Godieboy
compartido
MIS BLOGS
-
godie geek blog
http://godieboy.com/
blog de un geek que publica sobre Tecnologia, Internet, Programacion, Anime, Aplicaciones webs y cualquier cosa que vaya descubriendo en su dia a dia.
ÚLTIMOS ARTÍCULOS (749)
-
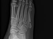
Fractura por múltiples fragmentos a nivel de cabeza de falange distal del 5to...
RADIOGRAFIAS AP Y LATERAL DE 5TO DEDO Hallazgos: -En lo observado de metacarpos, sin evidencia de lesiones blásticas, líticas o perdidas de la contigüidad. Leer el resto
Publicado el 19 febrero 2026 TECNOLOGÍA -
Tumores neuroendocrinos: aclaremos las cosas
Los tumores neuroendocrinos (TNE) son un grupo heterogéneo de lesiones que se originan en las células cromafines Pueden surgir en cualquier parte del cuerpo La... Leer el resto
Publicado el 18 febrero 2026 TECNOLOGÍA -
Existe elevación del hemidiafragma derecho con diferencia 5.6 cm, de origen a...
PA Y LATERAL DE TORAX LA PROYECCION RADIOLOGICA OBTENIDA NOS MUESTRA LOS SIGUIENTES HALLAZGOS: -Tejidos blandos, con densidad conservada, simétricos, sin... Leer el resto
Publicado el 14 febrero 2026 TECNOLOGÍA -
Imagen de remplazó de válvula mitral
PA Y LATERAL DE TORAX LA PROYECCION RADIOLOGICA OBTENIDA NOS MUESTRA LOS SIGUIENTES HALLAZGOS: -Tejidos blandos, con densidad conservada, simétricos, sin... Leer el resto
Publicado el 11 febrero 2026 TECNOLOGÍA -
Radiopacidad parahiliar superior derecha, que pudiera corresponder con áreas de...
Hallazgos:La tráquea es central, de calibre normal.Silueta cardíaca de bordes bien definidos, con índice cardiotorácico de 0.40. Leer el resto
Publicado el 08 febrero 2026 TECNOLOGÍA -
Existen imágenes sugerentes de obstrucción intestinal a nivel de recto
CUERPOGRAMA EN LA PROYECCIÓN RADIOGRÁFICA OBTENIDA MUESTRA LOS SIGUIENTES HALLAZGOS: Tejidos blandos simétricos, sin cambios en su densidad. Silueta... Leer el resto
Publicado el 06 febrero 2026 TECNOLOGÍA -
Fractura a nivel de metáfisis distal del radio, no desplazada con leve angulació...
RADIOGRAFIAS AP Y LATERAL ANTEBRAZO Hallazgos: -Radio, a nivel de diáfisis distal, con pérdida de la contigüidad por sutil trazo oblicuo y leve angulación palma... Leer el resto
Publicado el 03 febrero 2026 TECNOLOGÍA -
Estudio radiográfico de mano izquierda con hallazgos que sugieren fractura dista...
Se realizan radiografías en proyección anteroposterior y oblicua de mano izquierda, donde se observa lo siguiente:Los tejidos blandos del primer dedo muestran... Leer el resto
Publicado el 29 enero 2026 TECNOLOGÍA -
Motivo del estudio: Dolor a la flexión en el primer dedo ...
Motivo del estudio: Dolor a la flexión en el primer dedo con antecedente de lesión penetrante del mes de evolución que requirió sutura.Técnica: Se realizó... Leer el resto
Publicado el 27 enero 2026 TECNOLOGÍA -
• placas de ateroma calcificadas que condicionan sitios de estenosis multinivel...
TECNICA: Con equipo de tiempo real de alta resolución, con transductor lineal, aplicando Doppler dúplex y Doppler Color se exploraron la arteria femoral común,... Leer el resto
Publicado el 26 enero 2026 TECNOLOGÍA -
Placas de ateroma calcificadas que condicionan sitios de estenosis multinivel co...
TECNICA: Con equipo de tiempo real de alta resolución, con transductor lineal, aplicando Doppler dúplex y Doppler Color se exploraron la arteria femoral común,... Leer el resto
Publicado el 25 enero 2026 TECNOLOGÍA -
Neumopatía crónica intersticial de predominio izquierdo, con disminución del...
LA PROYECCION RADIOLOGICA OBTENIDA NOS MUESTRA LOS SIGUIENTES HALLAZGOS: -Tejidos blandos, simétricos, con adecuada densidad, sin evidencia alteraciones. Leer el resto
Publicado el 31 diciembre 2025 TECNOLOGÍA -
Existe neumotórax derecho con colapso del pulmón en un 90% aproximadamente
PA DE TORAX (TELE DE TORAX) LA PROYECCION RADIOLOGICA OBTENIDA NOS MUESTRA LOS SIGUIENTES HALLAZGOS: -Tejidos blandos, simétricos, con adecuada densidad, sin... Leer el resto
Publicado el 28 diciembre 2025 TECNOLOGÍA -
Existe aparente fractura del proceso posterior del astrágalo. fractura del 2do...
RADIOGRAFIA AP Y OBLICUA DE PIE LAS PROYECCIONES RADIOLOGICAS OBTENIDAS NOS MUESTRAN LOS SIGUIENTES HALLAZGOS -Tejidos blandos, existe aumento densidad y... Leer el resto
Publicado el 21 diciembre 2025 TECNOLOGÍA -
Existe material de artroplastia a nivel de articular interfalángico proximal de...
RADIOGRAFIAS AP Y LATERAL DE MANO Hallazgos: -Radio y cubito, con aumento la densidad y grosor a nivel interfalángico proximal de dedo medio. Resto sin evidenci... Leer el resto
Publicado el 15 diciembre 2025 TECNOLOGÍA -
Fractura del proceso posterior del astrágalo e involucro superior del calcáneo,...
RADIOGRAFIA AP Y LATERAL DE TOBILLO LAS PROYECCION RADIOLOGICA OBTENIDA NOS MUESTRA LOS SIGUIENTES HALLAZGOS -Tejidos blandos, con aumento de la densidad y... Leer el resto
Publicado el 06 diciembre 2025 TECNOLOGÍA -
Cambios en la densidad ósea de la tibia
Los tejidos blandos muestran una densidad homogénea.Cambios en la densidad ósea tibial, disminución en la densidad a nivel de la epífisis proximal, acentuación... Leer el resto
Publicado el 30 noviembre 2025 TECNOLOGÍA -
Imagen radiopaca proyectada en el primer arco costal derecho de 4.5 mm. que...
Se identifican los tejidos blandos y oseos de densidad homogénea.El cardiomediastino muestra un índice cardiotorácico en limites normales, la aorta asi como el... Leer el resto
Publicado el 22 noviembre 2025 TECNOLOGÍA -
Resonancia magnética simple del antebrazo derecho con colección de aspecto...
Motivo de estudio: Probable absceso versus desgarro muscular del tercio medio del antebrazo derecho.Técnica: En resonador de 1. Leer el resto
Publicado el 18 noviembre 2025 TECNOLOGÍA -
Existe datos de neumopatía crónica intersticial
PA DE TORAX (TELE DE TORAX) LA PROYECCION RADIOLOGICA OBTENIDA NOS MUESTRA LOS SIGUIENTES HALLAZGOS: -Tejidos blandos, con presencia de marcapasos... Leer el resto
Publicado el 16 noviembre 2025 TECNOLOGÍA
