Sexo — VIH
Sexo — VIH
-
Noticias ciencia: Martes, 19/7/2011
Anatomía ¿Cuántas veces puede una salamandra regenerar una parte de su cuerpo? Astronomía Energía oscura observada en el fondo de microondas cósmico Astrónomos... Leer el resto
El 19 julio 2011 por Cienciaaldia
NONE -
Cuándo no se deben dar vacunas
La aplicación de vacunas en la primera infancia, según la medicina tradicional, es un refuerzo sin igual para prevenir todo tipo de enfermedades. En algunos... Leer el resto
El 19 julio 2011 por Blogdefarmacia.com
NONE -
¿Invulnerables?
“Invulnerable” no cuenta nada que ya no sepamos. Nos recuerda lo vulnerables que somos a un virus que cuando llega es para quedarse para siempre. Leer el resto
El 19 julio 2011 por Gaysenace
NONE, NONE -
Visión Mundial lanza Campaña 'Salud Infantil Primero'
por Karol Assunção La meta número cuatro de los Objetivos de Desarrollo del Milenio (ODM) convoca a los gobiernos y Jefes de Estado Mundiales a "reducir la... Leer el resto
El 19 julio 2011 por Sofogebel
NONE, NONE, NONE -
Los ilusionistas de la transgresión: Identidad gay y marginalidad en las...
Las autobiografías del mexicano Salvador Novo (ciudad de México, 1904-1974) y el cubano Reinaldo Arenas (Holguín, 1943-Nueva York, 1990) son obras seminales de... Leer el resto
El 18 julio 2011 por Agora
NONE, NONE, NONE -
Discriminación en las escuelas ¿Ignorancia o Arrogancia?
En el último post se habló del abuso del “colegio” Los caminantes de Villa María del Triunfo Perú y puse como eje central de este abuso a la ignorancia de las... Leer el resto
El 17 julio 2011 por Irpensando
NONE, NONE -
Ajedrez en Etiopía
Jugar al ajedrez en Etiopía: una pieza de magia contra el hambre y la guerra.2.400 huérfanos viven en la misión de S. Mary's, en Wukro, al norte de Etiopía,... Leer el resto
El 16 julio 2011 por Ajedrezcehegin
NONE, NONE -
Kiehl´s inaugura nueva tienda en Barcelona
Kiehl´s inauguro hace unos días su tercera boutique en Barcelona, en el vanguardista y cosmopolita barrio del Borne. La actriz española Goya Toledo reafirmó su... Leer el resto
El 16 julio 2011 por Cosmetik.es
NONE, NONE -
Congo: nuevas tecnologías contra la violencia de género
Mujeres y niñas de Congo denunciaron decenas de casos de violencia sexual, acoso y discriminación contra ellas, gracias al uso de tecnologías de la... Leer el resto
El 16 julio 2011 por Daniela
NONE, NONE -
CAIBER pone en marcha el primer Plan Clínico de Investigación en Ensayos clínico...
CAIBER, Plataforma Española de Ensayos Clínicos, ha puesto en marcha el Primer Plan Clínico de Investigación con la selección de 81 estudios del Programa... Leer el resto
El 15 julio 2011 por Fat
NONE -
Terapia del Par biomagnético
La Terapia del Par biomagnético es una terapia alternativa que fue descubierta hace más de 20 años con el objetivo de mejorar nuestra salud sin medicinas... Leer el resto
El 15 julio 2011 por Blogdefarmacia.com
NONE -
'Affirming love, avoiding AIDS'
Este es el título de un fascinante libro recién publicado, escrito por Matthew Hanley y Jokin de Irala. El título completo del libro es: Affirming Love, Avoidin... Leer el resto
El 15 julio 2011 por Alchavida
NONE, NONE -
Uveítis: la inflamación más desconocida del ojo
La uveítis se define como una alteración de la úvea – la capa media del ojo y la que se encarga de llevar la mayor parte de la sangre a la retina – que se... Leer el resto
El 15 julio 2011 por Blogdefarmacia.com
NONE -
Una mujer: Somaly Mam, activista camboyana
Somaly Mam es una reconocida activista camboyana contra la prostitución y el tráfico infantil. Su mensaje: "No hay niñas que se dediquen a la protitución sino... Leer el resto
El 14 julio 2011 por Ciberculturalia
NONE, NONE, NONE, NONE -
No seas pend…
Lo siguiente que voy a escribir es algo realmente indignante, repulsivo y, desde mi punto de vista, realmente deplorable. Hoy supuestamente tenia deseos de dar... Leer el resto
El 14 julio 2011 por Irpensando
NONE, NONE -
Madrid, tumba del laicismo
Nuevo atentado en Madrid contra la salud y la independencia de la sociedad respecto de las religiones: prohibida la publicidad sobre el uso del preservativo en... Leer el resto
El 14 julio 2011 por Ritofrancesmoderno
NONE, NONE, NONE -
La cardiopatía isquémica, primera causa de muerte en el mundo
Según un estudio publicado recientemente por la Organización Mundial de la Salud acerca de las 10 principales causas de muerte de las personas en todo el mundo... Leer el resto
El 14 julio 2011 por Blogdefarmacia.com
NONE -
Contra el veto del anuncio de condones en la EMT en Madrid
ESC ha escrito una nueva entrada en el blog: Contra el veto del anuncio de condones en la EMT en Madrid COGAM rechaza totalmente el veto que la EMT ha dado a... Leer el resto
El 13 julio 2011 por Ensentidocontrario
NONE, NONE -
Onicomicosis: la enfermedad de las uñas
Bienvenidos al Sitio Web www.informanet1.com Director General: Erasmo Martínez Cano… Comentarios y sugerencias: Editor: Erasmo Martínez / Javier Tlatoa (... Leer el resto
El 12 julio 2011 por Erasmo
-
Andalucía: la Junta destinará casi 1.000.000 de euros en ayudas a Programas de...
La Consejería de Salud, a través de la Secretaría General de Salud Pública y Participación, ha abierto el plazo para la concesión de ayudas a programas de... Leer el resto
El 12 julio 2011 por Fat
NONE -
Un reality para dejar 'out' a la homofobia
Uno de los concursantes en el realityMéxico será el escenario de un nuevo reality show, aunque en esta ocasión con un fin muy distinto a la inacabable serie de... Leer el resto
El 12 julio 2011 por Gaysenace
NONE, NONE, NONE -
Jugar a ser House (VII)
Jugá a ser Dr.House Casi se me pasa el Lunes, pero creo que llego a tiempo… vamos con el caso: Dr.House, caso #7 Paciente de 39 años, resultó positivo para... Leer el resto
El 11 julio 2011 por Drgen
NONE, NONE -
Algunos efectos secundarios no deseados del apagón nuclear
Últimamente no hay cosa que mole más que ser antinuclear. A un político le da votos, a una organización ecologista militantes y a nivel personal igual hasta... Leer el resto
El 11 julio 2011 por Jmmulet
NONE, NONE -
El anillo vaginal, un método anticonceptivo de última generación
El anillo vaginal es un método anticonceptivo hormonal con forma de aro de plástico flexible que se inserta en la vagina y libera hormonas como las de las... Leer el resto
El 11 julio 2011 por Blogdefarmacia.com
NONE, NONE -
'El cerebro de Kennedy', de H. Mankell: Cuatro notas
I. "Oscuro, oscuro, oscuro, todo se adentra en lo oscuro", así comienza una de las secciones de East Coker, el segundo de los Cuatro cuartetos, de T. S. Eliot; ... Leer el resto
El 10 julio 2011 por Mora Fandos
NONE, NONE -
Los beneficios de la fiebre
Antiguamente la fiebre se consideraba beneficiosa ya que aceleraba el proceso de cualquier enfermedad y contribuía a la recuperación. Pero la industria... Leer el resto
El 10 julio 2011 por Yoisasi
NONE -
'Que me hagan la prueba y midan mi ano a ver si está dilatado'
Más vídeos en Antena3Estos hechos sólo ocurren en instituciones anacrónicas y “desorientadas” como la Iglesia católica. El culebrón protagonizado por el Obispad... Leer el resto
El 10 julio 2011 por Gaysenace
NONE, NONE, NONE -
Por la eliminación de prejuicios imperialistas
Con motivo de la proclamación del presidente Obama del mes de junio como el mes del orgullo gay, la embajadora de Estados Unidos en El Salvador publicó una cart... Leer el resto
El 09 julio 2011 por Alchavida
NONE -
No soy de aquí ni soy de allá: A Facundo Cabral, asesinado en Guatemala el 9 de...
NO ESTÁS DEPRIMIDO, ESTÁS DISTRAIDO No estás deprimido, estás distraído, distraído de la vida que te puebla. Distraído de la vida que te rodea: Delfines,... Leer el resto
El 09 julio 2011 por Profeblog
NONE, NONE, NONE, NONE -
Colombia "SEXUALIDAD Y MIGRACIÓN"
Los estudios sobre migraciones, así como los abordajes de aspectos sociales y políticos de la sexualidad, han adquirido gran actualidad. Leer el resto
El 09 julio 2011 por Daniela
NONE, NONE -
'Que me hagan la prueba y midan mi ano a ver si está dilatado'
Este es el triste mensaje con el cual el padre Andrés García Torres, cura de Fuenlabrada, se defiende de las acusaciones de homosexualidad que la Iglesia... Leer el resto
El 08 julio 2011 por Ensentidocontrario
NONE -
Las vacunas del siglo XXI permitirán curar enfermedades
Las vacunas que lleguen en el siglo XXI no sólo estarán dirigidas a prevenir enfermedades infecciosas, sino a abordar otras como el cáncer, cuadros... Leer el resto
El 08 julio 2011 por Fat
NONE -
El capitalismo colapsará y se determina desde hoy si lo sucederá el fascismo o e...
El capitalismo global se enfrenta a una crisis financiera, alimentaria, energética, climática, extremadamente grave. Cierre de empresas, quiebra de bancos,... Leer el resto
El 07 julio 2011 por Barbazul
NONE, NONE, NONE -
Del enfoque de derechos a la diversidad en la cooperación al desarrollo. Qué...
Si la cooperación al desarrollo pretende mejorar la vida de las personas, la medida de la cooperación al desarrollo debe ser los derechos humanos, porque estos... Leer el resto
El 07 julio 2011 por Daniela
NONE, NONE -
Preocupante, las enfermedades mentales son la principal causa de discapacidad...
Un informe realizado por la Organización Mundial de la Salud (OMS) en la revista The Lancet muestra que las enfermedades mentales como la depresión, el abuso... Leer el resto
El 07 julio 2011 por Stornel
NONE, NONE, NONE -
Sentimientos y adn
A continuación tres asombrosos experimentos con el ADN que prueban las cualidades de autosanación del mismo en consonancia con los sentimientos de la persona,... Leer el resto
El 06 julio 2011 por Alcam77
NONE, NONE -
¿Una enfermedad antinatural?
Cierto es que los exabruptos sobre la homosexualidad en determinados países son el pan de cada día, pero no dejan de sorprendernos las salidas de tono de quiene... Leer el resto
El 05 julio 2011 por Gaysenace
NONE, NONE -
Noticias Ciencia: Martes, 5/7/2011
Ecología Las palomas no olvidan una cara Las hormigas distinguen a sus enemigos Geología Hallan en el fondo del Pacífico grandes reservas de minerales... Leer el resto
El 05 julio 2011 por Cienciaaldia
NONE -
Celebración del Orgullo Gay en Madrid.
Como cada año en la capital de España, la época estival viene marcada por la celebración del Orgullo Gay. Bajo el lema ‘Salud e igualdad por derecho’ y con... Leer el resto
El 05 julio 2011 por Lzueco
NONE, NONE -
Coordinadora Gay, Lesbiana entregará el premio '1978'
ESC wrote a new blog post: Coordinadora Gai Lesbiana entregará el premio 1978 La federación de asociaciones Coordinadora Gai Lesbiana de Cataluña , en el marco... Leer el resto
El 04 julio 2011 por Ensentidocontrario
NONE, NONE -
'You are not alone'
No estás solo y no estamos solos, esto es lo que nos vienen a decir las obras de la exposición comisariada por Hilde Teerlinck y organizada por la Fundación... Leer el resto
El 04 julio 2011 por Camilayelarte
NONE, NONE -
El citomegalovirus, principal causante de las infecciones en pacientes...
Entre un 15 y 20 por ciento de los pacientes trasplantados de órgano sólido padece una infección por citomegalovirus, la más frecuente en estos casos ya que se... Leer el resto
El 03 julio 2011 por Ana46
NONE -
El último sábado de junio
Bienvenidos al Sitio Web www.informanet1.com Director General: Erasmo Martínez Cano… Comentarios y sugerencias: Editor: Erasmo Martínez / Javier Tlatoa (... Leer el resto
El 03 julio 2011 por Erasmo
-
¿Nos vemos en la manifestación del Orgullo LGTB de Madrid?
Un año más, miles de personas se darán cita hoy sábado en la manifestación del Orgullo LGTB de Madrid, que discurrirá entre la Puerta de Alcalá y la Plaza de... Leer el resto
El 02 julio 2011 por Gaysenace
NONE, NONE -
Advertir sobre las consecuencias de los abortos
En el post Rusia se posiciona contra el aborto destacábamos que la deprimida tasa de natalidad de ese país había hecho que su Gobierno tomara medidas al... Leer el resto
El 02 julio 2011 por Pequelia
NONE, NONE, NONE, NONE -
Atreveté a hablar – Defying the odds. Voces de hombres desde Kenia contra la...
Noticias fresquitas de los compis de MEGEN Acaban de publicar un trabajo muy importante pensado para romper el silencio sobre temás tabús tales como contagio,... Leer el resto
El 01 julio 2011 por Joaquimmontaner
NONE, NONE -
Orgullo Gay Madrid
El Orgullo de lesbianas, gays, transexuales y bisexuales reunirá en Madrid más de un millón de personas por el matrimonio y contra el VIH El... Leer el resto
El 01 julio 2011 por Ensentidocontrario
NONE, NONE -
Orgullo Gay Madrid, diversión y reivindicación
COGAM, Colectivo de Lesbianas, Gays, Transexuales y Bisexuales de Madrid, hoy jueves 30 de junio, un día después de que el Orgullo LGTB (Orgullo de Lesbianas,... Leer el resto
El 30 junio 2011 por Ensentidocontrario
NONE -
Noticias Ciencia: Jueves, 30/6/2011
Anatomía Los bebés sometidos a estrés durante el embarazo podrían envejecer más rápido Las particularidades de los cerebros distraídos Astronomía 1º de julio: u... Leer el resto
El 30 junio 2011 por Cienciaaldia
NONE -
Brasil: rechaza la Iglesia Católica el uso de imágenes de santos en la marcha de...
El arzobispo del estado de São Paulo (Brasil), Don Odilio Scherer, ha rechazado el uso de imágenes de santos católicos casi desnudos y exhibiendo a sus músculos... Leer el resto
El 29 junio 2011 por Noticieroyopinion
NONE -
Especial Mejores Bandas de la Historia: Queen (3ª Parte) 1990 - 2009
Después que los fans se informaron de la última aparición pública de Mercury durante 1988, comenzaron a extenderse los rumores que Mercury estaba padeciendo... Leer el resto
El 29 junio 2011 por Mumbo
NONE, NONE, NONE -
ILGA LAC difunde Informe “Salud Lésbica y Bisexual en LAC. Construyendo...
La Asociación Internacional de Lesbianas, Trans, Gays, Bisexuales, Intersex- ILGA LAC en el marco de conmemoración del 28 de junio difunde el Informe “Salud... Leer el resto
El 29 junio 2011 por Daniela
NONE, NONE -
Fiesta Orgullo Gay Madrid 2011
Después de semanas de incertidumbre ante los problemas con el ayuntamiento, por fin se ha presentado el programa del Orgullo Gay de Madrid 2011, que se celebrar... Leer el resto
El 28 junio 2011 por Emma
NONE, NONE, NONE, NONE -
Comienza el Orgullo en Chueca con la inauguración de 'La Culta'
ESC wrote a new blog post: Comienza el Orgullo en Chueca con la inauguraciĂłn de La Culta El Festival La Culta da el pistoletazo de salida al Orgullo Gay en... Leer el resto
El 28 junio 2011 por Ensentidocontrario
NONE, NONE -
El Orgullo sale fortalecido tras las manifestaciones fuera de Madrid
Cartel del Pride Barcelona Valencia, Sevilla, Gran Canaria, Barcelona, Cartagena y otras tantas ciudades han celebrado sus Orgullos, símbolo de visibilidad y... Leer el resto
El 27 junio 2011 por Ensentidocontrario
NONE, NONE -
Gran lazo rojo en la Puerta de Alcalá por el Orgullo Gay 2011
ESC wrote a new blog post: Gran lazo rojo en la puerta de alcalĂĄ por el Orgullo Gay 2011 Cogam instala un gran lazo rojo en la puerta de alcalĂĄ con motivo... Leer el resto
El 27 junio 2011 por Ensentidocontrario
NONE, NONE -
72.- Que siga la indignación…
Poco antes de que se estallase la crisis, el 5 de abril de 2008, se podía leer en El País un artículo titulado “El BBVA y el riesgo venezolano”. Leer el resto
El 27 junio 2011 por Javiersoriaj
NONE, NONE, NONE -
Mujeres palestinas: Violencia callada y silenciada
Según el primer informe de UN Women, la Entidad de las Naciones Unidas para la Igualdad de Género y el Empoderamiento de las Mujeres, la prostitución y el sida... Leer el resto
El 26 junio 2011 por Ciberculturalia
NONE, NONE -
Definen una enzima implicada en la pérdida de masa muscular
Una investigación europea, recientemente publicada en la revista "Science", ha revelado que la enzima ATGL provoca caquexia. Se trata de un desajuste que provoc... Leer el resto
El 25 junio 2011 por Fat
NONE -
'Gracias por darme un contrato'
(AE) La expresión en la seria cara de mi colaborador lo decía todo: no era una frase hecha ni un agradecimiento de florero para quedar bien. La frase quedó... Leer el resto
El 25 junio 2011 por En Clave De África
NONE, NONE -
Lo interesante de la semana!
Otro viernes y nuevamente estamos aquí todos reunidos para compartir la falta absoluta de ganas de trabajar. pues bien todos sus plegarias fueron escuchadas,... Leer el resto
El 24 junio 2011 por Leiman
NONE -
Sano como un roble a cualquier edad
Hoy queremos hacer un desglose por edades de las pruebas médicas más comunes que suelen presentarse cuando avanzados de década en década. Al igual que hacemos... Leer el resto
El 23 junio 2011 por Sportfactor
NONE -
Propiedades del cardo mariano como depurativo
El cardo mariano es una hierba que tiene propiedades medicinales entre las que destacan sus propiedades para combatir la presión sanguínea baja en personas que... Leer el resto
El 23 junio 2011 por Blogdefarmacia.com
NONE -
ONU: Millones de bebés y mujeres aun mueren por falta de partera
Una mayor inversión en parteras podría salvar a muchos de los millones de bebés y cientos de miles de mujeres que todavía mueren cada año debido a la falta de... Leer el resto
El 22 junio 2011 por Mamasybebes
NONE, NONE, NONE -
El 2012 en la agenda de los Amos del Mundo y cómo el 15M colabora a ella.
No voy a hablar de marcianitos que llegan en platillos, ni de ángeles que nos vienen a salvar, ni tampoco de asteroïdes que se estrellan. A pesar de ello, lo qu... Leer el resto
El 22 junio 2011 por Pilar Baselga
NONE, NONE -
Es necesario desestigmatizar las enfermedades psiquiátricas y neurológicas
Todavía la sociedad mantiene un especial "sello negativo" sobre las enfermedades psiquátricas y neurológicas. Aún queda un estigma que debe desaparecer y esto s... Leer el resto
El 22 junio 2011 por Fat
NONE -
Desmontando el virus del SIDA
El incasable Luis Carlos Campos, después de su bestseller la macro estafa del sida, nos regala un video de 11 minutos donde queda patente y desmontada la mentir... Leer el resto
El 21 junio 2011 por De2008a2012
NONE, NONE -
Salud, Derecho a la información y Redes Sociales: "Pros y Contras"
Pros y contrasLos médicos, temerosos ante las redes socialesMadrid.- En la utilización de las nuevas tecnologías, los pacientes van un paso por delante de los... Leer el resto
El 21 junio 2011 por Seo Bloguero
NONE -
Nuevo estudio sobre cómo afecta la cocaina al corazón
Daños neurológicos, problemas psiquiátricos, perforación del tabique nasal… Algunas de las consecuencias del consumo habitual de cocaína son muy conocidas. Todo... Leer el resto
El 21 junio 2011 por Fat
NONE -
Cine de los 80, Acid jazz de las mujeres locas, Atracción Fatal (1987)
En Apuntes Autistas, el escritor chileno Alberto Fuguet dice: “Por lo general, el cine norteamericano cuenta historias y sus personajes se definen, mas que nada... Leer el resto
El 20 junio 2011 por Cluisa
NONE -
Veterinarios y médicos aconsejan prevenir la Leishmaniosis si viaja en vacaciones
El Symposium Internacional sobre Leishmaniosis en el que han participado los veterinarios y médicos más prestigiosos del mundo en la materia, finaliza esta... Leer el resto
El 19 junio 2011 por Fat
NONE -
» Breve historia de la Bandera LGTB.
Imagen: Visión Madrid. Representa la diversidad, nos representa a todos. Y por eso, tanto da que nos gusten las manifestaciones del Orgullo, como que... Leer el resto
El 18 junio 2011 por Gcdmartinez
NONE, NONE -
E-coli / Gripe A/Sindrome Tóxico /Chemtrails?: armas químicas,...
Esta realidad en la que vivimos es muy superior a cualquier película de ficción. A pesar de todo lo que ha ocurrido (que sepamos, pues a lo mejor hay más que... Leer el resto
El 17 junio 2011 por Pilar Baselga
NONE, NONE -
Indignación en el XIV congreso nacional sobre el Sida
ESC wrote a new blog post: IndignaciĂłn en el XIV congreso nacional sobre el Sida Zaragoza, 16 de junio de 2011.- El 30 de junio de 2008 fue aprobado por la... Leer el resto
El 16 junio 2011 por Ensentidocontrario
NONE -
¿Temen los médicos a las redes sociales?
Hay experiencias positivas, como las redes de pacientes, que ponen en contacto por internet a personas que están sufriendo la misma enfermedad y se ofrecen apoy... Leer el resto
El 16 junio 2011 por Fat
NONE -
Un estudio español revela que en un 8% de las nuevas infecciones el SIDA avanza...
Mientras las autoridades sanitarias se afanan en reforzar el mensaje preventivo contra el sida para frenar los nuevos contagios entre la población de riesgo... Leer el resto
El 16 junio 2011 por Fat
NONE -
Entrevista a Todd Minerson
Te traigo esta interesante entrevista… recuerda que los hombres somos parte fundamental de la solución de la violencia y de las desigualdades de género. Cinco... Leer el resto
El 15 junio 2011 por Joaquimmontaner
NONE, NONE -
Cultura criminal
La inseguridad es el terror actual de los mexicanos, seguido de los problemas económicos que parecen no tener una buena solución, a diferencia de otros países... Leer el resto
El 15 junio 2011 por Miguelo87
NONE, NONE, NONE -
Andalucía destinará más de 800.000 euros para programas contra el SIDA
La Consejería de Salud destinará más de 853.000 euros a programas de prevención de Sida en la comunidad durante 2011. El programa andaluz de prevención de las... Leer el resto
El 14 junio 2011 por Fat
NONE -
Conoce la tuberculosis pulmonar
La tuberculosis pulmonar es una infección bacteriana de los pulmones que, al ser contagiosa, tiene muchas posibilidades de extenderse a otros órganos del cuerpo. Leer el resto
El 14 junio 2011 por Blogdefarmacia.com
NONE -
Hierba de San Juan: Fitoterapia contra la depresión
La hierba de San Juan es una planta medicinal conocida desde hace siglos por su eficacia en el tratamiento de las inflamaciones producidas por golpes. Leer el resto
El 14 junio 2011 por Blogdefarmacia.com
NONE -
La condena de los ritos de iniciación sexual en Mozambique
"Las encierran en una apartada casa y las hacen de todo. Estamos luchando para terminar con esa práctica horrible". La frase es de Marie-Consolée Mukangendo,... Leer el resto
El 14 junio 2011 por Daniela
NONE, NONE -
Sin acceso a cuidados paliativos
Diez millones de personas de todo el mundo no tienen acceso a las medicinas más baratas para combatir dolores agudos, según un reciente informe de 128 páginas... Leer el resto
El 14 junio 2011 por Alchavida
NONE -
En-red-ando con crí@s… (35)
Dice la Real Academia de la Lengua: enredar 3. tr. Enlazar, entretejer (…); 6. tr. Entretener (…); 7. intr. Revolver (…), travesear. travesear (De... Leer el resto
El 13 junio 2011 por Hijosdeevayadan
NONE, NONE -
Juventud de verdad.ya
Leo que los indignados se levantan y dejan Sol, para transformarse en un campamente nómada. Nunca he creído en los valores democráticos de un régimen... Leer el resto
El 12 junio 2011 por Alchavida
NONE -
Cultura e indignación
La crisis finanaciera, la bomba de relojería que fue la enorme burbuja en la que hemos vivido los últimos años mientras los gobiernos miraban hacia otro lado,... Leer el resto
El 12 junio 2011 por Babel
NONE -
En Medio De La Represión, Mujeres Con Discapacidad En Uzbekistán Luchan Por...
Una activista por los derechos de las mujeres con discapacidad en Uzbekistán explica: “podemos construir rampas y elevadores, que son necesarios, así como... Leer el resto
El 12 junio 2011 por Daniela
NONE, NONE -
Gente joven habla sin tapujos de presuntos "tabúes" de la religión católica
He tenido ocasión de conocer a un par de universitarios del equipo que ha hecho una serie de videos breves hablando en claro y sin ningún tipo de tapujos sobre... Leer el resto
El 10 junio 2011 por Noblejas
NONE, NONE -
La Generalitat Catalana recortará derechos sanitarios
Artur Mas, Presidente de la Generalitat Catalana Desde la Plataforma Unitaria de ONG/Sida de Catalunya – Comitè 1r de Desembre expresamos nuestro profundo... Leer el resto
El 10 junio 2011 por Ensentidocontrario
NONE -
LA PAUSADA DERROTA DE LA ÉLITE PERUANA. Por Fernando Molina
Bueno, tal como lo mencioné en uno de los últimos posteos, y valga la redundancia, entramos en la recta final de la existencia de este blog (al menos en cuanto ... Leer el resto
El 09 junio 2011 por Jorgebazo
NONE, NONE, NONE -
Cruz Roja pide Abolir leyes que promueven el SIDA
"Los Gobiernos tienen que abolir las leyes que erosionan los derechos humanos e impiden el acceso a servicios" sanitarios, indicó la FICR en un comunicado de... Leer el resto
El 09 junio 2011 por Jesus Gutierrez
NONE -
Entre el gobierno de schoklender y los trabajadores de santa cruz
Pocas veces la situación política de Argentina se ha presentado con tanta claridad. El asunto Schoklender no solamente puso al desnudo a un gobierno corrupto,... Leer el resto
El 09 junio 2011 por Partidoobrerocordoba
NONE, NONE -
Varios estudios indican que el 30% de los antibióticos se toman de forma...
Si se abusa de eslos antibióticos el efecto beneficioso se pierde. Son varios los estudios especializados que señalan que más del 30% de los antibióticos se tom... Leer el resto
El 09 junio 2011 por Blogdefarmacia.com
NONE -
ONU fija Plazo Para Erradicar la Epidemia del SIDA
El objetivo es dar fin al sida en 10 años, cero nuevas infecciones, cero traumatismos y cero muertes ligadas al sida", dijo Ban Ki-moon ante los jefes de... Leer el resto
El 09 junio 2011 por Jesus Gutierrez
NONE -
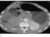
Diagnóstico tomográfico de la neumatosis intestinal
El presente estudio fue diseñado para tratar de determinar qué signos y síntomas clínicos, valores de laboratorio y hallazgos radiológicos, predicen los... Leer el resto
El 08 junio 2011 por Byrock66
NONE -
Hacia una generación de niñ@s sin SIDA en África
Ya mencioné anteayer mi participación como oyente en la jornada 30 años de SIDA y el interés especial que me producía la oportunidad de conocer de primera mano... Leer el resto
El 08 junio 2011 por Hijosdeevayadan
NONE, NONE -
El drama de la democracia en Valencia
Se quejan los socialistas de que los votantes de Valencia hayan otorgado al PP una mayoría aplastante a pesar de que la corrupción anida en el gobierno... Leer el resto
El 07 junio 2011 por Franky
NONE, NONE, NONE -
A los 30 años del SIDA, oportunidad de conocer el trabajo de Victorio Torres
Ayer 5 de junio se cumplieron los 30 años desde la publicación de los primeros casos de SIDA. Con dicho motivo, el Departamento de Sanidad y Consumo del Gobiern... Leer el resto
El 06 junio 2011 por Hijosdeevayadan
NONE -
Anthony Fauci a ABC: "Podemos prevenir el SIDA, pero con dinero"
Anthony Fauci es un campeón contra el sida. Ha hecho aportaciones sustanciales a la lucha como científico y como jefe del Instituto Nacional de Alergias y... Leer el resto
El 06 junio 2011 por Fat
NONE -
Textos fundamentales del zapatismo (4) Chiapas: El sureste en dos vientos, una...
Ya sé que es un texto largo, pero no he querido dividirlo en partes, porque sólo tiene sentido en sí mismo. Diferenciar el viento de arriba y el de abajo, para... Leer el resto
El 05 junio 2011 por Javiersoriaj
NONE, NONE, NONE, NONE
CUARTO OSCURO
PÍLDORA ANTICONCEPTIVA
DUREX
SWINGERS
BONDAGE
FETICHISMO
DOGGERS
SADO SOFT
VIAGRA
VOYEURISMO
PRESERVATIVOS
VIH
OSCARS 2015
CHARLIE HEBDO
PEQUEÑO NICOLÁS