Rebecca Saxe and Atsushi Takahashi /
Department of Brain and Cognitive Sciences, MIT / Athinoula A. Martinos
Imaging Center at the McGovern Institute for Brain Research, MIT
Para llegar a adulto es necesario "matar" la figura del padre y de la madre. Durante eones han existido ritos de iniciación donde los niños y las niñas cruzaban la línea que les permitía acceder al mundo adulto. El delicado hilo que une a una madre con sus hijos había de ser cortado de forma simbólica. Esto no siempre es fácil, es un motivo habitual de sufrimiento humano. Todos somos hijos y de una u otra manera también llegamos a ser padres. Aprender a trenzar y a destrenzar, a unir y a separar es un arte para el que hacen falta muchos ingredientes. Tiempo, silencio, música, arrullos, abrazos, besos, lejanía, historias a la lumbre, susurros, comidas compartidas... A veces sale bien y unos y otros consiguen ocupar la posición que la vida les da sin signos manifiestos de dolor. A veces sale mal y las lágrimas o la soledad tiznan los sueños con las suelas manchadas de carbonilla negra. Estamos hechos con los mismos retales, nuestros cerebros contienen las mismas melodías. Qué alegría tan grande cuando somos capaces de cantarlas juntos.
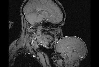
Nota: La foto es una imagen de resonancia magnética, un solo corte. Muestra a una madre con su hijo dormido, fue necesaria mucha quietud para obtenerla. Es algo que no se ve todos los días pero que ilustra perfectamente que lo que pensamos que es un límite es algo puramente figurado.
அம்மாவைப் பற்றி அனைத்து
வயது அடைய தகப்பனையும் தாயையும் உருவம் "கொலை" அவசியம். குழந்தைகள் அவர்கள் வயது உலக நுழைய அனுமதி என்று தாண்டினார் அங்கு பலப்பல ராகிங் உள்ளன. ஒரு தாய் இணைக்கும் மென்மையானது நூல் மற்றும் அவரது குழந்தைகள் அடையாளபூர்வமாகவேனும் வெட்டி வேண்டியிருந்தது. இந்த எப்போதும் மனித துன்பங்கள் ஒரு பொதுவான காரணமாக உள்ளது, எளிதாக உள்ளது. நாம் அனைத்து மகன்கள் மற்றும் ஒரு வழி அல்லது இன்னொரு நாங்கள் பெற்றோர்கள் ஆக உள்ளன. நெசவு ஐக்கியப்பட மற்றும் பிரிக்க, untwist கற்று மற்றும் அதை பல பொருட்கள் எடுக்கும் எந்த ஒரு கலை. நேரம், அமைதி, இசை, தாலாட்டு, அணைத்துக்கொள்கிறார், முத்தங்கள், வெகு தொலைவு, தீ, கிசுகிசுத்தவர்களாக பகிர்ந்துள்ளார் உணவு மூலம் கதைகள் ... சில நேரங்களில் நன்றாக செல்கிறது மற்றும் இருபுறமும் வாழ்க்கை அவர்களை வலி வெளிப்படையான அறிகுறிகள் கொடுக்கிறது என்று இடத்தை ஆக்கிரமித்து கிடைக்கும். சில நேரங்களில் அது கருப்பு புகைக்கரி கறை படிந்த உள்ளங்கால்கள் கொண்டு கனவுகள் tiznan தவறு மற்றும் கண்ணீரும் தனிமையும்தான் செல்கிறது. நாம் அதே ஸ்கிராப் செய்யப்படுகின்றன, நமது மூளை அதே இசையை கொண்டிருக்கும். என்ன ஒரு நாம் ஒன்றாக பாட முடியும் போது, அதனால் மிகுந்த சந்தோஷத்தை.
(தானியங்கி, நான் தவறுகள் மன்னிப்பு)
