Revista Salud y Bienestar
Selección Paperblog Salud y Bienestar
¿sabes cuánto azúcar es recomendable tomar al día?
Si estas interesad@ en el tema este post te puede ayudar. La verdad es que para muchos, vivir sin azúcar es casi imposible, pero es importante que sepamos cuanta es la cantidad... Leer el resto
Selección Paperblog Salud y Bienestar
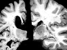
Un tratamiento elimina en monos las placas que pueden causar el alzhéimer
Enviado por Fernanda GonzálezSe dice que el alzheimer será la epidemia del siglo XXI y que puede "aplastar" materialmente la civilización occidental. Leer el resto
ÚLTIMOS ARTÍCULOS DE LOS PAPERBLOGUEROS
-
Ultherapy en madrid
Hemos recibido muchas consultas en relación a la información sobre Ultherapy, la última tecnología de ultrasonidos focalizados para mejorar la flaccidez si... Leer el resto
El 26 noviembre 2014 por Neumannac
-
La osteoporosis, qué es y cómo tratarla
¡Buenos días! Comenzamos ya el penúltimo mes del año y lo hacemos hablando de una patología muy común, sobre todo en mujeres en la menopausia o post-menopáusica... Leer el resto
El 03 noviembre 2014 por Nutricionalas6
-
Cómo curar la Afasia 3 medicinas alternativas
Curar la Afasia 3 Medicinas Alternativas Como Curar la Afasia 3 Medicinas Alternativas Hoy voy a compartir con ustedes 4 tipos de afasia y 3 medicinas... Leer el resto
El 27 noviembre 2014 por Dianamurolau
-
¿Cómo duermen los alemanes?
El título de este post puede parecer un poco extraño ya que en el fondo los alemanes duermen como el resto del mundo. Pero, tras mi reciente visita al país... Leer el resto
El 04 noviembre 2014 por Frankeinas
NONE -
Convierten la caca en combustible para cohetes
A solicitud de la NASA, investigadores de la Universidad de Florida han descubierto la manera de convertir los desechos humanos - sí, ese tipo - en combustible... Leer el resto
El 28 noviembre 2014 por Alexiustoday
-
Pronto en Caracas: Salud y Bienestar para Mamá
Nota de prensa Zona Vital estará apoyando este evento que promete traer para mamá mucho bienestar y salud. El próximo sábado 29 de noviembre en e... Leer el resto
El 13 noviembre 2014 por Zonavital
-
Médicos que piden no recetar fármacos de Grünenthal tras la injusticia de...
El médico José Martínez López indignado porque un tribunal ha dejado sin indemnización a las víctimas de la talidomida en España, ha propuesto un boicot a... Leer el resto
El 05 noviembre 2014 por Miguel
-
Recaer en el tabaco o “Tener una recaída”
Cuando se está dejando de fumar es normal el hecho de recaer en el tabaco. Tener una recaída en el tabaco es normal si intentas dejar de fumar. Yo al ... Leer el resto
El 27 noviembre 2014 por Rafaele
-
Limpiar el Higado de Forma Natural 10 Formas
Limpiar el Higado de Forma Natural Limpiar el Higado de Forma Natural 10 Formas Su hígado hace más de 500 puestos de trabajo diferentes. Leer el resto
El 26 noviembre 2014 por Dianamurolau
-
Síndrome de Fahr
es una rara enfermedad neurológica que se manifiesta sobre todo en los 30 de una persona o de 40, pero puede ocurrir en cualquier momento. Leer el resto
El 21 noviembre 2014 por Saludconsultas
IR MÁS ALLÁ
-
QUÉ SON LAS ANTIVITAMINAS?
El 27 noviembre 2014 por Nuriadietetik :
-
Servicios de farmacia y relación médico-farmacéutico
El 06 noviembre 2014 por Anagarcia :
-
AeroYoga, Antigravedad, Acrobático o Antigravity Yoga
El 13 noviembre 2014 por Anahigemma :
-
La seudogota: ¿que es?, causas, sintomas, diagnóstico y tratamiento
El 05 noviembre 2014 por Saludconsultas :
-
¿Cómo va a ser tu día Hoy? Mario Benedetti
El 12 noviembre 2014 por Dietética Casa Pià :
-
Pechuga de pavo: la mayoría con muchos aditivos y poca carne
El 04 noviembre 2014 por Moiseschacon :
-
Mitos sobre la fibromialgia
El 08 noviembre 2014 por Victor G., Fibroparla :
-
Nueva vacuna genera una fuerte respuesta inmune contra la hepatitis C
El 07 noviembre 2014 por Alexiustoday :
-
I Aniversario de Espacio De Corredoras, ¡te esperamos!
El 15 noviembre 2014 por Equipo Edc - Mary González : Deportes,
-
¿Qué es el Reumatismo Palindrómico?
El 18 noviembre 2014 por Artricenter :
-
Fractura de Lisfranc y Tipos de lesiones de Lisfranc
El 19 noviembre 2014 por Saludconsultas :
-
Mis primeras sensaciones y la entrevista a Robert Ford sobre el FreeStyle Libre
El 03 noviembre 2014 por Vivetudiabetes :
-
I Trail Running El Bosque, en plena sierra de Cádiz
El 21 noviembre 2014 por Rf10 : Deportes,
-
Segunda parada Run&Mind: la energética Marta Larralde
El 24 noviembre 2014 por Paula Butragueño :
-
La artrosis: prevención y tratamiento
El 24 noviembre 2014 por Anagarcia :
-
Las agüjetas y los suplementos
El 19 noviembre 2014 por José Antonio Villegas García :
-
12 verdades sobre la diabetes
El 20 noviembre 2014 por Maxisoria :
-
Eliminación De Tatuajes: Las Mejores Opciones
El 17 noviembre 2014 por Saludconsultas :
-
¡Abrígate que te vas a resfriar!…pues va a ser que no
El 30 noviembre 2014 por Mariajosehe :
-
Explorando Síndrome Hiper Empatía
El 08 noviembre 2014 por Saludconsultas :
OTROS CAPRICHOS PAPERBLOG
-
La cúrcuma, esa gran especia
El 14 noviembre 2014
-
¿Qué hacer cuando el dolor no te deja dormir?
El 16 noviembre 2014
-
BEBIDAS QUE TE AYUDAN A ADELGAZAR
El 15 noviembre 2014 Cocina
-
La sal y la hipertensión arterial
El 17 noviembre 2014
-
Cebolla, un medicamento natural
El 13 noviembre 2014 Cocina
DÍA MUNDIAL DE LA SALUD
PÍLDORA ANTICONCEPTIVA
DÍA MUNDIAL DEL AUTISMO
VIH
VPH
MANUEL ALEXANDRE
