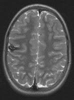
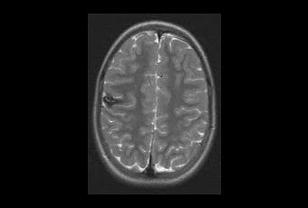
Los angiomas cavernosos (AC) son vasos
sanguíneos anormales localizados en el cerebro. Producen cefalea, trastornos
visuales, convulsiones y derrames cerebrales, tiene un componente genético,
pero se sabe que el microbioma intestinal
también puede influir. Los autores del estudio,
publicado en comunicaciones de la naturaleza , querían
determinar qué tipo de bacteria tienen estas personas y si los diferentes tipos
de AC se correlacionan con diferentes microbiomas intestinales. Para realizar
esta investigación, realizaron un análisis genómico avanzado de las muestras de
heces de 122 personas con al menos un AC identificado. Compararon estas
muestras con un grupo de control emparejado por edad y sexo que no tenía
ninguna AC.Encontraron que el grupo AC tenía más bacterias intestinales gramnegativas, mientras que el grupo control tenía más bacterias intestinales gram-positivas. Además, tenian ciertos tipos particulares de bacterias intestinales prevalentes que producen más moléculas de lipopolisacáridos.
Además de indicar un vínculo entre los tipos de bacterias y la presencia de AC, el estudio también demostró que la composición de algunas bacterias intestinales podría ayudar a identificar cuán agresiva podría ser la AC. Finalmente, el estudio dejó en claro que analizar el tipo particular de microbiomas en combinación con plasma sanguíneo podría ayudar a los médicos a determinar la gravedad del trastorno cerebral de una persona. Principio del formulario
