
Materiales: Diversas muestras de tejido vegetal, microscopio, portaobjetos, cubreobjetos, gotero, lámpara de alcohol, navajillas.

Las estructuras celulares son ( a excepción del cloroplasto ) bastante difíciles de observar a simple vista, esto debido a que aproximadamente el 70 y 90% de la célula es agua. Por esta razón se hace necesario hacerlas visibles, es aquí donde los diferentes tintes que existen son de utilidad. El tipo de tinte a aplicar depende del tipo de estructura que se deseé observar, pero en general los procesos de aplicación del mismo comprende varias etapas:
1. Fijación del tejido
2. Lavado del fijador
3. Aplicación del tinte
En algunos tejidos ( vegetales y fúngicos ) se hace necesario hidrolizar las paredes celulares. A continuación se explica la preparación de algunos tintes y luego cómo aplicarlos al tejido.
Fijadores
La función del fijador es matar al tejido provocando el menor daño posible. Algunos de los fijadores más empleados son los siguientes:
Alcohol etílico: Se consigue puro en concentraciones de 96% m/m, pero este se usa en concentraciones al 70% m/m. Ofrece buenos resultados en la fijación y conservación de organismos enteros o de estructuras anatómicas. En la fijación celular es útil para conservar ciertas enzimas, pero disuelve grasas celulares. El etanol comercial se vende en ocasiones diluido al 70% pero mezclado con tintes, en tales casos antes de emplearlo se debe separar del tinte utilizando carbón activado y agitar, una vez que desaparezca el color se debe filtrar el líquido en algodón. Para efectuar la dilución del 96% al 70% se utiliza en proporción de 3 : 1 en agua destilada.

FAA: ( Formalina, Acido acético, Alcohol ) Es el fijador más empleado y recomendado para los tejidos vegetales y animales, se puede preparar en varias formas, variando la concentración de sus componentes. Debe dejarse actuar por un espacio mínimo de 24 horas.
Formalina comercial ( 36% ) 10 mL
Agua destilada 35 mL
Acido Acético glacial 5 mL
Alcohol etílico 96% 50 mL

Colorantes
Estos se usan para visualizar as diferentes estructuras celulares y subcelulares en ocasiones se pueden combinar para obtener contrastes. Los más empleados son:
Eosina: Se conocen 2 compuestos con este nombre y están relacionados: la eosina Y (tetrabromofluoresceína ), comúnmente conocida como eosina amarilla, y la eosina B (dibromodinitrofluoresceína ), también conocida como eritrosina B azulada. Ambas, en principio, son intercambiables, sin que sean notables las diferencias entre ellas en el resultado de la tinción, por lo que la preferencia de una sobre otra suele seguir un criterio subjetivo. A pesar de ello, la eosina Y es la mas utilizada en procedimientos rutinarios histológicos, como tinción de contraste el la técnica de la Hematoxilina - Eosina. La Eosina es un Colorante amarillento – anaranjado usado comúnmente para contrastar con otros, se puede utilizar en solución acuosa al 1% o alcohólica al 5%.

Tinción histológica con Eosina Y
Eosina acuosa 1%
Eosina 1 g
Agua destilada 99 mL
Eosina alcohólica 5%
Eosina 5 g
Alcohol etílico 96% 95 mL
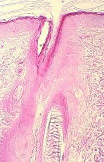
Safranina O
Es un colorante biológico, de contraste que se utiliza en la Tinción de Gram para proporcionar un color violeta más intenso a las bacterias Gram+ y tiñe de rosa a las bacterias G- ; en histología y en citología. La safranina se usa como líquido de contraste en algunos protocolos de tinción, coloreando el núcleo celular de rojo. Este colorante se utiliza especialmente para técnicas histológicas animales y vegetales.

Diferentes cortes vegetalkes preparados con Safranina O
Preparación: Pese 1 g de Safranina y disuelva en 10 mL de alcohol 50%, agregue 85 mL de agua destilada. En el momento de usar diluya una parte de la solución en 9 partes de agua destilada.
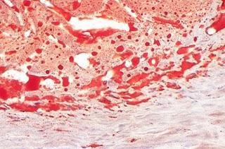
Sudán III o Sudán IV
Usado comúnmente en tejidos vegetales o animales para diferenciar las grasas. Los colorantes para grasas son más solubles en las propias grasas que en el medio en el que van disueltos. Así, al bañar la grasa con la solución del colorante éste tiende a disolverse en la grasa que se va cargando del colorante. Por regla general estos colorantes siempre van en solución alcohólica o bien en una mezcla de alcohol/acetona o alcohol/agua. El Sudán IV produce una coloración progresiva, es decir, que a más tiempo de exposición al colorante mayor es la intensidad de tinción.

Tincion de una placa en un Ateroma con sudan IV
Preparación
Acetona 50 mL
Alcohol etílico 70% 50 mL
Sudán III o IV 0,2 g
Otra forma de preparar el Sudán IV es pesando 1 g de Sudán IV, disuelva en 100 mL de etanol 95%, caliente hasta ebullición. Después agregue 40 mL de glicerina a 60 mL de la solución. Para teñir en cualquiera de los dos casos, corte secciones muy delgadas del material y agregue el colorante deje actuar por 20 minutos y luego caliente suavemente.
Para la fijación previa del tejido el mejor fijador es el formol, que, si bien fija totalmente las grasas neutras, actúa de manera variable sobre le resto de las estructuras lipídicas (colesterol y derivados, fosfolípidos, esfingolípidos...). El formol es aún mejor fijador de grasas si se emplea como formol-cálcico (formol al 10% y cloruro cálcico al 1%). De esta manera los iones de calcio estabilizan los lípidos y el formol los fija más eficazmente.
Orceína
Uno de los tintes más empleados, se utiliza para diferenciar núcleo. Caliente suavemente 45 mL de Acido Acético y agregue 2 g de Orceína, deje enfriar y agregue 55 mL de agua destilada.

Lugol
El lugol o solución de Lugol es una solución de yodo diatómico|I2 (1%) en equilibrio con yoduro de potasio KI (2%) en agua destilada. Fue nombrada en honor al médico francés Jean Guillaume Auguste Lugol.
Este producto se emplea frecuentemente como desinfectante y antiséptico, para cubrir deficiencias de yodo, y para la desinfección de agua en emergencias. En microbiología, es empleado en la tinción de Gram para retener el colorante cristal violeta. Este reactivo reacciona con algunos polisacáridos como los almidones, glucógeno y ciertas dextrinas, formando un complejo de color diferente ( negro, azul, verde ) según las ramificaciones que presente la molécula.
El yoduro de potasio es agregado para aumentar la solubilidad del yodo diatómico por formación del anión triatómico I3-. Además se utiliza como antiséptico y en determinación de algunos polisacáridos, como el almidón o el glucógeno. Frente a la presencia de estos, vira al color negro-morado.

Preparación
Yodo 1 g
Agua destilada 300 mL
Yoduro de potasio 2 g
Se mezclan y se filtran.

Amiloplastos teñidos con lugol
Proceso de tinción
Para aplicar el tinte se procede a sacar el tejido del fijador y ponerlo en agua destilada por lo menos 20 minutos, esto se hace para sacar el fijador del tejido, lo cual, de no hacerse puede interferir en el proceso de tinción. En ocasiones se deben hidrolizar las paredes celulares, para realizar esto una vez lavado el tejido y sacado el fijador se aplica HCl 18% durante tres minutos ( también se puede utilizar Acido Acético 45% ) y se lava de nuevo con agua destilada por lo menos en 6 o 7 ocasiones diferentes. Para realizar los lavados se coloca el tejido sobre un portaobjetos y se agregan 2 o 3 gotas de agua destilada con un gotero, se espera por espacio de 2 o 3 minutos y luego se seca con papel filtro o toalla absorbente, el cual absorberá el agua por capilaridad. Una vez lavado el tejido se aplican 1 o 2 gotas de tinte y se macera el tejido. En ocasiones se utiliza una lámpara de alcohol para calentar suavemente el tejido macerado, no se debe dejar que se seque el tinte . Al calentar suavemente el tinte tiene oportunidad de actuar mejor, en caso de que se seque un poco se puede agregar una gota de agua destilada, una vez teñido el tejido se coloca el cubreobjetos y se observa.
Procedimiento:
Realice diferentes cortes de material vegetal ( longitudinal, transversal y oblicuos ). Aplique a cada muestra una gota de los diferentes tintes. Realice observaciones y dibujos en bajo y mediano poder. Trate de observar el tipo de estructuras y materiales que se logra teñir con cada uno de los tintes.
Descargas
Documento en versión para imprimir
Recetarios con varios tintes histológicos
