Ame1314
Descripción
compartido
MIS BLOGS
-
Universo Doppler
https://universodoppler.wordpress.com/
Traducción y artículos de ciencia.
ÚLTIMOS ARTÍCULOS (1095)
-
Hacia el descubrimiento de una quinta fuerza de la naturaleza
En un gran avance para el campo de la física de partículas, el profesor de física Larry Hunter y sus colegas de la universidad de Amherst y la Universidad de... Leer el resto
Publicado el 25 febrero 2013 CIENCIA, CIENCIAS DEL UNIVERSO -
Un satélite del tamaño de una maleta para cazar asteroides
Un pequeño satélite canadiense tiene previsto su lanzamiento desde la India hoy lunes 25 de febrero. Será la primera nave espacial diseñada específicamente... Leer el resto
Publicado el 25 febrero 2013 CIENCIA, CIENCIAS DEL UNIVERSO -
Similitudes atmosféricas entre el Sol y su vecino gemelo Alpha Centauri A
El Observatorio Espacial Herschel de la ESA ha detectado una capa fresca en el ambiente de Alpha Centauri A, la primera vez que esto se ha visto en una... Leer el resto
Publicado el 21 febrero 2013 CIENCIA, CIENCIAS DEL UNIVERSO -
Quitando el polvo de una 'langosta espacial'
Esta nueva imagen del telescopio VISTA de ESO capta un paisaje celeste de nubes brillantes de gas y bucles de polvo rodeando a estrellas jóvenes calientes. Leer el resto
Publicado el 21 febrero 2013 CIENCIA, CIENCIAS DEL UNIVERSO -
Cómo consiguieron las ballenas sus dientes
Las ballenas son mamíferos, pero no se parecen a los mamíferos que viven a nuestro alrededor, ya que tienen una cola triangular, no tiene patas traseras ni vell... Leer el resto
Publicado el 20 febrero 2013 CIENCIA, MUNDO ANIMAL -
La relación entre los cerebros de humanos y pájaros para el habla y el canto
Llamar a alguien “cabeza de chorlito” puede que nos ea en realidad un insulto: Los seres humanos y pájaros cantores comparten cambios genéticos que afectan a... Leer el resto
Publicado el 19 febrero 2013 CIENCIA -
Pistas sobre el origen de los rayos cósmicos
Nuevas observaciones detalladas de los restos de una supernova de hace mil años, llevadas a cabo con el telescopio VLT (Very Large Telescope) de ESO, han... Leer el resto
Publicado el 18 febrero 2013 CIENCIA, CIENCIAS DEL UNIVERSO -
Explosión de un meteorito en los Urales (Vídeo)
Llegan informes de meteoros brillantes y fuertes explosiones que han sucedido de Rusia, junto al increíble video de arriba que muestra lo que parece ser un... Leer el resto
Publicado el 15 febrero 2013 CIENCIA, CIENCIAS DEL UNIVERSO -
9 métodos propuestos para salvar a la Tierra de un posible asteroide
Mañana 15 de febrero, un asteroide de 45 metros pasará entre la Tierra y nuestro anillo de satélites -el sobrevuelo más cercano registrado de un asteroide en... Leer el resto
Publicado el 14 febrero 2013 CIENCIA, CIENCIAS DEL UNIVERSO -
Nueve métodos propuestos para salvar a la Tierra de un posible asteroide
Mañana 15 de febrero, un asteroide de 45 metros pasará entre la Tierra y nuestro anillo de satélites -el sobrevuelo más cercano registrado de un asteroide en... Leer el resto
Publicado el 14 febrero 2013 CIENCIA, CIENCIAS DEL UNIVERSO -
La moneda cuántica y el azar
Toda imprevisibilidad en el mundo que nos rodea, sea el resultado de un lanzamiento de moneda o las condiciones meteorológicas del próximo mes, es un fenómeno... Leer el resto
Publicado el 14 febrero 2013 CIENCIA, CIENCIAS DEL UNIVERSO -
Los científicos explican qué es la 'extraña cosa brillante' fotografiada por la...
Como se informó la semana pasada , las imágenes del rover Curiosity mostraron lo que parecía un pedazo de metal brillante que sobresalía de una roca. Leer el resto
Publicado el 13 febrero 2013 CIENCIA, CIENCIAS DEL UNIVERSO -
'Las flechas de Cupido': Cómo funcionan las leyes de la atracción
Hemos escuchado clichés como : “Fue amor a primera vista”, “Es la belleza interior lo que realmente importa”, o “Los opuestos se atraen”. Leer el resto
Publicado el 12 febrero 2013 CIENCIA, CIENCIAS DEL UNIVERSO -
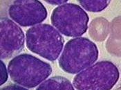
Descubierto un 'talón de Aquiles' de la leucemia linfoide
Un equipo de investigación internacional coordinado en el IRCM en Montreal ha encontrado un posible tratamiento alternativo para la leucemia linfoide. Leer el resto
Publicado el 12 febrero 2013 CIENCIA, SALUD Y BIENESTAR -
Descubierto el cuerpo de Ricardo III
La historia y la literatura han pintado al rey Ricardo III de Inglaterra como un bribón que encontró una muerte violenta en la batalla y fue enterrado sin... Leer el resto
Publicado el 11 febrero 2013 CIENCIA, CULTURA Y OCIO, HISTORIA -
Los planetas similares a la Tierra podrían estar más cerca de lo pensado
Los científicos que buscan planetas habitables no han de alejarse demasiado de nuestro vecindario galáctico, según un nuevo estudio, que calcula que un planeta... Leer el resto
Publicado el 11 febrero 2013 CIENCIA, CIENCIAS DEL UNIVERSO -
Las alas de la Nebulosa de La Gaviota
Esta nueva imagen de ESO muestra parte de una nube de polvo y gas resplandeciente llamada Nebulosa de la Gaviota. Estas pocas nubes rojas forman parte de las... Leer el resto
Publicado el 07 febrero 2013 CIENCIA, CIENCIAS DEL UNIVERSO -
La extinción de los neardentales podría no ser tan reciente cómo se creía
La historia de los neandertales podría necesitar un nuevo final, según sugiere un controvertido estudio. Mediante el uso de métodos mejorados de radiocarbono,... Leer el resto
Publicado el 06 febrero 2013 CIENCIA, CULTURA Y OCIO, HISTORIA -
Átomos para conocer mejor las estrellas de neutrones
La medición precisa de un exótico átomo en laboratorio ha perfeccionado la comprensión científica de las estrellas de neutrones, que están entre los objetos... Leer el resto
Publicado el 05 febrero 2013 CIENCIA, CIENCIAS DEL UNIVERSO -
Un dieta vegetariana reduce el riesgo de enfermedades cardíacas
Una dieta vegetariana puede reducir el riesgo de enfermedades cardíacas hasta en un 32%, según un estudio británico.Los investigadores que siguieron a más de 44. Leer el resto
Publicado el 05 febrero 2013 SALUD Y BIENESTAR
