La Artropatía neuropática, o enfermedad de Charcot, es un síndrome que se caracteriza por el repentino debilitamiento de los huesos, siendo el pie el principal afectado, aunque puede afectar a otras articulaciones como rodillas y hombros.
Ocurre una fragmentación y destrucción ósea y articular,lo que puede concluir en severas deformidades, incapacidad e incluso a la amputación.
En este padecimiento, los huesos, se debilitan al punto de fracturarse y con el andar, el pie va cambiando de forma. Conforme avanza el padecimiento, el arco se vence y el pie comienza a adoptar una forma anormal.
Como esta enfermedad neuropática articular es consecuencia de lesiones de los nervios, las lesiones y fracturas insignificantes y repetitivas ocasionan la destrucción de la articulación de forma permanente.
Causas:
- Diabetes mellitus
- Tabes dorsal
- Siringomielia
- Mielomeningocele (en niños)
- Lepra
- Amiloidosis
- Inyecciones intraarticulares de glucocorticoides de forma repetitiva
La Artropatía neuropática, descrita por primera vez por Jean-Martin Charcot en 1858, es caracterizada por debilidad muscular causando daño a la médula espinal y al tejido nervioso periférico.
Se ha llegado a observar este padecimiento en los pacientes que se tratan con inyecciones repetidas de glucocorticoides en articulaciones que soportan el peso y en los pacientes con enfermedad por depósito de cristales de pirofosfato cálcico.

Por su gravedad, es importante que los pacientes con este mal tomen medidas preventivas y se percaten inmediatamente si presentan los signos o síntomas.
SÍNTOMAS
Algunos de los síntomas de la enfermedad de Charcot son:
- Calor al tacto de la zona afectada
- Enrojecimiento
- Inflamación
- Dolor o molestia
DIAGNÓSTICO
Un diagnostico precoz de este padecimiento es sumamente importante para lograr un tratamiento exitoso.
Para llegar a un diagnostico, el médico examina el pie y el tobillo, y cuestiona al paciente sobre eventos ocurridos antes de los síntomas.
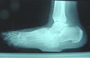
Los rayos X también son fundamentales para tener un diagnostico, en los cuales se muestra imágenes de una osteoartirtis muy severa con deformidad y destrucción articular.
TRATAMIENTO PARA EL PIE DE CHARCOT
La enfermedad de Charcot afecta principalmente al pie. El tratamiento no quirúrgico para el pie de Charcot consiste en 4 medidas:
- Inmovilización
El pie y el tobillo son muy frágiles durante la etapa inicial de Charcot, deben protegerse para que los huesos débiles puedan reparase.
Para evitar un mayor deterioro del pie, es necesario evitar completamente que el pie soporte cualquier peso, por lo que el paciente no p
Durante esta etapa el paciente podría tener que usar una bota de yeso removible o un dispositivo ortopédico y andar con muletas o en una silla de ruedas.
Comúnmente los huesos pueden sanar en algunos meses, aunque a algunos pacientes puede tomarles considerablemente más tiempo.
- Usar un calzado adecuado
Una vez sanados los huesos es posible que sea necesario el uso del calzado con plantillas ortopédicas especiales. Esto permitirá al paciente retomar las actividades diarias y evitar la reaparición del pie de Charcot, el desarrollo de úlceras y la posible amputación.
- Modificación de actividad
Para evitar lesiones en ambos pies es posible que se necesite una modificación en la realización de las actividades cotidianas.
- Controlar la enfermedad de base que pudiera estar desencadenando la enfermedad de Charcot.
Es importante mantener controlada y en tratamiento a la enfermedad causante del surgimiento de la enfermedad de Charcot, como es el caso de la diabetes, sobre todo el pie diabético que su tratamiento debe ser precoz.
En algunos casos, la deformidad de Charcot puede llegar a ser tan grave que requerirá cirugía. El médico especialista en pie y tobillo es quien determina el procedimiento quirúrgico más apropiado para el paciente.
Artricenter, mejoramos sin dañar
Fuentes: http://bit.ly/1FWvQCN , http://bit.ly/1nR6lNj , http://bit.ly/1zKZ9Yd , http://bit.ly/1tjCzQy
