La Iniciativa CEREBRO lanzada el año pasado por el Presidente Barack Obama pretende revolucionar nuestra comprensión de la cognición mediante la asignación de la actividad de todas las neuronas en el cerebro humano, y revelar cómo los circuitos del cerebro interactúan para crear recuerdos, aprender nuevas habilidades, e interpretar el mundo que nos rodea.

Antes de que todo esto suceda, los neurocientíficos necesitan nuevas herramientas que les permitan sondear el cerebro con más profundidad y con mayor detalle. Para poder entender los procesos del cerebro con exhaustivo detalle, es necesario desarrollar nuevas formas de monitorear la función neural profundamente en el cerebro con precisión espacial, temporal y funcional.
Investigadores del MIT han dado un paso hacia esa meta y han establecido una técnica que les permite rastrear la comunicación neuronal en el cerebro a través del tiempo, el uso de imágenes de resonancia magnética (MRI), junto con un sensor molecular especializado. Esta es la primera vez que alguien ha sido capaz de asignar las señales neuronales con alta precisión sobre las regiones cerebrales grandes en animales vivos, ofreciendo una nueva ventana en la función del cerebro.
El equipo utilizó este método de imagen molecular para estudiar el neurotransmisor dopamina en una región llamada el cuerpo estriado ventral, la cual está involucrada en la motivación, la recompensa, y el refuerzo de la conducta. En estudios futuros, los científicos planean combinar imágenes dopamina con técnicas de resonancia magnética funcional para medir la actividad del cerebro en general para obtener una mejor comprensión de cómo los niveles de dopamina influyen en los circuitos neuronales.
La dopamina es uno de muchos neurotransmisores que ayudan a las neuronas para comunicarse entre sí en distancias cortas. Gran parte de la dopamina del cerebro se produce por una estructura llamada área tegmental ventral (VTA). La dopamina viaja a través de la vía mesolímbica al estriado ventral, donde se combina con la información sensorial de otras partes del cerebro para reforzar el comportamiento y ayudar al cerebro a aprender nuevas tareas y las funciones motoras. Este circuito también juega un papel importante en la adicción.
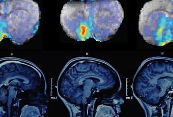
Para el seguimiento de la función de la dopamina en la comunicación neuronal, los investigadores usaron un sensor de resonancia magnética que habían diseñado anteriormente, que consiste en una proteína que contiene hierro que actúa como un imán débil. Cuando el sensor se une a la dopamina, sus interacciones magnéticas con el tejido circundante se debilitan, lo que atenúa la señal de MRI del tejido. Esto permite a los investigadores ver en qué parte del cerebro de la dopamina está siendo liberada. Los investigadores también desarrollaron un algoritmo que les permite calcular la cantidad exacta de dopamina presente en cada fracción de un milímetro cúbico del estriado ventral.
Después de entregar el sensor de resonancia magnética para el cuerpo estriado ventral de las ratas, el equipo estimuló eléctricamente la vía mesolímbica y fue capaz de detectar exactamente donde la dopamina en el estriado ventral fue lanzada. Un área conocida como núcleo accumbens y conocida por ser uno de los principales objetivos de la dopamina en el área tegmental ventral, mostraron los niveles más altos. Los investigadores también vieron que la dopamina también se libera en las regiones vecinas, como el pálido ventral, que regula la motivación y las emociones, y las partes del tálamo, que retransmite las señales sensoriales y motoras en el cerebro.
Cada estimulación de la dopamina se prolongó durante 16 segundos y los investigadores tomaron una imagen de resonancia magnética cada ocho segundos, lo que les permite realizar un seguimiento de los niveles de dopamina y cómo el neurotransmisor se liberó de las células y luego desapareció. Incluso pueden dividir el mapa en diferentes regiones de interés y determinar la dinámica de forma separada para cada una de esas regiones.
Los neurocientíficos del MIT planean ampliar sus estudios a otras partes del cerebro, incluyendo las zonas más afectadas por la enfermedad de Parkinson, que es causada por la muerte de las células generadoras de dopamina. El laboratorio del MIT también está trabajando en sensores para rastrear otros neurotransmisores, que les permita estudiar las interacciones entre los neurotransmisores en diferentes tareas del cerebro.
Referencias
T. Lee, L. X. Cai, V. S. Lelyveld, A. Hai, A. Jasanoff. Molecular-Level Functional Magnetic Resonance Imaging of Dopaminergic Signaling. Science, 2014; 344 (6183): 533 DOI: 10.1126/science.1249380
