Trastornos encefálicos: la lisencefalia
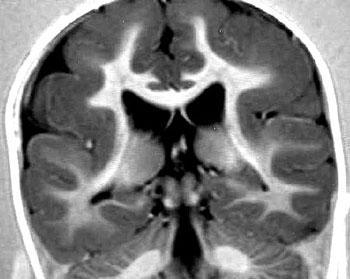
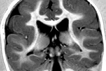
La lisencefalia es una enfermedad congénita que se debe a una falla en el desarrollo del cerebro caracterizado por una superficie lisa de la corteza cerebral (ausencia de las circunvoluciones), que también se asocia con un engrosamiento y con malformaciones como microcefalia y anormalidades en los riñones, corazón, sistema digestivo y otros órganos.

La superficie de un cerebro normal está formada por una serie compleja de pliegues y surcos. Los pliegues se denominan giros o circunvoluciones y los canales se denominan surcos. En niños que padecen de lisencefalia, las circunvoluciones normales están ausentes o se han formado solamente en parte, haciendo que la superficie del cerebro sea lisa. Los niños afectados suelen mostrar retraso psicomotor grave, retraso del desarrollo, convulsiones y espasticidad muscular o hipotonía.
Las causas de la lisencefalia pueden incluir infecciones virales del útero o el feto durante el primer trimestre, o el suministro insuficiente de sangre al cerebro del feto en el embarazo temprano. También hay una serie de causas genéticas de la lisencefalia, incluyendo la mutación del gen Reelin (en el cromosoma 7), así como de otros genes en el cromosoma X y el cromosoma 17.
El pronóstico para los niños que padecen esta enfermedad depende del grado de malformación cerebral que exista. Muchos niños mueren antes de los dos años de vida. Algunos sobreviven pero no muestran ningún desarrollo significativo que vaya más allá del que se espera en infantes de 3 a 5 meses de edad. Pero algunos otros niños pueden tener un desarrollo e inteligencia considerables.
