Cuando un médico receta una medicina siempre cuenta con un curioso fenómeno que permite que la persona mejore a pesar de que el medicamento no haya hecho efecto. Tanto es así que en la industria farmacéutica se cuenta este efecto con números redondos. Es más, hay quien lo usa en su propio beneficio para vender remedios milagrosos y otras mentiras. El efecto placeboes muchísimo más fuerte de lo que la mayoría de la gente piensa. Y aun así, no se comprende su mecanismo de acción. Vamos a conocer algunas de sus propiedades.
¿Qué es el efecto placebo?
Antes de seguir es indispensable saber de qué estamos hablando. El efecto placebo consiste en una mejoría sobre un malestar pero que ha sido producida por una sustancia no activa (conocida como sustancia placebo). El efecto placebo funciona sobre todo tipo de dolencias, mitigándolas o remitiéndolas por completo en muchas ocasiones. Estas no siempre están asociadas en exclusiva con una condición psicológica sino que tiene un componente físico real. El efecto placebo no solo funciona con sustancias sino que puede aparecer al aplicar remedios... menos usuales como pueden ser oraciones, iconos mágicos u otras cosas. Como ya hemos dicho, el efecto placebo es capaz de hacer que un dolor o malestar desaparezca (al menos su percepción), aunque fisiológicamente o químicamente esto no tenga sentido alguno.
Por ejemplo, puede hacer que una contusión reduzca su inflamación (o la percepción de la misma) sin que haya habido un anti-inflamatorio de por medio. Sus efectos son tan potentes que siempre se consideran en el diseño de un medicamento en un porcentaje bastante mayor de lo que esperaríamos. También se encuentran en el centro de lo que conocemos como "prueba de doble ciego", en el cual se trata de demostrar si una sustancia tiene efecto "real" o es la misma que la de un placebo. Aunque se conoce desde hace muchísimos años (y se consideran a nivel científico desde hace décadas) la forma de funcionar es tan compleja y poco entendida que el efecto placebo es todavía fruto de muchas discusiones y aún más malentendidos.
Y, ¿cómo funciona?
Ahora que ya sabemos lo que es, veamos lo que sabemos sobre el efecto placebo. Lo poco que conocemos lo divide en dos grandes áreas: cómo actúa sobre el cerebro y sus efectos fisiológicos.
En el cerebro
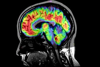
Al final, el efecto fisiológico no es más que una consecuencia que el efecto placebo que tiene sobre el cerebro. La gran mayoría de la información que tenemos sobre los placebos y el cerebro proviene del estudio del dolor. Lo que se ha observado, hasta la fecha, es que el dolor puede ser manipulado para reducirlo con sustancias placebo. Al observar el cerebro con neuroimagen lo que apreciamos es que el efecto placebo tiende a desactivar en parte los centros dedicados a sentir e interpretar el dolor: el tálamo, la corteza somato-sensorial y la ínsula, entre otros. Cuanto más largo es el tratamiento, más se acomodan estas zonas y menos dolor siente el paciente.

Además, el tratamiento con los placebos, según se ha comprobado, también es capaz de disparar una respuesta que viaja a través de la médula espinal, actuando sobre un tejido especial (el tejido gris periacueductal) que produce sustancias naturales que reducen el dolor. Esto último es muy importante y se ha comprobado que bloquear a esta sustancia reduce el efecto placebo por lo que esta sustancia gris periacueductal es un componente principal en el efecto. Otros puntos en el que actúa el efecto placebo son el córtex prefrontal y la amígdala, provocando una mayor regulación de opiáceos naturales en todo el cuerpo. Por otro lado, la amígdala , que controla el estado de ansiedad, por ejemplo, parece muy afectada por el efecto placebo. Estos son solo algunos pequeños ejemplos, porque lo que se observa es que el efecto placebo afecta a cada una de las partes del cerebro con una intensidad inesperada.
En la fisiología
Sabemos dónde actúa el placebo y, por tanto, qué efectos pueden asociarse. El problema llega cuando tratamos de saber cómo actúa. El mecanismo íntimo de actuación todavía permanece como un misterio. Al menos en parte. Hemos observado como el sistema es verdaderamente complejo, activando cascadas que estimulan distintas partes del sistema nervioso. Una sustancia y una señal activa a la siguiente y así hasta provocar que nuestro cuerpo regule la sensación de dolor. ¿Pero dónde comienza toda esta cascada? Como ya hemos dicho, las sustancias placebo no tienen un componente activo ninguno. Esto se confirma si vemos que el efecto placebo funciona de manera general. Es decir, una sustancia placebo funciona para distintos tipos de dolencias y malestares, completamente distintas.

Parece que el simple gesto de administrar una cura activa un conjunto de circuitos cerebrales dispuestos para mitigar el dolor, sin que medie ningún tipo de sustancia de por medio. Es, literalmente, lo que la gente llama "el poder del cerebro". Así se desencadena una cascada enorme y complicada que implica sustancias como la dopamina, diversos opiáceos naturales, hormonas como la colecistoquinina o la oxitocina. El conjunto de todas ellas producen un cuadro de mejoría real que puede curar enfermedades muy complejas. No es una cuestión meramente psicológica. Existe una reducción real de la percepción del dolor y la ansiedad. Aunque el desencadenante sí es del todo psicológico. Estamos engañando a nuestra fisiología. El problema es que no sabemos realmente cómo.
Entendiendo el efecto placebo
Como hemos explicado, parece que entendemos los mecanismos sobre los que actúa pero nos sigue faltando comprender el desencadenante. Entender el efecto placebo es mucho más importante de lo que parece. Y es que supone dinero en el desarrollo de medicamentos. También implica mejorar el bienestar de los pacientes. Además, puede usarse con fines negativos, como hemos explicado. Y es que hay quien lo usa para convencer a la gente con medidas milagrosas, estafándolos. Por ejemplo, esto ocurre con el chamanismo y la magia.
También ocurre, cómo no, con la homeopatía. O los cristales, talismanes, medallas etc... Los mecanismos que subyacen son los mismos. Y son muy potentes y complicados. Por eso el "amimefuncionismo" ("¡Pues a mi me funcina!") es tan difícil de desarraigar. Por si esto fuera poco, los niveles a los que actúa el efecto placebo son muchos. Desde efectos somáticos, es decir, visibles (reducción de la temperatura, menos dolor, cicatrización...) a los psicológicos (estrés, ansiedad, angustia...), el efecto placebo actúa de muchas maneras. El informar de que una sustancia es un placebo puede acabar con el efecto placebo o no y no sabemos por qué. Esto también complica las cosas.

Para darle aún un poco más de complicación a la cosa, el efecto placebo también actúa sobre animales (o niños, en el que es más fuerte), lo que muestra que el mecanismo en mamíferos está muy extendido, aunque no sepamos como comienza a actuar. También se han detectado efectos placebo aún más potentes que efectos activos (es decir, de una sustancia de verdad). Incluso se ha llegado a comprobar que el efecto placebo es capaz de reducir la mortalidad. Como vemos, la importancia del efecto placebo es inmensa. Tal vez mucho mayor de lo que esperábamos cuando lo definimos por primera vez. En cualquier caso, cada día desvelamos un poquito más de este fascinante efecto aunque todavía quede mucho que descubrir sobre él.
