Godieboy
compartido
MIS BLOGS
-
godie geek blog
http://godieboy.com/
blog de un geek que publica sobre Tecnologia, Internet, Programacion, Anime, Aplicaciones webs y cualquier cosa que vaya descubriendo en su dia a dia.
ÚLTIMOS ARTÍCULOS (760)
-
Reporte de prueba de boyden negativa
DIAGNÓSTICO DE ENVÍO: PROBABLE DISCINESIA VESICULAR MÉDICO SOLICITANTE: Se realiza ultrasonido en escala de grises con transductor convexo, en tiempo real con... Leer el resto
Publicado el 28 mayo 2019 TECNOLOGÍA -
Formato tac abdomen simple y contrastada
TÉCNICA. Se realiza volumen de abdomen y pelvis en fase simple desde las bases pulmonares hasta la sínfisis del pubis en donde se observa: DESCRIPCIÓN. Leer el resto
Publicado el 26 mayo 2019 TECNOLOGÍA -
patología del uraco “seno umbilical-uracal”
uraco normal ilustración Patología uracoAnomalías uracales congénitas (clasificación)patente de uracoquiste de uracoseno umbilical-uracaldivertículo... Leer el resto
Publicado el 21 mayo 2019 TECNOLOGÍA -
Anatomía topográfica abdominopélvica
Anatomía topográfica abdominopélvica Nos sirve perfecto para nuestros diagnósticos diferenciales Anatomia de hígado y vías biliares Riñones y vías urianarias... Leer el resto
Publicado el 18 mayo 2019 SALUD Y BIENESTAR -
Síndrome de Budd-Chiari.
El esquema muestra un hígado dismórfico con hipertrofia del lóbulo caudado; trombosis de la vena hepática; y venas colaterales intrahepáticas, extrahepáticas y... Leer el resto
Publicado el 14 mayo 2019 TECNOLOGÍA -
El síndrome de Mirizzi
¡ 5 minutos de conocimiento! #MeGusta #LosRecomiendo El síndrome de Mirizzi es una complicación que aparece en aproximadamente el 1% de los pacientes con... Leer el resto
Publicado el 11 mayo 2019 TECNOLOGÍA -
Cuando se raspa una lesión con Psoriasis se observa una escama blanco plateada
: a. Signo de Koebner. b. Signo de Auspitz. c. Signo de la mancha de la vela. d. Todas las anteriores. e. Ninguna de las anteriores. Leer el resto
Publicado el 08 mayo 2019 TECNOLOGÍA -
(ACLS) 2015 – 2020 BLS Guidelines Changes
[https://pastelink.net/r30g](https://pastelink.net/r30g?fbclid=IwAR1v7seO1foGy8Uoh69-yE7XstlA4M4bB05XSaPddaxPiUvl3vD-tsnOCQo) COMO DESCARGAR... Leer el resto
Publicado el 06 mayo 2019 TECNOLOGÍA -
RCP actualizado
Profesionales ????lo hiperventilaron lo mataron profesionales de la salud?????? MANIOBRAS 30×2 En las guías 2015 de AHA (American heart association) podemo... Leer el resto
Publicado el 05 mayo 2019 TECNOLOGÍA -
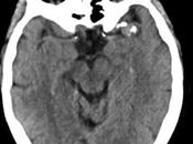
Glioma de alto grado
Caso clínico: Paciente femenino de la quinta década de la vida que acudió por presentar cefalea persistente así como hemiparesia corporal izquierda no densa... Leer el resto
Publicado el 04 mayo 2019 TECNOLOGÍA -
Esofagograma tecnica
Los estudios con bario también pueden revelar poca profundidad. Úlceras y erosiones en el esófago distal. Las úlceras pueden tener un punto puntual, lineal, o... Leer el resto
Publicado el 02 mayo 2019 TECNOLOGÍA -
Reporte de urotomografia
ESTUDIO: UROTOMOGRAFÍA DIAGNÓSTICO DE ENVÍO: TUMORACION RENAL + HIDRONEFROSIS Se realiza estudio urografía por tomografía con imágenes tomadas en fase simple y... Leer el resto
Publicado el 30 abril 2019 TECNOLOGÍA -
Serie esofagogastroduodenal con mecanica de la deglucion
ESTUDIO SOLICITADO: SERIE ESOFAGOGASTRODUODENAL. RADIOLOGIA E IMAGEN Se realiza Esofagograma con material de contraste baritado, por vía oral y por medio de... Leer el resto
Publicado el 28 abril 2019 TECNOLOGÍA -
Proyección de Dunn (Dunn view
) proyección de caderas: el estudio del pinzamiento femoroacetabular. El paciente se ubica igual que para pelvis AP. El centraje es el mismo, es decir, punto... Leer el resto
Publicado el 22 abril 2019 TECNOLOGÍA -
Rx simple de abdomen decubito supino y de pie
ESTUDIO: RX SIMPLE DE ABDOMEN DECUBITO SUPINO Y DE PIE Se observa placa simple de abdomen de cubito supino y de pie observando los siguientes hallazgos:... Leer el resto
Publicado el 18 abril 2019 TECNOLOGÍA -
Caso de anencefalia
es un defecto de nacimiento grave en el cual el bebé nace sin partes del encéfalo y el cráneo. Es un tipo de defecto del tubo neural (DTN) aún que viven pocas... Leer el resto
Publicado el 14 abril 2019 TECNOLOGÍA -
Qué identificamos en esta radiografía? A) fractura de l5 B) espondilolistesis d...
Qué identificamos en esta radiografía? A) fractura de l5 B) espondilolistesis de l5 C) Luxación de l5 D) compresión de l5 Imagen: BONTRAGER 8º edición La... Leer el resto
Publicado el 10 abril 2019 TECNOLOGÍA -
Radiografia de codo derecho ap y lateral.
Se observa radiografía anteroposterior y lateral de codo observando los siguientes hallazgos: En tejidos blandos se muestra aumento de volumen. Leer el resto
Publicado el 09 abril 2019 TECNOLOGÍA -
Rx de columna cervical.
Se observa radiografía anteroposterior y lateral de columna cervical observando los siguientes hallazgos: Se muestra columna cervical con rectificación de la... Leer el resto
Publicado el 08 abril 2019 TECNOLOGÍA -
Serie esofago gastro duoedenal
SERIE SEDG engrosamiento de la mucosa gástrica arriba de 5 mm ESTUDIO : S.E.G.D. DX ENVIO:GASTRITIS EROSIVA Y ERGE HALLAZGOS Y DESCRIPCIÓN: Las proyecciones... Leer el resto
Publicado el 08 abril 2019 TECNOLOGÍA
