¿Necesitas motivación? Hoy Jordi, del blog Comerlapaleodieta, comparte con nosotros su increíble historia de recuperación. Muchas gracias por compartir tu experiencia y mostrarnos que hay esperanza para todos aquellos que padecen otra de esas enfermedades que se asumen como incurables.
De joven siempre había tenido problemas respiratorios, asma y muchos mocos. Era un niño activo pero con barriga, al que le extirparon las vegetaciones nasales y al cual le quitaron mucho moco de detrás del tímpano.
Con 19 años, pesaba 98 Kg y media 1.85 m estaba afrontando mi segundo curso de ingeniería con mucho estrés. Comía lo que quería, me encantaba la pasta, comía verduras, para merendar si me apetecía me tomaba un paquete de galletas. Mi estado de salud era aparentemente normal.
Al poco tiempo esto cambió y empecé a tener unos dolores horribles en la barriga y a dejar de ir al baño. Después de una semana sin ir al baño empecé a tener diarrea y a sangrar sin parar. Era como tener todos los días la regla por el culo, literalmente. Todo líquido con sangre.
Visité cientos de médicos y todos hacían lo mismo:
-¿Qué te pasa?
-Tengo diarrea y sangro por el culo.
-Eso debe ser una almorrana o una fisura. Tómate este jarabe laxante, dieta blanda y date esta pomada.
De acuerdo, hice eso y a las 2 semanas estaba que me moría y la cosa empeoraba. La sangre no paraba a pesar de seguir a rajatabla lo que el médico me recomendó. Fui a un cirujano de pago, me metió un tubo por el culo y me dijo:
-Te debemos de ingresar ya. Tu tratamiento será dieta absoluta.
Esto significa que nada, absolutamente nada puede entrar por la boca, todo por vena. Después de 8 días sin comer ni beber parecía un cadáver viviente, perdí unos 20 kilos. Me llevan al hospital y me hacen una colonoscopia.
-Usted tiene colitis ulcerosa, 40 centímetros de la parte baja del colon con úlceras. Es una enfermedad crónica e incurable, lo acompañará toda su vida.
Imaginaos mi cara, con 19 años y que te digan eso.
- Bueno doctor y ¿Qué puedo hacer?
- Tómese todos los días 3 de estas pastillas (claversal) y si se encuentra muy mal un enema (más tubitos por el culo).
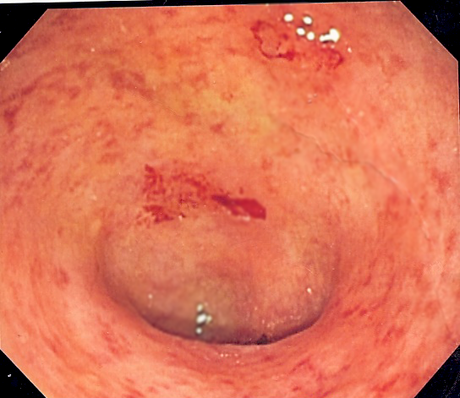
Investigando veo que la colitis es esto:

Estaba desesperado, volví al médico para decirle que esto no estaba funcionando y me dijo:
- Lo que a ti te pasa es que tienes una enfermedad autoinmune, tu cuerpo se ataca a sí mismo, la única forma de que mejores es con medicamentos biológicos que te bajan las defensas y adormecen tu sistema inmunitario. Si aún así no mejorases la última solución es eliminar la parte del colon que tiene heridas.
No entendía nada.
¿Por qué mi cuerpo me ataca? ¿Por qué lo hace? ¿Quitarme un trozo de colon mejorará mi situación? ¿Porqué disminuir la actividad del sistema inmunitario?
En la escuela de ingeniería me estaban enseñando que todos los problemas tienen solución y que si quieres obtener resultados distintos, no hagas siempre lo mismo.
Busqué quien me ayudase, pregunté a amigos y familiares, era algo bastante común y finalmente me recomendaron un médico de medicina holística que al parecer buscaba soluciones a las enfermedades.
Llego y el médico era un extranjero que casi no hablaba español tenía allí una chica traduciéndole.
Le digo cual ha sido mi diagnóstico:
-Úlcera colon, pólipo, parte baja del colon.
Y empieza a hablar en otro idioma con la traductora.
Me da una dieta que elimina azúcar refinado, trigo y lácteos. A continuación me recomienda que sólo coma lo siguiente:
Verduras crudas, frutas de temporada, carne y pescado al vapor, arroz hervido, almendras, nueces, coco, huevos, aceite de oliva y que beba solo agua.
También me da los siguientes suplementos nutricionales:
- Glutamina
- Concentrado de ñame (Wild Yam)
- Enzimas digestivas
- Gamma oryzanol

En una semana había desaparecido la sangre y los dolores. Al mes estaba notablemente mejor. El tratamiento me costó unos 100€. Investigando un poco más he visto que la dieta tiene todo su sentido porque elimina alimentos que no estamos preparados para digerir o irritan el intestino. La gran cantidad de alimentos crudos me proporcionaban, además de vitaminas y minerales, una fibra alimentaria de gran calidad. Es lógico pensar que nuestro aparato digestivo esté más preparado para digerir productos en su estado natural que productos procesados. A este razonamiento han llegado médicos, biólogos, bioquímicos, antropólogos y dietistas de diferentes épocas como William Davis, Dr. Jean Seignalet, Robb Wolf, Elaine Gottshall, Catherine Kousmine, Loren Cordain.
A continuación me puse a investigar sobre los suplementos y cuál era su función:
- Glutamina: Necesario para crear las células del intestino delgado.
- Ñame (Wild Yam): Remedio natural a base de un tubérculo para problemas intestinales, depura el organismo y ayuda a eliminar toxinas.
- Enzimas digestivas: Contribuyen a la correcta digestión de alimentos.
- Gamma oryzanol: Protege las mucosas gástricas.
Los médicos, en cambio, inhiben el mecanismo natural de defensa del cuerpo. Cosa que puede provocar la disminución en la capacidad de combatir infecciones. La dieta y las medicinas son 2 campos separados e independientes. Es por esto que se complementan.
Tú decides si tomar medicamentos o no del mismo modo que decides si hacer dieta o no.
