Revista Salud y Bienestar
ÚLTIMOS ARTÍCULOS DE LOS PAPERBLOGUEROS
-
El Tabaco se deja
Hoy fue uno de esos días en los que se te plantea la ocasión de aproximarte a una experiencia casi religiosa: se trataba de ayudar a dejar de fumar a un... Leer el resto
El 28 julio 2023 por Jas
-
¿Qué es el mecanismo red de flexibilidad y estabilización en el empleo?
En este artículo vamos a ver el mecanismo red de flexibilidad y estabilización del empleo, como los nuevos ERTE. A finales del mes de febrero, el Consejo de... Leer el resto
El 31 julio 2023 por Pedirayudas
-
Las ayudas que puedes cobrar del SEPE si tienes entre 30 y 55 años y estás en...
En este artículo vamos a ver las distintas ayudas del sepe para desempleados si te encuentras entre los 30 y los 55 años. El paro registrado en el... Leer el resto
El 23 julio 2023 por Pedirayudas
-
Jubilación y empleo: ¿puedo cobrar la pensión si trabajo?
Muchas personas se preguntarán si es compatible la jubilacion con el empleo. En este artículo responderemos a la pregunta de si es posible cobrar la pensió... Leer el resto
El 25 julio 2023 por Pedirayudas
-
Las enfermedades que te permiten una pensión por incapacidad permanente
En este artículo vamos a ver las distintas enfermedades que te permiten acceder a la pensión por Incapacidad Permanente. Aunque no existe inicialmente una... Leer el resto
El 01 julio 2023 por Pedirayudas
-
¿sabías que el cáncer de piel es mucho más que el melanoma o el carcinoma?
Cuando hablamos de cáncer de piel siempre nos referimos al melanoma y al carcinoma, que son los más frecuentes. Sin embargo, existen algunos tipos... Leer el resto
El 25 julio 2023 por Neumannac
-
Hacienda esta pagando la ayuda de 200 euros
Buenas noticias para los beneficiarios de la ayuda de 200 euros. La Agencia Tributaria sigue abonando esta ayuda fuera del plazo estipulado de pago. ¿Por... Leer el resto
El 18 julio 2023 por Pedirayudas
-
Subida de pensiones a la vista
¿Estás interesado en la subida de las pensiones? Ya hay fecha a la vista, en este artículo te indicamos todos los detalles. Millones de... Leer el resto
El 20 julio 2023 por Pedirayudas
-
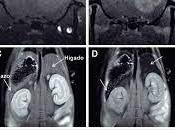
La Resonancia Magnética Metabólica
Es una herramienta que permite controlar los flujos metabólicos de forma que, en sólo diez minutos, se puede obtener información dinámica de un gran... Leer el resto
El 17 julio 2023 por Jesus Gutierrez
-
Reclamar una ayuda de 200 euros denegada
Si no te la han concedido, en este artículo te mostramos cómo podrás reclamar una ayuda de 200 euros denegada. La ayuda de 200 euros aprobada por el... Leer el resto
El 10 julio 2023 por Pedirayudas
IR MÁS ALLÁ
-
Cómo puedo reclamar la ayuda de 200 euros
El 13 julio 2023 por Pedirayudas :
-
Cambio importante para reclamar la ayuda de 200 euros
El 07 julio 2023 por Pedirayudas :
-
¿Hasta cuándo se puede cobrar la ayuda de 200 euros?
El 06 julio 2023 por Pedirayudas :
-
Teléfono del INSS
El 16 julio 2023 por Pedirayudas :
-
El cambio sobre presentar alegaciones de la ayuda de 200 euros
El 16 julio 2023 por Pedirayudas :
-
¿Cuándo se cobra el paro y el subsidio por desempleo en julio de 2023?
El 01 julio 2023 por Pedirayudas :
-
Un único requisito para solicitar la ayuda de 7.000 euros
El 19 julio 2023 por Pedirayudas :
-
Monitor detecta en tiempo real los virus respiratorios
El 10 julio 2023 por Jesus Gutierrez :
-
Sesión on line - LUNA NUEVA EN CÁNCER 25º -
El 12 julio 2023 por Unrespiro : Deportes,
-
El SEPE sanciona quitando el subsidio para mayores de 52 años
El 12 julio 2023 por Pedirayudas :
-
Cómo consultar el estado de la ayuda de 200 euros de 2023
El 17 julio 2023 por Pedirayudas :
-
Opciones para reclamar a Hacienda la ayuda de 200 euros
El 05 julio 2023 por Pedirayudas :
-
Los adultos mayores activos tienen una mejor calidad de vida
El 04 julio 2023 por Jesus Gutierrez :
-
Cómo reclamar una ayuda de 200 euros denegada
El 12 julio 2023 por Pedirayudas :
-
Así puedes pedir la Tarjeta dorada de Renfe
El 22 julio 2023 por Pedirayudas :
-
Cuida tus articulaciones
El 20 julio 2023 por Mrsrosaperez :
-
¿Por qué no me han pagado el IMV este mes?
El 26 julio 2023 por Pedirayudas :
-
Hacienda notifica que ya están pagando la nueva remesa de la ayuda de 200 euros
El 26 julio 2023 por Pedirayudas :
-
Cómo solicitar la mejora de empleo en 2023
El 14 julio 2023 por Pedirayudas :
-
Cómo solicitar la tarjeta de demanda de empleo para cobrar el paro
El 19 julio 2023 por Pedirayudas :
DÍA MUNDIAL DE LA SALUD
PÍLDORA ANTICONCEPTIVA
DÍA MUNDIAL DEL AUTISMO
VIH
VPH
MANUEL ALEXANDRE
