Revista Tecnología

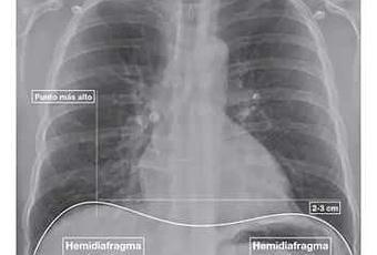
Valoración radiográfica de tórax

Publicado el 29 noviembre 2018 por Godieboy @godi

Radiografía de tórax interpretación, correcta valoración de radiografía ap de tórax, anatomía de tórax

https://youtu.be/OvEJVBm6GjA

Ver video

https://godieboy.com/wp-content/uploads/2018/11/47200658_288164685158441_3112151676551692288_n.mp4

Volver a la Portada de Logo Paperblog