Godieboy
compartido
MIS BLOGS
-
godie geek blog
http://godieboy.com/
blog de un geek que publica sobre Tecnologia, Internet, Programacion, Anime, Aplicaciones webs y cualquier cosa que vaya descubriendo en su dia a dia.
ÚLTIMOS ARTÍCULOS (760)
-
Oclusiã“n total de la arteria iliaca comun izquierda
Un eco-Doppler arterial de miembros inferiores, demostró oclusión total de la arteria iliaca común izquierda Se le practicó angiografÃa a través de... Leer el resto
Publicado el 27 mayo 2022 TECNOLOGÍA -
La clasificacion de Child-Pugh modificada
La clasificación modificada Child-Pugh de severidad de enfermedad hepática se realiza de acuerdo al grado de ascitis, las concentraciones plasmáticas de... Leer el resto
Publicado el 25 mayo 2022 TECNOLOGÍA -
Caso clinico de neumonitis por hipersensibilidad
Caso clÃnicoTOMOGRAFIAANTECEDENTESFEMENINO38 AÑOS DE EDADORIGINARIA Y RESIDENTE DE MERIDA, YUC.EMPLEADA DE AVICECAREA DE INGRESO: URGENCIASMOTIVO DE INGRESO:... Leer el resto
Publicado el 24 mayo 2022 TECNOLOGÍA -
Formato de tesis
Dra Lydia Cubría OllivierMaestra en Investigación ClínicaDiplomada en ultrasonidoEstructura de una TesisI.-... Leer el resto
Publicado el 05 febrero 2022 TECNOLOGÍA -
Mastografia birads b0-c nodulo izq cse
Nódulo en tercio posterior del CSE de mama izquierdaSe realiza mastografía bilateral en proyecciones CC y MLO observando lo siguiente.Mamas simetrías en forma... Leer el resto
Publicado el 01 febrero 2022 TECNOLOGÍA -
Tele de torax normal
Paciente: Edad: 58 años. Estudio: RX Tórax. Tejidos blandos de morfología y densidad normales.Las estructuras óseas se observan de adecuada morfología y densida... Leer el resto
Publicado el 25 enero 2022 TECNOLOGÍA -
Transtornos hipertensivos durante el embarazo
Deï¬niciones: Prehipertension’: hallazgo de cifras tensionales entre 120 y 139 de sistólica y 80 y 89 de diastólica. El hallazgo de prehipertensión en los... Leer el resto
Publicado el 23 enero 2022 TECNOLOGÍA -
Examen de medicina de tep tromboembolia pulmonar e hipertension pumonar
1.- De las siguientes respuestas cuales es o son signos radiológicos de TEP, en radiografia de torax: Signo de Westermark, Signo deFleischner, Joroba de... Leer el resto
Publicado el 22 enero 2022 TECNOLOGÍA -
Lesion por arma de fuego en region costal posterior a nivel del espacio...
RESUMEN DE LOS DATOS DEL INTERROGATORIO Y EXPLORACIÓN FÃSICA ******************NOTA DE INGRESO A CIRUGIA ************************ FI: MASCULINO, 52 AÑOS DE... Leer el resto
Publicado el 07 enero 2022 TECNOLOGÍA -
Pediatria
Cordón umbilical máximo debe caerse al dia 15.Hernia umbilical, criterio de reparación.– Defecto mayor de 1.5 cms a cualquier edad.– Defecto umbilical... Leer el resto
Publicado el 26 noviembre 2021 TECNOLOGÍA -
Fractura expuesta de falange
Herida cortante con sierra eléctrica / fractura expuesta de falange / colgajos de avance e injerto cutánea La entrada Fractura expuesta de falange apareció... Leer el resto
Publicado el 04 septiembre 2021 TECNOLOGÍA -
Larva, parásito en el pie
Llamamos larva migrans cutánea a una parasitosis cutánea adquirida por la exposición de la piel a larvas filariformes de parásitos de perros y gatos, como son... Leer el resto
Publicado el 31 agosto 2021 TECNOLOGÍA -
imss biometrico
link del biometrico http://siapportal.imss.gob.mx/biometrico/Acceso/Web/wfrAccesoUsuario.aspx actualización de contraseña... Leer el resto
Publicado el 15 agosto 2021 TECNOLOGÍA -
http://siapportal.imss.gob.mx/biometrico/Biometrico/Web/wfrBiometrico.aspx
sistema integral de aministracion persinalConsulta de Registros Biométrico Version 8.10.0101... Leer el resto
Publicado el 15 agosto 2021 TECNOLOGÍA -
biometrico imss
▷ BIOMÉTRICO IMSS CHECADAS → Entradas y Salidas【 2022 】 Accede al Escritorio virtual del IMSS a través de serviciosdigitales.imss.gob.mx/portal-web/portal... Leer el resto
Publicado el 14 agosto 2021 TECNOLOGÍA -
http//siapportal.imss.gob.mx/biometrico/acceso/web/wfraccesousuario.aspx
▷ BIOMÉTRICO IMSS CHECADAS → Entradas y Salidas【 2021 】 Accede a la sección de control de checadas y agrupa por entradas o salidas y verás registro por fechas e... Leer el resto
Publicado el 14 agosto 2021 TECNOLOGÍA -
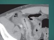
Angiotomografia renal
Se realiza estudio angiotomografía renal con imágenes tomadas en fase simple y con aplicación de contraste inmediata, identificando los siguientes hallazgos:... Leer el resto
Publicado el 06 agosto 2021 TECNOLOGÍA -
Diverticulo de zenker
Y ¿Sabías qué?………………………………………….Existe una modificación posterior a nivel de la faringe en la cual se forma una evaginación posteriores de sus capas mucosa y... Leer el resto
Publicado el 14 mayo 2021 TECNOLOGÍA -
Traumatismo craneoencefálico con fractura hundimiento
TRIAGE RESUMEN DEL INTERROGATORIO Se trata de paciente masculino de 9 meses de edad que inicia padecimiento actual el día de hoy a las 6:30 horas cuando... Leer el resto
Publicado el 18 abril 2021 TECNOLOGÍA -
Abdomen Agudo
•Fibras C•Músculo, periosteo, mesenterio, peritoneo, vísceras•Estímulos más dolorosos•Dolor sordo, tipo cólico, urente, mal localizado, inicio gradual, larga... Leer el resto
Publicado el 09 abril 2021 TECNOLOGÍA
