Godieboy
compartido
MIS BLOGS
-
godie geek blog
http://godieboy.com/
blog de un geek que publica sobre Tecnologia, Internet, Programacion, Anime, Aplicaciones webs y cualquier cosa que vaya descubriendo en su dia a dia.
ÚLTIMOS ARTÍCULOS (760)
-
• placas de ateroma calcificadas que condicionan sitios de estenosis multinivel...
TECNICA: Con equipo de tiempo real de alta resolución, con transductor lineal, aplicando Doppler dúplex y Doppler Color se exploraron la arteria femoral común,... Leer el resto
Publicado el 26 enero 2026 TECNOLOGÍA -
Placas de ateroma calcificadas que condicionan sitios de estenosis multinivel co...
TECNICA: Con equipo de tiempo real de alta resolución, con transductor lineal, aplicando Doppler dúplex y Doppler Color se exploraron la arteria femoral común,... Leer el resto
Publicado el 25 enero 2026 TECNOLOGÍA -
Neumopatía crónica intersticial de predominio izquierdo, con disminución del...
LA PROYECCION RADIOLOGICA OBTENIDA NOS MUESTRA LOS SIGUIENTES HALLAZGOS: -Tejidos blandos, simétricos, con adecuada densidad, sin evidencia alteraciones. Leer el resto
Publicado el 31 diciembre 2025 TECNOLOGÍA -
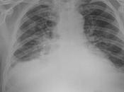
Existe neumotórax derecho con colapso del pulmón en un 90% aproximadamente
PA DE TORAX (TELE DE TORAX) LA PROYECCION RADIOLOGICA OBTENIDA NOS MUESTRA LOS SIGUIENTES HALLAZGOS: -Tejidos blandos, simétricos, con adecuada densidad, sin... Leer el resto
Publicado el 28 diciembre 2025 TECNOLOGÍA -
Existe aparente fractura del proceso posterior del astrágalo. fractura del 2do...
RADIOGRAFIA AP Y OBLICUA DE PIE LAS PROYECCIONES RADIOLOGICAS OBTENIDAS NOS MUESTRAN LOS SIGUIENTES HALLAZGOS -Tejidos blandos, existe aumento densidad y... Leer el resto
Publicado el 21 diciembre 2025 TECNOLOGÍA -
Existe material de artroplastia a nivel de articular interfalángico proximal de...
RADIOGRAFIAS AP Y LATERAL DE MANO Hallazgos: -Radio y cubito, con aumento la densidad y grosor a nivel interfalángico proximal de dedo medio. Resto sin evidenci... Leer el resto
Publicado el 15 diciembre 2025 TECNOLOGÍA -
Fractura del proceso posterior del astrágalo e involucro superior del calcáneo,...
RADIOGRAFIA AP Y LATERAL DE TOBILLO LAS PROYECCION RADIOLOGICA OBTENIDA NOS MUESTRA LOS SIGUIENTES HALLAZGOS -Tejidos blandos, con aumento de la densidad y... Leer el resto
Publicado el 06 diciembre 2025 TECNOLOGÍA -
Cambios en la densidad ósea de la tibia
Los tejidos blandos muestran una densidad homogénea.Cambios en la densidad ósea tibial, disminución en la densidad a nivel de la epífisis proximal, acentuación... Leer el resto
Publicado el 30 noviembre 2025 TECNOLOGÍA -
Imagen radiopaca proyectada en el primer arco costal derecho de 4.5 mm. que...
Se identifican los tejidos blandos y oseos de densidad homogénea.El cardiomediastino muestra un índice cardiotorácico en limites normales, la aorta asi como el... Leer el resto
Publicado el 22 noviembre 2025 TECNOLOGÍA -
Resonancia magnética simple del antebrazo derecho con colección de aspecto...
Motivo de estudio: Probable absceso versus desgarro muscular del tercio medio del antebrazo derecho.Técnica: En resonador de 1. Leer el resto
Publicado el 18 noviembre 2025 TECNOLOGÍA -
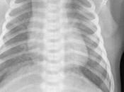
Existe datos de neumopatía crónica intersticial
PA DE TORAX (TELE DE TORAX) LA PROYECCION RADIOLOGICA OBTENIDA NOS MUESTRA LOS SIGUIENTES HALLAZGOS: -Tejidos blandos, con presencia de marcapasos... Leer el resto
Publicado el 16 noviembre 2025 TECNOLOGÍA -
severa dilatación de las asas intestinales
Se realizó estudio radiográfico de tórax, en proyección anteroposterior, observando lo siguiente:Tejidos blandos de grosor y densidad habitual.Estructuras... Leer el resto
Publicado el 15 noviembre 2025 TECNOLOGÍA -
Cefalohemátoma
no se ve al nacimiento, 12 a 24 horas, mas frecuente en parietales, principal complicación ictericia, se suele asociar a Fx lineales. Hernia diafragmática Más... Leer el resto
Publicado el 12 noviembre 2025 TECNOLOGÍA -
Hipertensión pulmonar persistente del RN
. Cianosis intensa + taquipnea. Shunt D-I. Dx. Prueba de hiperoxia, pO2 menor a 50, cardiopatía (Tx prostaglandinas). Menor de 10 HPPRN, mas de 250, problema... Leer el resto
Publicado el 09 noviembre 2025 TECNOLOGÍA -
Existen atelectasias bibasáleses con derramé pleural asociado ia
PA DE TORAX (TELE DE TORAX) LA PROYECCION RADIOLOGICA OBTENIDA NOS MUESTRA LOS SIGUIENTES HALLAZGOS: -Tejidos blandos, simétricos, con adecuada densidad, sin... Leer el resto
Publicado el 08 noviembre 2025 TECNOLOGÍA -
arco aórtico hacia la derecha
Se identifican los tejidos blandos y oseos de densidad homogénea, osteofitos incipientes vertebrales.El cardiomediastino muestra un índice cardiotorácico en... Leer el resto
Publicado el 05 noviembre 2025 TECNOLOGÍA -
Fractura por avulsión de tuberosidad del 5to metatarsiano con edema asociado
RADIOGRAFIA AP Y OBLICUA DE PIE LAS PROYECCIONES RADIOLOGICAS OBTENIDAS NOS MUESTRAN LOS SIGUIENTES HALLAZGOS -Tejidos blandos, existe leve aumento de la... Leer el resto
Publicado el 01 noviembre 2025 TECNOLOGÍA -
Transluciencia Nuchal (NT) y Pliegue Nuchal ( NF)
son las dos mediciones de ultrasonido utilizadas para evaluar potenciales anomalías cromosómicas, pero difieren en tiempo, ubicación, técnica y significado... Leer el resto
Publicado el 31 octubre 2025 TECNOLOGÍA -
redistribución del flujo vascular pulmonar
Se identifican los tejidos blandos de densidad homogénea.Disminución en la densidad de las estructuras oseas, osteofitos incipientes vertebrales. Leer el resto
Publicado el 28 octubre 2025 TECNOLOGÍA -
PEDIATRIA Cordón umbilical máximo debe caerse al dia 15
PEDIATRIA Cordón umbilical máximo debe caerse al dia 15. Hernia umbilical, criterio de reparación .- Defecto mayor de 1.5 cms a cualquier edad.– Defecto... Leer el resto
Publicado el 27 octubre 2025 TECNOLOGÍA
