Si algo nos diferencia del resto de animales es el cortex que tenemos. Habréis visto multitud de imágenes de él. Es la parte exterior del cerebro, cuya característica externa es que esta lleno de curvas y recovecos. Una buena forma de aumentar su superficie sin necesidad de aumentar en volumen.
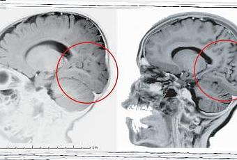
Fijémonos en la siguiente imagen:

En la izquierda tenemos un cerebro normal y en la derecha un cerebro de alguien que tiene una mutación en el gen LAMC3. Al observar las zonas del circulo podemos ver que la persona con la mutación no tiene las circunvalaciones exteriores del cortex, en su caso la zona está lisa. El gen LAMC3, parece estar implicado en el desarrollo de esas típicas circunvalaciones del cortex de nuestros cerebros, al menos en lo que al cortex occipital se refiere. Un pequeño cambio en dicho gen y las circunvalaciones no se manifiestan.
El trabajo ha sido realizado por un grupo internacional de científicos y ha sido publicado en Nature Genetics, llevando por título Recessive LAMC3 mutations cause malformations of occipital cortical development.
El gen LAMC3 se expresa durante un periodo vital del desarrollo embrionario para la formación de las dendritas. Las dendritas son terminaciones de las neuronas que suelen conectarse con los axones(otro tipo de terminación de las neuronas) de otras neuronas. Además LAMC3 no solo está presente en los seres humanos sino que también lo poseen otras especies ,como por ejemplo los ratones, lo cual implica que ha tenido que desarrollar algunas funciones nuevas a lo largo de la evolución que se muestran importantes para la formación del cortex occipital.
No deja de ser sorprendente que el órgano que nos permite hacer poesía o desentrañar los entresijos del cerebro se desarrolle a partir de las instrucciones codificadas en la molécula del ADN.
Picture Credits:courtesy of Yale University
Ismael Pérez Fernández.
