Deimos
compartido
MIS BLOGS
-
Homínidos
http://hominidos.blogspot.com/
Un rincón dedicado a la divulgación científica, el pensamiento crítico y la crítica a las pseudociencias
ÚLTIMOS ARTÍCULOS (868)
-
Universo violento
A 12 millones de años luz se encuentra la galaxia Centaurus A. En su interior, en el centro, hay escondido un agujero negro masivo. La masa de dicho agujero... Leer el resto
Publicado el 23 mayo 2011 CIENCIA -
La reflexión del domingo
"¿Dónde están los ejemplos de la ortodoxia religiosa que hayan sido abandonados debido a la aparición de nuevas pruebas inapelables? En ciencia las herejías de... Leer el resto
Publicado el 22 mayo 2011 CIENCIA -
Espectáculo celestial
Hacia tiempo que no enlazaba ninguna imagen del ESO (European Southern Observatory). En esta ocasión la imagen pertenece a la nebulosa NGC 3582:En lugares como... Leer el resto
Publicado el 18 mayo 2011 CIENCIA, CIENCIAS DEL UNIVERSO -
El regalo del Apolo
Otro de los tributos de Carl Sagan. En esta ocasión Sagan nos habla de la llegada a la Luna, de como toda esa carrera tenía más que ver con una lucha política... Leer el resto
Publicado el 17 mayo 2011 CIENCIA -
Otro responsable del desarrollo de nuestro cerebro
Si la semana pasada hablamos del gen NDE1 y su influencia en el desarrollo del tamaño del cerebro hoy tenemos que hablar de LAMC3.Si algo nos diferencia del... Leer el resto
Publicado el 16 mayo 2011 CIENCIA -
50 cosas que hay que saber sobre genética
La colección “50 cosas que hay que saber sobre...”, de la editorial Ariel, se está empezando a ganar un rincón en mis estanterías. Si el primero que leí me... Leer el resto
Publicado el 16 mayo 2011 CIENCIA, LIBROS -
El ABC del pensamiento mágico
Que en la prensa "seria" de este país, cada dos por tres se cuelan noticias donde se confunde ciencia con pseudociencia es algo lamentablemente cierto. Leer el resto
Publicado el 12 mayo 2011 CIENCIA -
El selenio no ayuda a prevenir el cáncer
Una revisión realizada por la Cochrane Collaboration muestra que el selenio no ayuda a prevenir el cáncer de piel ni de próstata.Una búsqueda por Internet nos... Leer el resto
Publicado el 11 mayo 2011 CIENCIA, SALUD Y BIENESTAR -
Nuevo libro de Dawkins. The Magic of reality
El editor encargado del nuevo libro de Richard Dawkins ha hecho publica la cubierta y seis páginas del interior(descargables desde aquí 14Mb). No está mal para... Leer el resto
Publicado el 11 mayo 2011 CIENCIA, LIBROS -
Siempre hemos sido nómadas
Desde siempre hemos sido una especie nómada, hemos vagado por el mundo, hemos recorrido todos sus rincones, ¿hacia donde nos dirigiremos ahora en nuestras ansia... Leer el resto
Publicado el 10 mayo 2011 CIENCIA -
Pensando Críticamente: ¿Qué son las radiaciones ionizantes?
Ya está disponible el último podcast de Pensando Críticamente. En esta ocasión entrevistamos a Fernándo Arqueros Catedrático de Física Atómica, Molecular y... Leer el resto
Publicado el 09 mayo 2011 CIENCIA -
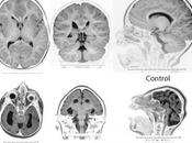
Fallos en el desarrollo del cerebro ¿quién es el responsable?
El cerebro es el responsable de que seamos como somos, sintamos como sentimos y pensemos como pensamos. La parte más externa del cerebro se la conoce como... Leer el resto
Publicado el 05 mayo 2011 CIENCIA -
Las brujas ¡vaya timo!
Tenía pendiente leer dos libros de la colección ¡Vaya timo! editado por Laetoli. Uno de ellos, del que ya he dado buena cuenta es "Las brujas ¡vaya timo!".El... Leer el resto
Publicado el 05 mayo 2011 LIBROS -
El mapa más completo del Universo en 3D
Hace tres años desde el Sloan Digital Sky Survey III se puso en marcha un proyecto para cartografiar el Universo. La intención era incluir en dicho mapa las... Leer el resto
Publicado el 04 mayo 2011 CIENCIA -
Los monos rhesus también recuerdan
No sólo los humanos podemos recordar, también los monos parecen hacerlo, además de forma muy similar a como lo hacemos nosotros, este nuevo hallazgo es de vita... Leer el resto
Publicado el 04 mayo 2011 CIENCIA -
El Universo no está hecho para nosotros
Desde que empezamos a preguntarnos sobre el Universo, el ser humano ha sentido el irrefrenable deseo de pensar que éste está hecho para nosotros, pero nada más... Leer el resto
Publicado el 03 mayo 2011 CIENCIA, CIENCIAS DEL UNIVERSO -
Un silencio Inquietante
Estamos ante un libro tremendamente especulativo y a la par interesante. “Un silencio inquietante” trata sobre el proyecto SETI, que son las siglas en ingles... Leer el resto
Publicado el 03 mayo 2011 LIBROS -
Escépticos en el Pub de Mayo
Como todos los meses llega puntual a su cita el Escépticos en el pub en Madrid. El día será el próximo sábado, es decir, 7 de mayo de 2011. El tema que se va a... Leer el resto
Publicado el 02 mayo 2011 CIENCIA -
Sinfonía Heroica de Tan Dun
Seguimos con más piezas interpretadas por la Orquesta Sinfónica de YouTube. En esta ocasión la pieza es del compositor Chino Tan Dun, que entre otras cosas fue... Leer el resto
Publicado el 30 abril 2011 MÚSICA -
La magnetosfera, un escudo invisible
Si estamos vivos es en parte gracias a que la Tierra cuenta con unos buenos escudos para protegernos de las amenazas que vienen de más allá de nuestra atmósfera... Leer el resto
Publicado el 29 abril 2011 CIENCIA, CIENCIAS DEL UNIVERSO
