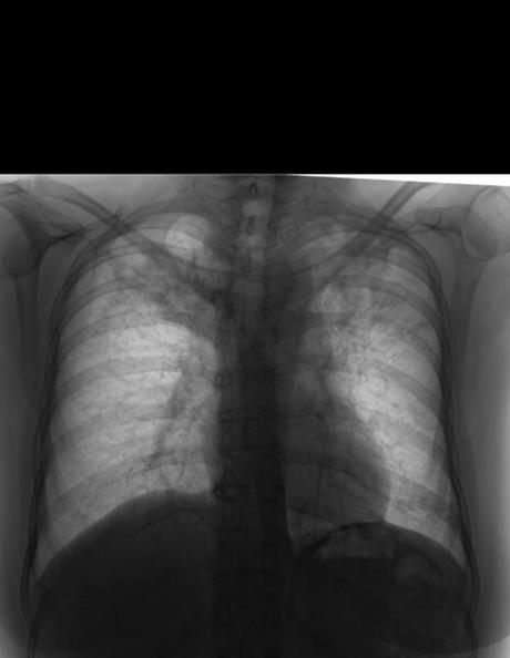
PA DE TORAX (TELE DE TORAX)
LA PROYECCION RADIOLOGICA OBTENIDA NOS MUESTRA LOS SIGUIENTES HALLAZGOS:
-Tejidos blandos, con densidad conservada, simétricos, sin evidencia de alteraciones.
-Estructuras óseas, sin evidencia de lesiones líticas, blásticas o perdida de la contigüidad. Se observa convexidad derecha de columna dorsal. Existen osteofitos marginales.
-Vía aérea permeable, tráquea con leve desplazamiento hacia la derecha por botón aórtico.
-Mediastino, con ensanchamiento de su porción superior por arco aórtico y aorta descendente.
-Corazón, con índice cardiotorácico menor a 0.5.
-Hilios pulmonares, y pulmonar izquierdo oculto.
-Trama bronco-vascular, conservada.
-Campos pulmonares, con patrón retículo nodular difuso, así como presencia de áreas en vidrio esmerilado en lóbulos superiores de ambos pulmones, con bronquiectasia en pulmón derecho.
-Recesos cardiofrénicos y costofrénicos libres.
OPINIÓN RADIOLÓGICA:
EN EL PRESENTE ESTUDIO RADIOGRÁFICO, CON DATOS DE NEUMOPATÍA CRÓNICA INTERSTICIAL (ENFERMEDAD GRANULOMATOSA), BRONQUIECTASIA EN LÓBULO PULMONAR DERECHO Y ÁREAS DE CONSOLIDACIÓN EN AMBOS LÓBULOS SUPERIORES.
CORRELACIONAR CON DATOS E HISTORIA CLINICA DEL PACIENTE
La entrada TUBERCULOSIS EN RECUPERACION apareció primero en El Blog de Godie.
