No hace muchos años, el anuncio de una tuberculosis aguda era casi una sentencia de muerte… Luego llegaron los antibióticos específicos –aunque el tratamiento era complejo- y ahora, de nuevo, llegan las resistencias y, con ellas, la reemergencia del peligro… La tuberculosis es ya la enfermedad infecciosa más letal del planeta, superando al SIDA. Lo dice la Organización Mundial de la Salud en el último informe global que acaba de publicar sobre la patología.

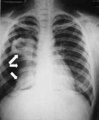
El causante de esta enfermedad infecciosa es la bacteria Mycobacterium tuberculosis, un organismo que casi siempre afecta a los pulmones. La afección es curable y se puede prevenir. La transmisión persona a persona se produce a través del aire, en la tos, estornudo o cuando alguien escupe. Curiosamente, una tercera parte de la población mundial está infectada de forma asintomática, latente. Durante dicho periodo, no se transmite la infección. El riesgo de enfermar, una vez infectada una persona, a lo largo de su vida, es del 10%.
Este bacilo fue responsable de 1,5 millones de muertes en 2014, por encima de los 1.2 millones de vidas que se cobró el VIH. Sin embargo, y a pesar de estas cifras, la OMS se muestra optimista sobre los avances en la lucha contra la tuberculosis. El número de fallecidos por esta enfermedad se ha reducido a cerca de la mitad con respecto a 1990. Aun así, la OMS asegura que la mayoría de estas muertes se podrían haber evitado. La caída de la mortalidad se hizo especialmente notable desde el año 2000, coincidiendo con la entrada en vigor de los Objetivos de Desarrollo del Milenio. Recordemos que una de sus metas era frenar el avance de los contagios, o revertirlos.
Todo apunta a que la tuberculosis va decayendo lentamente de año en año y se calcula que entre 2000 y 2013 se salvaron 37 millones de vidas gracias a diagnósticos y tratamientos eficaces. No obstante, dado que la mayoría de las muertes por este bacilo son evitables, la mortalidad de esta enfermedad sigue siendo inaceptablemente alta y hay que acelerar la lucha contra ella. La enfermedad está presente en todas las regiones del mundo, el informe de la OMS contiene datos procedentes de 202 países y territorios.
Dicho informe incluye, además, un suplemento especial en el que destaca los progresos que se han hecho en la vigilancia de la tuberculosis farmacorresistente a lo largo de los dos últimos decenios y las respuestas que se han dado a este problema. En el ámbito mundial, la proporción de nuevos casos de tuberculosis multirresistentes fue del 3,5% en 2013 y no ha cambiado desde entonces. No obstante, resulta muy preocupante que los niveles de resistencia y los malos resultados terapéuticos sean mucho mayores en algunas partes del mundo, lo que demuestra que todavía queda mucho por hacer para conseguir el objetivo global, es decir, poner fin a esta epidemia mundial.
La hoja de ruta para conseguirlo viene marcada por reducir un 95% las muertes por tuberculosis y en un 90% la incidencia de la enfermedad para 2035 -en ambos casos en comparación con las cifras de 2015-. Otra meta dentro de los Objetivos de Desarrollo del Milenio es la de reducir a cero, para 2020, los costes catastróficos para las familias afectadas por la enfermedad infecciosa. Mientras tanto, tendremos que seguir viviendo y pendientes de la evolución día a día de este mal que muchos creen cosa de un tiempo y lugar lejanos. Nada más lejos de la realidad.
DIVULGACIÓN CIENTÍFICA DEL 07 DE DICIEMBRE DE 2015

Desde una universidad andaluza nos llega la noticia de la defensa de la acupuntura como práctica médica, para lo cual se pide la creación de criterios que aporten a dicha pseudoterapia el reconocimiento que se merece. Hablamos con Vicente Baos, médico especialista en medicina de familia y comunitaria.
Por otra parte, se acaba de aprobar en EE.UU. la comercialización del primer alimento transgénico animal, un salmón. Entre probetas, hablando de pescado… ¡se moja!

…
MADRI+D TV (Divulgación científica con cara, e imágenes, en 3 minutos)
ENTRE PROBETAS (25 minutos de intensa y entretenida ciencia). Radio 5
EL LABORATORIO DE JAL (Píldoras científicas en 3 minutos). Radio 5
MARCA ESPAÑA (A CIENCIA CIERTA) Radio Exterior de España
A HOMBROS DE GIGANTES RNE
UNEDtv
FACEBOOK (José Antonio López-Guerrero)
FACEBOOK (Departamento de Cultura Científica -Centro de Biología Molecular)
TWITTER (JALGUERRERO)
TWITTER (DCCientificaCBM)
LINKED-IN (Jal Guerrero)
