Ciclos celulares in vivo
Una de las propiedades que distingue a varios tipos de célula en el interior de organismos multicelulares como plantas y animales es su capacidad para crecer y dividirse. Por lo anterior, las células pueden ser clasificadas en tres tipos de categorías generales.
Altamente especializadas: Son células como las nerviosas, los glóbulos rojos y las musculares carecen de la habilidad para reproducirse, es decir, una vez que han alcanzado su función definida, ellas permanecen en interfase hasta que mueren.

Figura CCi-01. Neurona.
Medianamente especializadas: son células que en sus contextos normales no se dividen, pero que pueden ser inducidas a hacerlo si reciben un estímulo como una lesión. Por ejemplo, las células hepáticas pueden ser inducidas a reproducirse después de la remoción de grandes partes del hígado de manera quirúrgica; o mediante la reacción a adecuados medicamentos.

Figura CCi-02. Hepatocitos
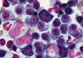
Células de reproducción rápida y muy poco especializadas: en esta categoría se encuentran las células madre de varios tipos de estadio de desarrollo o de tejidos. Un ejemplo en los tejidos adultos son las células hematopoyéticas.

Figura CCi-03. Células hematopoyéticas
Las células vegetales de los meristemas apicales de las plantas exhiben las propiedades de baja especialización y un periodo de interfase corto, lo cual les permite crear nuevos tejidos a medida que las plantas van creciendo.
