
Las regiones del cerebro responsables de nuestras competencias lingüísticas también identifican las emociones en la música, de acuerdo con neurocientíficos de Australia, lo que desafía la comprensión actual de cómo el cerebro procesa las emociones.
El estudio, que analizó a personas con demencia, mostró por primera vez que los diferentes tipos de señales emocionales (por ejemplo, música, palabras habladas o expresiones faciales) podría depender de recursos distintos en el cerebro, así como aquellos que tienen en común .
“En algunos tipos de demencia, los pacientes lo tienen más difícil para comprender las emociones en lo que que ven y oyen en comparación con otros”, dijo Hsieh Sharpley de la organización sin fines de lucro Instituto de Investigación de Neurociencia de Investigación de Australia en Sidney, quien dirigió el estudio, publicado en la revista Neuropsychologia ”Esto tiene implicaciones importantes para cuidadores y familiares de personas con demencia”.
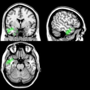
Estudios previos realizados con neuroimagen han encontrado que el polo temporal derecho, la amígdala y la ínsula se asocian con el reconocimiento de las emociones en el rostro y en la música.
Sin embargo, estudios anteriores de este tipo se habían centrado únicamente en pacientes con Alzheimer y utilizaron piezas muy conocidas de música como el tema de Tiburón o de La Lista de Schindler. Los resultados de estos estudios pueden haber sido confundidos por la familiaridad de los pacientes con posibles recuerdos personales de las canciones.
Hsieh dijo que los hallazgos muestran que la capacidad de procesar las emociones en la música está vinculada con la capacidad de extraer el significado de las palabras (y viceversa). Esto es consistente con la literatura como un emergente en el campo de la cognición musical, dijo.
Hsieh y sus colegas estudiaron a 20 sujetos sanos, 12 pacientes con enfermedad de Alzheimer y 11 pacientes que sufren de demencia semántica (DS), una forma menos común de demencia que afecta a conocimiento de los hechos de palabras y conceptos. Los participantes escuchaban fragmentos musicales, que fueron obligados a etiquetar como feliz, tranquilo, triste o que daba miedo, o miraron las fotografías de rostros a los que debían catalogar como triste, feliz, sorprendido, asustado, disgustado o enojado. Los participantes también se sometieron a una resonancia magnética, cuyos resultados se compararon con los resultados de las pruebas de reconocimiento.
Los pacientes con ambos tipos de demencia mostraban problemas en la identificación de emociones en rostros y en la música. Como Hsieh y sus colegas esperaban, el lado derecho y ciertas regiones del cerebro, en particular la amígdala, el lóbulo temporal y la ínsula estaban dañadas; partes que se asocian al reconocimiento de emociones en rostros y en la música.
Pero los investigadores se sorprendieron al descubrir que los lóbulos temporal izquierdo anterior e inferior, que normalmente se asocian con el lenguaje y las habilidades verbales, eran cruciales en el reconocimiento de la emoción en la música también. En otras palabras, reconocer el contenido emocional de una melodía se basa en algunos de los mismos recursos que se utilizan para dar sentido a una frase.
Neal Maxwell McLachlan, un investigador que no participó en el estudio especializado en Neurociencia Auditiva en la Universidad de Melbourne, dijo que el trabajo era “enorme” y que los resultados no le sorprendían.
“Es importante recordar que existen numerosos mecanismos que pueden producir emociones en la música”, dijo McLachlan.
Asimismo agregó que el proceso de afinación, ritmo, melodía y la percepción de los patrones de todos ellos se basan en distintas redes neuronales. “Esto pone de relieve la importancia de un modelo neurocognitivo de audición que se puede separar todos estos mecanismos.”
Autor: Ajai Raj
Enlace original: Brain’s verbal structures also process emotion
