Drajomeini
Descripción
compartido
MIS BLOGS
-
El blog de la Dra Jomeini
http://www.blogdrajomeini.blogspot.com/
Peripecias de una anestesioblasta madre de dos hijos que intenta sobrevivir en el día a día.
ÚLTIMOS ARTÍCULOS (345)
-
El vendedor
Me asalta en el pasillo de las consultas.- ¿Puede verme?¿Puede verme? Vengo sin cita, pero no puedo más.La Unidad de Dolor crónico, como es lógico, está... Leer el resto
Publicado el 29 diciembre 2011 DIARIO, SALUD Y BIENESTAR -
Conocimiento del medio II: La función de relación.
La lista de los Reyes Godos va asociada en mi memoria a un recuerdo imborrable. Mi hermano, en pijama, con unos diez años, repitiéndola por octava vez y, por... Leer el resto
Publicado el 20 diciembre 2011 DIARIO, SALUD Y BIENESTAR -
Mírame a los ojos, estoy aquí...diferénciate.
Ella iba a contarle que no podía hacer el amor por el dolor, que eso había empeorado su relación de pareja, que tenía que tomarse dos pastillas para dormir por... Leer el resto
Publicado el 12 diciembre 2011 DIARIO, SALUD Y BIENESTAR -
Correspondencia
Estimada Dra Jomeini,Como bien sabe, el colegio tiene unas normas estrictas de uniformidad. Las camisetas que el Terrorista y Susanita han traído hoy a clase... Leer el resto
Publicado el 10 diciembre 2011 DIARIO, SALUD Y BIENESTAR -
Un nacimiento cada minuto
La productora inglesa TV Shine elaboró, en maternidades de Gran Bretaña, un programa sobre la vida en un paritorio llamado "One born every minute". No era un... Leer el resto
Publicado el 09 diciembre 2011 DIARIO, SALUD Y BIENESTAR -
Conocimiento del medio I
Las Naturales de toda la vida ahora se llaman Conocimiento del Medio. En su tiempo, cuando eran Naturales, me encantaban. Ahora, las sufro en silencio. Leer el resto
Publicado el 01 diciembre 2011 DIARIO, SALUD Y BIENESTAR -
Fibromialgia
- Después de todo - dijo la paciente - siempre dicen que la fibromialgia es una palabra inventada para llamar a las que se quejan de todo.- ¿Quién dice eso? -... Leer el resto
Publicado el 22 noviembre 2011 DIARIO, SALUD Y BIENESTAR -
Inicio de lunes
Generalmente, ni mi santo ni yo llevamos a los niños al cole. Básicamente, porque a la hora en que entran, él y yo ya llevamos una hora y media trabajando. Los... Leer el resto
Publicado el 15 noviembre 2011 DIARIO, SALUD Y BIENESTAR -
Gilipollas
De todo hay en la viña del señor. Médicos gilipollas, también. De hecho, hay más de lo estrictamente recomendable. Pero, a veces, su gilipollez es tan franca qu... Leer el resto
Publicado el 10 noviembre 2011 DIARIO, SALUD Y BIENESTAR -
Un rollo ( o dos) para Susanita
Mi hija Susanita, que dibuja como una pequeña Picasso (y no es amor de madre), tiene una mala nota en Plástica. Y es por mi culpa. Pero - dicho sea en mi defens... Leer el resto
Publicado el 08 noviembre 2011 DIARIO, SALUD Y BIENESTAR -
Historias de la UVI: Sepsis
Manuel era taxista. Al volante de su taxi, le gustaba conversar con sus pasajeros, coleccionar esos pequeños pedazos de las historias de los demás, contarles... Leer el resto
Publicado el 07 noviembre 2011 DIARIO, SALUD Y BIENESTAR -
Y de mayor también quiero ser...
- Mamá - dice el Terro, con la cara del que ha descubierto la pólvora - De mayor quiero ser veterinario.- ¿Y lo de cocinero? - pregunto yo, mientras mis sueños... Leer el resto
Publicado el 03 noviembre 2011 DIARIO, SALUD Y BIENESTAR -
Rafa o la historia de una escalera
Lo conocí en una escalera. Yo bajaba. Él subía. Me quedé mirándole como un pasmarote: imposible no reconocerle.- ¿Tú eres Maimónides, verdad? - le pregunté.Él m... Leer el resto
Publicado el 22 octubre 2011 DIARIO, SALUD Y BIENESTAR -
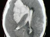
Historias de la UVI : Hemorragia intraparenquimatosa
El móvil empezaba a sonar desde que salía de casa. Sin descanso. Y ella encendía el primer cigarrillo mientras contestaba la primera llamada. Después, era todo... Leer el resto
Publicado el 19 octubre 2011 DIARIO, SALUD Y BIENESTAR -
Feliz día del Anestesiólogo
Hoy es el día mundial del Anestesista. Sí, yo también acabo de enterarme. Más que nada porque @agonistapuro me ha felicitado en twitter. Al principio, he... Leer el resto
Publicado el 17 octubre 2011 DIARIO, SALUD Y BIENESTAR -
Carácter español
Tres guardias esta semana explican mi ausencia de esta casa virtual, pero también de la real. La otra tarde, el Terrorista me observaba mientras yo,... Leer el resto
Publicado el 11 octubre 2011 DIARIO, SALUD Y BIENESTAR -
Pesadilla antes de la guardia
Mis hijos son la hostia. No es amor de madre, creedme.Lo digo con un cabreo intrínseco que me empieza en la punta del dedo meñique del pie derecho y me llega... Leer el resto
Publicado el 04 octubre 2011 DIARIO -
De pesca y pez-queñines
Este verano, nuestro amigo Luigi Fetuccini (que conste que el mote no se lo he puesto yo) ha enseñado a mi santo a pescar. O, mejor dicho, lo ha iniciado en la... Leer el resto
Publicado el 27 septiembre 2011 DIARIO, SALUD Y BIENESTAR -
Pacientazos II
- Pero, bueno - le increpo a una enana de cinco años, que llora a todo pulmón en la camilla de quirófano - ¿te parece normal la que estás montando? Tu mamá se v... Leer el resto
Publicado el 18 septiembre 2011 DIARIO, SALUD Y BIENESTAR -
Tres
El tres es un número importante. Tres son los Reyes Magos, la Santísima Trinidad y los Tres cerditos. Tres son los mosqueteros, los libros del Señor de los... Leer el resto
Publicado el 13 septiembre 2011 DIARIO, SALUD Y BIENESTAR
