Revista Maternidad
ÚLTIMOS ARTÍCULOS DE LOS PAPERBLOGUEROS
-
Marcas para vestir madre e hija iguales
La idea de ser madre de una niña siempre me ha gustado, primero porque me encanta poder compartir nuestros secretos y crear esa misma complicidad que yo tuve co... Leer el resto
El 02 julio 2015 por Ainara Moreno San Miguel
NONE -
Mujer contra mujer
En las redes sociales se comparten cantidad de letreros y memes, uno que se vió por muchos muros fue este. A mí me molestó bastante, por que mucha gente compart... Leer el resto
El 10 julio 2015 por Criandocreando
NONE -
37 semanas, recta final
¡Lo hemos conseguido! Ya hemos pasado todo riesgo de prematuridad. Como me dijo mi matrona el bebe ya está totalmente formado ya sólo falta esperar que salga... Leer el resto
El 18 julio 2015 por Trestrillistigres
NONE, NONE -
Paso a paso para hacer una piñata número
Este fin de semana pasado celebramos el cumple de Martina. Preparar un cumple puede parecer cosita de una tarde y lo cierto es que no es así. Leer el resto
El 14 julio 2015 por Mamiclic
NONE -
Invitaciones para una fiesta temática arte
En nada celebramos el cumpleaños de Martina y me he puesto manos a la obra. Lo primero que toda fiesta como precie debe tener son unas invitaciones (sobretodo s... Leer el resto
El 06 julio 2015 por Mamiclic
NONE -
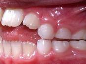
CONSECUENCIAS DEL USO EXCESIVO DEL BIBERÓN Y EL CHUPETE. Deglución atípica
La evolución de los niños va marcada por su edad, madurez, capacidades… los papás deben respetar este proceso e ir acorde con ellos a la hora de aportar o... Leer el resto
El 08 julio 2015 por Mamiclic
NONE -
Hay vida después de lo 6: las adiciones, todas son peligrosas
Cuando nos planteamos las adicciones, solemos pensar rápidamente en el alcohol y las drogas, ya que son las que, aparentemente, producen efectos mucho más... Leer el resto
El 22 julio 2015 por Ladya
NONE -
Intensa-mente , mini guia de inteligencia emocional
Hace unos días fuimos a ver intensa-mente en familia, nos encantó, me pareció muy divertida y tierna, y encantada de la forma como ejemplificaron las principale... Leer el resto
El 09 julio 2015 por Criandocreando
NONE -
Doce juegos para que los niños se diviertan en la playa
La playa suele ser por excelencia el lugar favorito de los niños en verano, ya que combina dos elementos irresistibles para ellos: el agua y la arena... pero... Leer el resto
El 07 julio 2015 por Arántzazu Quiroga Alonso
NONE -
Hay vida después de los 6: Las Adicciones
Ultimo Hay vida después de los 6 antes de las vacaciones, porque en Agosto descansamos para cargar pilas.... y el tema de hoy complicado de narices y preocupant... Leer el resto
El 20 julio 2015 por Mamadedos
IR MÁS ALLÁ
-
La reflexología y el reflujo en los Bebés
El 25 julio 2015 por 9mesesbaby : En Femenino, Infancia,
-
Celebra mi 3er cumpleblog y llévate una sillita de paseo Babyhome Emotion
El 28 julio 2015 por Sheila Tabernero : En Femenino,
-
Áreas de descanso para niños. AIREA
El 29 julio 2015 por Mafeza : En Femenino,
-
Veo todo en blanco y rojo
El 09 julio 2015 por Y, Además, Mamá : En Femenino,
-
Cómo poner los títulos de los posts en negrita, subrayado y/o cursiva
El 23 julio 2015 por Arántzazu Quiroga Alonso : En Femenino,
-
Calendario 2015-2016
El 06 julio 2015 por Criandocreando : En Femenino,
-
Familia Horizonte La Martinica
El 17 julio 2015 por Buscandoropita : En Femenino,
-
Amarillo que te pillo!!!!!!!
El 06 julio 2015 por Buscandoropita : En Femenino,
-
Inside Out, Del Revés, la nueva película de Disney
El 14 julio 2015 por Felizenbrazos : En Femenino,
-
Nueva línea de Weleda para calmar la dermatitis atópica del bebé.
El 19 julio 2015 por Econicebaby : En Femenino, Infancia,
-
Un buffet entre amigos - Taller con Catering 5.
El 03 julio 2015 por Alcobablanca : En Femenino,
-
A Temaiken y con Gaturro, una app para disfrutar
El 23 julio 2015 por Mamaconectada : En Femenino, Infancia, Tecnología
-
Diez consejos para cuidar de nuestra mascota este verano
El 04 julio 2015 por Dianacalero : En Femenino,
-
¿Que ven tus hijos en internet?
El 02 julio 2015 por Criandocreando : En Femenino,
-
Las propuestas de #Netflix para estas vacaciones
El 15 julio 2015 por Mamaconectada : En Femenino, Infancia, Tecnología
-
14 cosas que le agradezco a mis padres
El 10 julio 2015 por Mamaconectada : En Femenino, Infancia, Tecnología
-
Invitaciones de fruta para tu fiesta
El 21 julio 2015 por Mamiclic : En Femenino,
-
"AIREA" (TE) DEL COCHE CON ÁREAS
El 03 julio 2015 por Lagrula : En Femenino,
-
Nutribaby de Babymoov, el robot de cocina para niños y padres
El 15 julio 2015 por Sheila Tabernero : En Femenino,
-
Viernes DIY: 5 recetas de verano fáciles y refrescantes
El 17 julio 2015 por Ladya : En Femenino,
OSCARS 2015
CHARLIE HEBDO
PEQUEÑO NICOLÁS
REY FELIPE VI
ESCOCIA
NAVIDAD
MUNDIAL 2014
LA ROJA
JUAN CARLOS DE BORBÓN
ADOLFO SUÁREZ
OSCARS 2014
PACO DE LUCÍA
LOS GOYA
SAN VALENTÍN
GLOBOS DE ORO 2014
DESASTRE EN FILIPINAS

LOS MÁS LEÍDOS MATERNIDAD
-
Es buena la bebida de soja: beneficios y usos por
Elespaciodelbebe
-
Maracuda, la nueva película de animación para toda la familia que llega a los cines el 24 de abril por
Qhacerconninos
-
Roscón de Reyes sin Gluten: Receta Tradicional Adaptada por
Elespaciodelbebe
-
Consejos para ir a la montaña con niños y disfrutar en familia sin riesgos por
José Luis
Todos los artículos