Esto hace muy difícil el calzado del pie y suele asociarse a mucho dolor por falta de espacio dentro del zapato, ya que la anchura del pie es mucho mayor a la normal.
Una vez agotados los tratamientos ortopédicos y de analgesia, se decide el tratamiento quirúrgico con la finalidad de alinear el pie corrigiendo las deformidades.
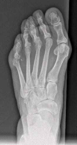
Para ello opté por la realización de una osteotomía (corte en el hueso) de los metatarsianos, fijados el primero con un clavo-tornillo específicamente diseñado para ello y el quinto con 2 tornillos de rosca ocultable para evitar roces innecesarios.
Estas técnicas a su vez se realizan mediante cirugía de mínima incisión, siendo el postoperatorio mucho más satisfactorio para el paciente.El resultado lo considero espectacular, no solo en la corrección de la deformidad, sino también en la obtención de un estrechamiento tranversal del pie de unos 2 cm (casi un 20% de su anchura), por lo que la paciente está ahora calzando zapatos normales sin ningun problema, cuando antes era imposible.Las radiografías de antes y después:

