Revista Salud y Bienestar

Que es el absceso cerebral, síntomas y diagnóstico

Por Jocoma171212


¿Qué es el absceso cerebral? ¿Cuáles son los síntomas del absceso cerebral? ¿Cuál es el diagnóstico del absceso cerebral?

 




¿Qué es el absceso cerebral?
Que es el absceso cerebral, síntomas y diagnóstico
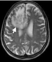
Es una colección de líquido purulento que se forma entre el cerebro y las meninges como consecuencia de una infección en un punto concreto del mismo que supura, es decir, que desprende material infeccioso mezclado con células defensivas. La infección, al igual que en la meningitis, viene directamente desde la sangre o de un punto infectado en otra zona de la cabeza, especialmente desde los senos paranasales, los oídos y la boca, rara vez es una complicación de la meningitis. Es una enfermedad en general poco frecuente, que puede aparecer a cualquier edad, aunque predomina en los adultos jóvenes y sobre todo en el sexo masculino.
¿Cuáles son los síntomas del absceso cerebral?
Que es el absceso cerebral, síntomas y diagnóstico
La forma de presentarse normalmente es como un cuadro de cefalea, náuseas, vómitos y alteración del nivel de conciencia, en individuos que acaban de padecer una infección más o menos importante.
¿Cuál es el diagnóstico del absceso cerebral?
Si no se detecta y se trata a tiempo puede conducir a la muerte en muchos casos. Gracias al escáner, hoy en día cabe la posibilidad de hacer un diagnóstico rápido, pese a lo cual el riesgo de fallecimiento y de producirse secuelas neurológicas es bastante alto.


Volver a la Portada de Logo Paperblog