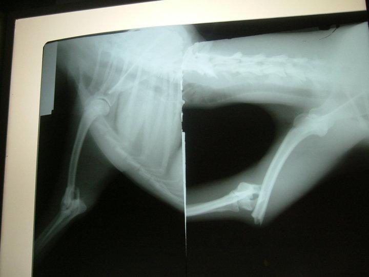
NOVEDADES. COPIO:Ya hemos llevado al pobre Agustin al veterinario y el diagnostico no es demasiado bueno. Tiene una importante rotura que solo puede ser tratada en quirofano. El presupuesto por esta zona es desorbitado y nos dan de plazo solo unos dias para que el problema no se haga mayor. No tenemos dinero para costear dicha operacion, ni siquiera tenemos sitio para tenerlo en unas condiciones dignas; necestamos que alguna protectora o asociacion con mas recursos nos ayude. Difunde por favor Agustin se merece un final feliz tan solo tiene un añito y ya sabe bien lo que es sufrir.
Contacto: [email protected]/[email protected]


