Artículo de Bucosalud.com
BucoSalud - Blog de Salud bucodental y odontología
En este artículo vamos a tratar sobre Periodontitis o Piorrea, qué es y cómo prevenir esta enfermendad periodontal.
Periodontitis (Piorrea)
Las enfermedades bucodentales del tipo gingivitis y periodontitis son ampliamente conocidas por todos, no obstante, afectan a mucha gente y su tratamiento, una vez desarrolladas las fases más agresivas, debe ser realizado por profesionales cualificados. Resumiendo: no puedes tratar por ti mismo en casa esta enfermedad, necesitas ir al odontólogo.
Esta complicación o imposibilidad de tratar dichas enfermedades sin ayuda del especialista, hace que tengan mayor importancia las medidas de prevención.
¿Qué es la Periodontitis o Piorrea?
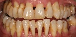
La enfermedad periodontal (periodontitis asociada a la formación de biofilm -el biofilm es comunmente llamado «placa bacteriana»- ), que deriva de la gingivitis, es un proceso infeccioso que afecta a los tejidos periodontales (todos los que rodean al diente). A diferencia de la gingivitis, no afecta solamente a la encía, sino que también ataca el resto de tejidos que conforman el periodonto, caracterizándose por la pérdida de inserción de la pieza dental.
Si quieres conocer más sobre la GINGIVITIS, visita nuestro artículo «Te sangran las encías? Alerta: GINGIVITIS»
¿Por qué aparece esta enfermedad periodontal?
Las enfermedades periodontales son multifactoriales y tienen causas muy diversas. Son necesarios diversos predisponentes para que la enfermedad se desarrolle como tal y no pase de una mera gingivitis. No obstante, hay una variable común en todos esos factores: la presencia de biofilm (placa) que se forma alrededor de nuestras piezas dentales y en el espacio que hay entre estas y la encía.
Siempre que se acumula dicho biofilm en la encía, se producirá gingivitis. Sin embargo, para que la gingivitis progrese a periodontitis tiene que haber otros factores, aunque el más importante de ellos es tener cuidados bucales deficientes.

¿Y tanta gente la tiene?
Pues sí. A día de hoy, la gingivitis y la periodontitis son de las enfermedades bucodentales con mayor concurrencia entre la población.
La enfermedad periodontal es una de las enfermedades más comunes de la humanidad, estrechamente relacionada con otras enfermedades que afectan a la salud general. Por poner unos datos: a la edad de 65-74 años, en torno al 30% de las personas han perdido todos sus dientes, siendo las enfermedades periodontales la causa principal. La periodontitis severa tiene serias consecuencias para los afectados, incluyendo problemas de masticación y del habla, afectando el bienestar y la calidad de vida.
La situación de la enfermedad periodontal en España ha sido evaluada en los últimos años con una periodicidad quinquenal (2000, 2005, 2010 y 2015). Estos estudios permiten comprobar que en los adultos jóvenes (35-44 años) la prevalencia de enfermedad periodontal ha oscilado entre el 24-26%. En adultos mayores (65-74 años), la prevalencia global ha fluctuado entre el 38-44%.
Así que, vistos los datos, es una enfermedad muy extendida y que hay que tomarse en serio.
¿Cuáles son sus causas?
Os las cuento, pero fijaos bien el el gran «pero» del final.
Las causas de la enfermedad periodontal son diversas, intervienen factores genéticos, ambientales (tabaco, estrés…), medicamentos, factores locales, así que podemos decir que se considera una enfermedad de carácter etiológico multifactorial, PERO diversos estudios experimentales demostraron que la placa microbiana o biofilm es sin lugar a duda la causa (agente etiológico) principal.
Teniendo en cuenta que la enfermedad periodontal, una vez ha evolucionado hasta ser periodontitis, es irreversible, cobran más importancia los métodos de prevención.
Tratamiento
El objetivo del tratamiento de la periodontitis es limpiar exhaustivamente las bolsas alrededor de los dientes y prevenir daños en el hueso que las rodea. Dicha limpieza se realiza en la clínica dental, es imposible llevarla a cabo en casa, por eso es tan importante acudir a las citas de revisión o pedir una si crees que puedes tener esta enfermedad.

Cómo prevenirla
La enfermedad periodontal es en gran parte prevenible a través de una buena higiene bucal.
Mantener un estilo de vida saludable, una baja exposición a factores de riesgo como el tabaco o el consumo de alcohol, junto con una buena higiene bucal y revisiones regulares, son importantes en la prevención de la enfermedad periodontal.
La detección precoz a través de visitas regulares al dentista puede ayudar para hacer frente a la progresión de formas leves a formas graves de periodontitis.
¡Sigue una técnica correcta de cepillado, usa una pasta dentífrica poco abrasiva y visita al odontólogo al menos 1 vez al año! Si quieres consejos sobre cómo debes cepillar tus dientes correctamente, no debes perderte nuestro artículo «¿CEPILLAS TUS DIENTES DE MANERA CORRECTA?«
¡Espero que nuestro artículo «Periodontitis o Piorrea, qué es y cómo prevenir esta enfermedad pediodontal» te haya sido de ayuda y lo califiques! Si tienes alguna pregunta, no dudes en hacerla en los comentarios.
¡Feliz día!
La entrada PERIODONTITIS O PIORREA – Qué es y cómo prevenir esta enfermedad se publicó primero en BucoSalud.
