Godieboy
compartido
MIS BLOGS
-
godie geek blog
http://godieboy.com/
blog de un geek que publica sobre Tecnologia, Internet, Programacion, Anime, Aplicaciones webs y cualquier cosa que vaya descubriendo en su dia a dia.
ÚLTIMOS ARTÍCULOS (760)
-
Importante distensión de marco colónico
LA PROYECCION RADIOLOGICA OBTENIDA NOS MUESTRA LOS SIGUIENTES HALLAZGOS: -Tejidos blandos, simétricos, con adecuada densidad, sin evidencia alteraciones. Leer el resto
Publicado el 25 octubre 2025 TECNOLOGÍA -
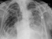
Existe proceso neumónico a nivel de pulmón derecho en lóbulo superior, con...
PA Y LATERAL DE TORAX LA PROYECCION RADIOLOGICA OBTENIDA NOS MUESTRA LOS SIGUIENTES HALLAZGOS: -Tejidos blandos, con densidad conservada, simétricos, sin... Leer el resto
Publicado el 23 octubre 2025 TECNOLOGÍA -
Asfixia perinatal
– Acidosis metabólica (pH igual o menor a 7). – Puntaje de APGAR 0-3 después de 5 minutos. – Alteraciones neurológicas o falla orgánica multisistemica. Leer el resto
Publicado el 22 octubre 2025 TECNOLOGÍA -
Fractura intraarticular y no desplazada de la base del quinto metatarsiano del...
Técnica. Se realizan radiografías del pie izquierdo en proyecciones dorsoplantar y oblicua.Hallazgos. Los tejidos blandos son de volumen y radiopacidad normal. Leer el resto
Publicado el 18 octubre 2025 TECNOLOGÍA -
Fractura del 5to metacarpo nivel de metáfisis (fractura del boxeador), con...
RADIOGRAFIAS AP Y OBLICUA DE MANO. Hallazgos: -de lo observado de radio y cubito, sin evidencia de lesiones líticas, blásticas o perdida de la contigüidad. Leer el resto
Publicado el 15 octubre 2025 TECNOLOGÍA -
Fractura del 5to metacarpo nivel de metáfisis (fractura del boxeador), con...
Froy MsdrfroyEditar perfil RADIOGRAFIAS AP Y OBLICUA DE MANO. Hallazgos: -de lo observado de radio y cubito, sin evidencia de lesiones líticas, blásticas o... Leer el resto
Publicado el 12 octubre 2025 TECNOLOGÍA -
Existe fractura por acuñamiento de cuerpo vertebral de l2
RADIOGRAFIA AP Y LATERAL DE COLUMNA LUMBAR HALLAZGOS: -Tejidos blandos, simétricos, con adecuada densidad y grosor. -Columna vertebral, central. Sin listesis.... Leer el resto
Publicado el 10 octubre 2025 TECNOLOGÍA -
Existe imagen sugerente de fractura antigua ya consolidada a nivel de cabeza...
RADIOGRAFIA AP DE HOMBRO EN LA PROYECCION RADIOGRÁFICA OBTENIDA, NOS MUESTRA LOS SIGUIENTES HALLAZGOS: Tejidos blandos, con adecuada densidad y grosor. Leer el resto
Publicado el 07 octubre 2025 TECNOLOGÍA -
Fractura de la metáfisis proximal del quinto metatarsiano, con datos de...
Descripción.Los tejidos blandos son normales, sin calcificaciones anormales.Las estructuras óseas se muestran de adecuada morfología y densidad, sin evidencia d... Leer el resto
Publicado el 04 octubre 2025 TECNOLOGÍA -
Existen datos sugerentes de lesión de los manguitos rotadores por disminución de...
RADIOGRAFIAS DE AP DE HOMBRO EN LA PROYECCION RADIOGRÁFICA OBTENIDA, NOS MUESTRA LOS SIGUIENTES HALLAZGOS: Tejidos blandos, con adecuada densidad, sin... Leer el resto
Publicado el 30 septiembre 2025 TECNOLOGÍA -
Luxacion interfalangica del 1er dedo con edema asociado
RADIOGRAFIA AP Y OBLICUA DE PIE LAS PROYECCIONES RADIOLOGICAS OBTENIDAS NOS MUESTRAN LOS SIGUIENTES HALLAZGOS -Tejidos blandos, con aumento la densidad y... Leer el resto
Publicado el 27 septiembre 2025 TECNOLOGÍA -
Se observa huesecillos accesorio navicular
RADIOGRAFIA AP, LATERAL Y OBLICUA DE PIE LAS PROYECCIONES RADIOLOGICAS OBTENIDAS NOS MUESTRAN LOS SIGUIENTES HALLAZGOS -Tejidos blandos, simétricos, con adecuad... Leer el resto
Publicado el 25 septiembre 2025 TECNOLOGÍA -
Epicondilitis lateral con rotura intrasustancia del tendón extensor común
Motivo de estudio: Dolor en la cara externa del codo derecho de 6 meses de evolución que limita la movilidad y disminuye la fuerza (datos proporcionados por... Leer el resto
Publicado el 20 septiembre 2025 TECNOLOGÍA -
Existe fractura a nivel de coxis proximal, no desplazada.
RADIOGRAFIA AP Y LATERAL DE COXIS HALLAZGOS: -Tejidos blandos, simétricos, con adecuada densidad y grosor. -En lo observado de columna vertebral, sin evidencia... Leer el resto
Publicado el 18 septiembre 2025 TECNOLOGÍA -
Fecolito en tercio distal de colón transverso que genera proceso inflamatorio...
TOMOGRAFIA SIMPLE DE ABDOMEN Y PELVIS. TECNICA: Se realiza cortes axiales de 5 x 5 mm en fase simple, con posterior reconstrucción en plano sagital y coronal. Leer el resto
Publicado el 13 septiembre 2025 TECNOLOGÍA -
Vertebrales de l4, l5 y s1 con tornillos transpediculares y barras fijadoras
RADIOGRAFIA AP Y LATERAL DE COLUMNA LUMBAR HALLAZGOS: -Tejidos blandos, simétricos, con adecuada densidad y grosor. -Columna vertebral, asimetría espinal... Leer el resto
Publicado el 11 septiembre 2025 TECNOLOGÍA -
Existe fractura a nivel de base de falange distal del 5to dedo en porción...
RADIOGRAFIAS AP Y LATERAL DE 5TO DEDO DE LA MANO Hallazgos: -En lo observado de metacarpos, sin evidencia de lesiones blásticas, líticas o perdidas de la... Leer el resto
Publicado el 06 septiembre 2025 TECNOLOGÍA -
Instrumentación del primer metacarpo
Técnica: de acuerdo con el protocolo de nuestro departamentoHallazgosLa mineralización es normalTratamiento quirúrgico de el primer metacarpoLa articulación... Leer el resto
Publicado el 04 septiembre 2025 TECNOLOGÍA -
Fractura de peroné a nivel de maléolo, inferior a sindesmosis sin aparentes...
RADIOGRAFIA AP Y LATERAL DE TOBILLO LAS PROYECCIONES RADIOLOGICAS OBTENIDAS NOS MUESTRAN LOS SIGUIENTES HALLAZGOS -Tejidos blandos, con aumento la densidad y... Leer el resto
Publicado el 01 septiembre 2025 TECNOLOGÍA -
Fractura a nivel de radio distal a nivel de metáfisis con fragmento distal...
RADIOGRAFIAS AP Y LATERAL DE MUÑECA Hallazgos: -Radio en porción distal con presencia de fractura de metáfisis por trayecto trasversal, con área distal oblicua... Leer el resto
Publicado el 31 agosto 2025 TECNOLOGÍA
