Los anticuerpos que se encuentran en estos trastornos autoinmunes son completamente diferentes, ya que están dirigidos a diferentes estructuras. Un análisis de sangre puede confirmar la presencia de dichos anticuerpos específicos dirigidos contra tirocitos.
3. El examen histológicoEl examen histológico de la glándula se está haciendo mediante la eliminación de pequeñas cantidades de tejido tiroideo, ya sea con una biopsia con aguja o durante la cirugía. La muestra de tejido se envía entonces a los patólogos, que son capaces de ver la infiltración de linfocitos, usando microscopios.
Las complicaciones de la tiroides de Hashimoto no tratadas
Varias investigaciones realizadas en el pasado han demostrado que la tiroiditis de Hashimoto no tratada puede conducir a varias complicaciones posibles y problemas de salud, tales como:
1. El bocioLa estimulación constante de la tiroides por la glándula pituitaria y los niveles elevados de TSH puede hacer que la glándula se agrande. Esta condición en la que la glándula tiroides es anormalmente grande se llama bocio. El hipotiroidismo es una de las causas más comunes de bocio. La glándula es de consistencia firme y elástica, pero puede variar de suave a fuerte. Es fácil asumir que, además de afectar a la apariencia, el bocio también puede interferir con la respiración o la deglución y puede ser potencialmente peligroso.
2. Problemas de salud mentalDado que la depresión puede ocurrir en la enfermedad de Hashimoto, el tratamiento se convirtió en el objetivo principal de muchos terapeutas. También se ha demostrado que la enfermedad de Hashimoto pueden causar una decadencia en el deseo sexual y puede conducir a la disminución y ralentizado el funcionamiento mental.
3. Los problemas del corazónLos altos niveles de lipoproteína de baja densidad (LDL), que se encuentra normalmente en los pacientes del corazón, se han encontrado en personas con tiroiditis de Hashimoto, lo que conduce a los expertos a creer que podría haber alguna conexión ahí.
4. MixedemaEl hipotiroidismo a largo plazo puede conducir a esta condición rara y potencialmente mortal, que se caracteriza por una intensa intolerancia al frío, somnolencia, letargo y pérdida del conocimiento profundo.
5. Los defectos de nacimientoLos bebés nacidos de mujeres con la enfermedad de Hashimoto no tratada pueden tener
- Un mayor riesgo de defectos de nacimiento
- Problemas intelectuales.
- Problemas de desarrollo.
Lo bueno de esto es que, si la condición se diagnostica en los primeros meses de embarazo y con el tratamiento adecuado, las posibilidades de desarrollo normal son grandes.
El tratamiento de la tiroiditis de Hashimoto
Hay varios tipos de tratamiento de tiroiditis de Hashimoto y la terapia de hormona sintética es la más común y eficaz.
El tratamiento con hormonas sintéticas
La terapia de reemplazo con hormona tiroidea es un tratamiento muy eficaz y por lo general implica el uso diario de la hormona tiroidea sintética llamada levotiroxina.
Todos los síntomas, por lo general mejoran después de sólo varios días de uso. Los niveles de colesterol también se reducen. Otro buen aspecto de este tratamiento es que Levothyroxine hace que prácticamente no haya efectos secundarios cuando se usa en la dosis apropiada y es relativamente barato. El único inconveniente de este tratamiento es que es de por vida.
Se debe tener cuidado si levotiroxina se utiliza junto con las siguientes sustancias:Es muy importante que, durante el tratamiento, el paciente pase cada 2-3 meses chequeos regulares con su médico, ya que los cambios de dosificación son habituales en esta terapia y lo que el seguimiento de la dosis es muy importante.
- Los suplementos de hierro.
- La colestiramina.
- Hidróxido de aluminio.
- El sodio de sulfonato de poliestireno.
- El sucralfato, un medicamento para la úlcera.
La medicina complementaria y alternativa
En el último par de años, los extractos naturales que contienen la hormona tiroidea, a partir de las glándulas tiroides de los cerdos están disponibles y han demostrado una gran eficacia. Los más comunes son:
- Armadura de hormonas tiroideas.
- Bio-tiroides.
Los glandulares están concentradas en glándulas derivadas de animales, que se secan. También han demostrado una gran efectividad. El único problema es que estos productos no están regulados por la Administración de Alimentos y Drogas, y su potencia no está garantizada.
