Godieboy
compartido
MIS BLOGS
-
godie geek blog
http://godieboy.com/
blog de un geek que publica sobre Tecnologia, Internet, Programacion, Anime, Aplicaciones webs y cualquier cosa que vaya descubriendo en su dia a dia.
ÚLTIMOS ARTÍCULOS (760)
-
Imagen sugerente de torsion parcial tubaria derecha vs origen a determinar
TOMOGRAFIA SIMPLE Y CONTRASTADA DE ABDOMEN Y PELVIS. TECNICA: Se realiza cortes axiales de 5 x 5 mm en fase simple y contrastada, con posterior reconstrucción e... Leer el resto
Publicado el 29 agosto 2025 TECNOLOGÍA -
Pseudoartrosis por fractura antigua a nivel del tercio proximal de cubito...
RADIOGRAFIA DE ANTEBRAZO IZQUIERDOTECNICA: Proyección AP y LateralHALLAZGOS: • Solicion de continuidad con engrosamiento irregular de la cortical ósea de... Leer el resto
Publicado el 27 agosto 2025 TECNOLOGÍA -
Artroplastia en rodilla izquierda.
RADIOGRAFIA AP, LATERAL Y AXIALES DE RODILLAS LAS PROYECCIONES RADIOLÓGICAS MUESTRAN LOS SIGUIENTES HALLAZGOS: Los tejidos, simétricos, sin evidencia de... Leer el resto
Publicado el 24 agosto 2025 TECNOLOGÍA -
Fractura en ambas muñecas a nivel de escafoides en la cintura con...
RADIOGRAFIAS AP Y LATERAL DE MUÑECAS Hallazgos: -De lo observado de radio y cubito de ambas manos, sin evidencia de lesiones líticas, blásticas o perdidas de... Leer el resto
Publicado el 23 agosto 2025 TECNOLOGÍA -
Fractura de falange proximal del 5to dedo con material de osteosíntesis y edema...
LAS PROYECCIONES RADIOLOGICAS OBTENIDAS NOS MUESTRAN LOS SIGUIENTES HALLAZGOS -Tejidos blandos, simétricos, con aumento la densidad y grosor a nivel de tejidos... Leer el resto
Publicado el 21 agosto 2025 TECNOLOGÍA -
Fractura incompleta en porción inferior a nivel de falange distal del 5to dedo d...
RADIOGRAFIAS AP Y LATERAL DE 5TO DEDO DE LA MANO Hallazgos: -En lo observado de metacarpos, sin evidencia de lesiones blásticas, líticas o perdidas de la... Leer el resto
Publicado el 17 agosto 2025 TECNOLOGÍA -
Avidad torácica izquierda, con derrame pleural 70% aproximadamente vs origen a...
PA DE TORAX (TELE DE TORAX) LA PROYECCION RADIOLOGICA OBTENIDA NOS MUESTRA LOS SIGUIENTES HALLAZGOS: -Tejidos blandos, con densidad conservada, simétricos, sin... Leer el resto
Publicado el 05 abril 2025 TECNOLOGÍA -
Datos sugerentes de pinzamiento subacromial
RADIOGRAFIA AP DE HOMBRO EN LA PROYECCION RADIOGRÁFICA OBTENIDA, NOS MUESTRA LOS SIGUIENTES HALLAZGOS: Tejidos blandos, sin evidencia de lesiones, conservando... Leer el resto
Publicado el 04 abril 2025 TECNOLOGÍA -
CASO 5. Diarrea en el paciente crítico
1. Definición de diarrea en el paciente en estado crítico 2. Causa no infecciosa más común de diarrea en el paciente en estado crítico 3. Leer el resto
Publicado el 03 abril 2025 TECNOLOGÍA -
aparente fractura en porción dorsal de semilunar
Hallazgos: – De lo observado de radio y cubito, sin evidencia de lesiones líticas, blásticas o perdidas de la contigüidad. Existe perdida de la relación entre e... Leer el resto
Publicado el 31 marzo 2025 TECNOLOGÍA -
Fractura a nivel de falange proximal del 5to dedo, con edema asociado
LAS PROYECCIONES RADIOLOGICAS OBTENIDAS NOS MUESTRAN LOS SIGUIENTES HALLAZGOS -Tejidos blandos, de falanges de 5to dedo con aumento de su densidad y grosor. Leer el resto
Publicado el 30 marzo 2025 TECNOLOGÍA -
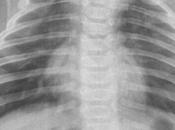
Bronquiolitis
TÓRAX AP EN LA PROYECCIÓN RADIOGRÁFICA OBTENIDA MUESTRA LOS SIGUIENTES HALLAZGOS: Tejidos blandos simétricos, sin cambios en su densidad. Silueta... Leer el resto
Publicado el 29 marzo 2025 TECNOLOGÍA -
Obstrucción de intestino delgado a nivel de íleon (de origen a determinar),...
TOMOGRAFIA SIMPLE Y CONTRASTADA, DE ABDOMEN Y PELVIS. TECNICA: Se realiza cortes axiales de 5 x 5 mm en fase simple y contrastada, con posterior reconstrucción... Leer el resto
Publicado el 28 marzo 2025 TECNOLOGÍA -
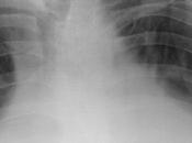
Derrame pleural izquierdo masivo, condicionando desplazamiento derecho de...
PA DE TORAX (TELE DE TORAX) LA PROYECCION RADIOLOGICA OBTENIDA NOS MUESTRA LOS SIGUIENTES HALLAZGOS: -Tejidos blandos, con densidad conservada, simétricos, sin... Leer el resto
Publicado el 26 marzo 2025 TECNOLOGÍA -
Reforzamiento parahiliar bilateral, sin descartar de origen cardiogénico
TÓRAX AP LA PROYECCIÓN RADIOGRÁFICA OBTENIDA MUESTRA LOS SIGUIENTES HALLAZGOS: Tejidos blandos simétricos, sin cambios en su densidad. Leer el resto
Publicado el 24 marzo 2025 TECNOLOGÍA -
Aparentes fracturas a nivel de capitellum y epicóndilo lateral de húmero
LAS PROYECCIONES RADIOLOGICAS OBTENIDAS NOS MUESTRA LOS SIGUIENTES HALLAZGOS: -Tejidos blandos, con adecuada densidad, simétricos, sin evidencia de lesiones. Leer el resto
Publicado el 23 marzo 2025 TECNOLOGÍA -
Fracturas antiguas a nivel de radio y cubito distal, con impactación hacia carpo...
RADIOGRAFIAS AP DE MANO Hallazgos: -Cúbito, con fractura a nivel de apófisis estiloides, de aspecto antiguo. Radio con fractura su porción distal de aspecto... Leer el resto
Publicado el 22 marzo 2025 TECNOLOGÍA -
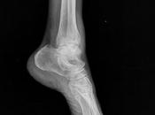
Apófisis estiloides del 5to metatarsiano con presencia de fractura de tipo pseud...
RADIOGRAFIA AP Y OBLICUA DE PIE LAS PROYECCIONES RADIOLOGICAS OBTENIDAS NOS MUESTRAN LOS SIGUIENTES HALLAZGOS -Tejidos blandos, a la altura de apófisis... Leer el resto
Publicado el 21 marzo 2025 TECNOLOGÍA -
Aparente luxación del trapecio en proyección ap
RADIOGRAFIAS AP Y LATERAL DE MUÑECA Hallazgos: – De lo observado de radio y cubito, sin evidencia de lesiones líticas, blásticas o perdidas de la contigüidad.... Leer el resto
Publicado el 19 marzo 2025 TECNOLOGÍA -
CASO 6 Manejo de la hiperglucemia en el paciente críticamente enfermo
MANEJO DE LA HIPERGLUCEMIA EN EL PACIENTE CRÍTICAMENTE ENFERMO INFORMACIÓN MÍNIMIA INDISPENSABLE SEGÚN EL PLAN DE ESTUDIOS:1. Epidemiología 2. Etiologia y... Leer el resto
Publicado el 17 marzo 2025 TECNOLOGÍA
