Artículo de Bucosalud.com
BucoSalud - Blog de Salud bucodental y odontología
¿Te sangran las encías cuando te lavas los dientes?
¿Tienes molestias en las encías y están rojas e inflamadas?
Deberías tener muy en cuenta lo que te pasa, ya que aunque no te ocurra siempre y los signos aparezcan y desaparezcan por épocas, lo más probable es que tengas GINGIVITIS y si dejas que evolucione y vaya a más desarrollarás una periodontitis (la piorrea de toda la vida).
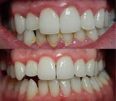
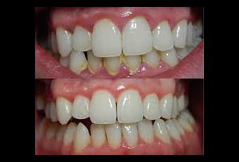
Las gingivitis son un grupo de enfermedades que se caracteriza por inflamación reversible de la encía, sin que exista destrucción de los tejidos de soporte del diente, ligamento y hueso periodontal.
Los signos de la gingivitis son: enrojecimiento, aumento de volumen, cambio de textura, y sangrado de la encía.

Las causas, en una gran mayoría de los casos, están íntimamente ligadas a la presencia de microorganismos en el surco gingival (el espacio que hay entre el final de la encía y los dientes). Al no haber afección de los tejidos duros ni pérdida de soporte del diente, el pronóstico es bueno y el tratamiento es sencillo.
Por lo tanto, ¿qué sabemos de la gingivitis?
- Que en la mayoría de los casos está causada por las bacterias que se acumulan debido a una mala higiene bucodental.
- Que la padece alrededor del 50-60% de la población mayor de 35 años y hasta el 80% de niños y adolescentes.*
- Que es reversible si es tratada a tiempo.
- Que es fácilmente prevenible si mantenemos unos buenos hábitos de higiene bucodental.
Como hemos dicho antes, el pronóstico es bueno si la tratamos a tiempo y de manera correcta, y el tratamiento es sencillo. El tratamiento inmediato, por lo general, revierte los síntomas de la gingivitis y previene el desarrollo de enfermedades más graves de las encías y la pérdida de dientes. Dicho tratamiento consiste en una limpieza profesional realizada en una clínica dental, en la mejora de las rutinas y técnicas de higiene bucodental, y el uso durante cierto tiempo de pastas dentífricas y colutorios especialmente formulados para tratar la gingivitis. Por supuesto que los posibles malos hábitos, como por ejemplo alcohol y tabaco, influyen negativamente en la salud bucodental.
Así que ya sabes, todo empieza en casa. Llevar un correcto cuidado e higiene de nuestra boca y dientes es clave para no desarrollar esta enfermedad.
¡Si quieres saber cómo debes limpiar tus dientes, no dejes de leer este artículo en el que te explicamos cómo debes hacerlo!
Espero que este artículo os haya sido de ayuda. Si tenéis alguna pregunta, no dudéis en hacerla en los comentarios.
¡Feliz día!
*(Llodra JC. Encuesta de Salud Oral en España, 2010. RCOE 2012. 17 (1): 1341.)
La entrada ¿Te sangran las encías? Alerta: GINGIVITIS se publicó primero en BucoSalud.
