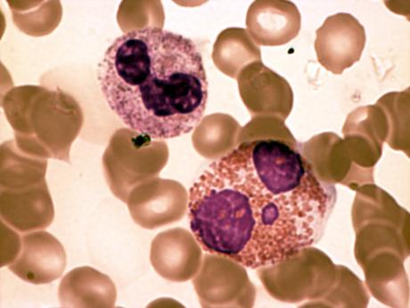
Leucocitos Los leucocitos (glóbulos blancos) son células nucleadas, cuyo número oscila entre 4.000 y 11.000 por microlitro de sangre. Actuando en conjunto, los leucocitos proporcionan al cuerpo mecanismos para la defensa contra los tumores y las infecciones virales, bacterianas y parasitarias.
Los glóbulos blancos se clasifican en dos series: granulocitos, que incluyen a los neutrófilos, basófilos y eosinófilos, y agranulocitos, representados por los monocitos y los linfocitos.

La fórmula leucocitaria relativa indica los porcentajes normales de cada tipo de leucocito en sangre.
La vida media varía según la clase de leucocito y oscila entre unas 6 horas para los neutrófilos y hasta varios años, para algunos linfocitos.
Los granulocitos presentan gran cantidad de gránulos (lisosomas), que se tiñen con distintos tipos de colorantes (neutros, ácidos o básicos), de donde derivan sus nombres. Todos los granulocitos poseen en sus gránulos la enzima mieloperoxidasa, que cataliza la formación de iones como el ClO- (hipoclorito), los cuales ayudan a la destrucción de las bacterias.
Los neutrófilos buscan, ingieren y matan a las bacterias. Son la primera línea de defensa ante las infecciones.Los eosinófilos participan en la defensa contra los parásitos
Los basófilos contienen gránulos con histamina y heparina e intervienen en las reacciones de hipersensibilidad.
Los linfocitos llevan adelante la respuesta inmune específica.
Los monocitos circulan durante 24 horas y luego ingresan a los tejidos, para convertirse en macrófagos tisulares. Son movilizados junto con los PMN durante la respuesta inflamatoria, constituyendo la segunda línea de defensa.
LAS REACCIONES INMUNITARIASTodos los animales tienen mecanismos de defensa para protegerse contra posibles agentes nocivos para sus células. Estos agentes dañinos pueden ser células extrañas o sustancias químicas que interfieren en el metabolismo. Los organismos extraños que, al proliferar en el cuerpo de un individuo (infección), pueden provocar enfermedades reciben el nombre de organismos patógenos, entre los cuales se encuentran principalmente virus, bacterias, protozoarios y hongos.
Sistemas defensivos no específicos
Los animales tienen tres niveles de defensa frente a la infección de agentes patógenos:Las superficies protectoras del cuerpo constituyen verdaderas barreras defensivas que se oponen pasivamente a la invasión extraña. Los principales mecanismos de este tipo son: la piel, las mucosas y sus secreciones (saliva, moco, lagrimas etc.), los epitelios de las vías respiratorias y del aparato urinario y genital, y las secreciones ácidas del estómago.
La respuesta celular inespecífica constituye una segunda barrera defensiva contra los agentes patógenos que logran atravesar las barreras superficiales y está representada por la fagocitosis, la inflamación y la secreción de interferón.
Inflamación y fagocitosis
Cuando los agentes patógenos invaden los tejidos se desencadena una reacción inflamatoria, caracterizada por una dilatación de los vasos de la zona afectada que incrementa el flujo sanguíneo y la permeabilidad de los capilares. El aumento del flujo sanguíneo lleva un gran número de células fagocitarias hacia el área infectada, mientras que el aumento en la permeabilidad de los vasos permite que las gammaglobulinas (que actúan como anticuerpos) ingresen en los tejidos.
El conjunto de las células fagocitarias forman el llamado sistema reticuloendotelial. Se trata de células (fagocitos) que capturan con sus pseudópodos a los microorganismos extraños, a los que destruyen y digieren en sus vacuolas ricas en lisosomas.Unas son móviles, como los leucocitos (neutrófilos y monocitos) de la sangre y los histiocitos o macrófagos del tejido conjuntivo, y otras son fijas, como los macrófagos fijos que revisten interiormente los canales del hígado, bazo, médula ósea y otros órganos.
La fagocitosis constituye el mecanismo de defensa más generalizado en el mundo animal y, en la mayoría de los invertebrados, el único sistema de defensa celular.
