Revista Salud y Bienestar
ÚLTIMOS ARTÍCULOS DE LOS PAPERBLOGUEROS
-
Beneficios fiscales para familias numerosas sin reconocimiento oficial
Obtener el titulo o carnet de familia numerosa en 2021 Como solicitar el "cheque familiar" en 2021 Como ya sabes, las familias numerosas reconocidas oficialment... Leer el resto
El 02 agosto 2021 por Pedirayudas
-
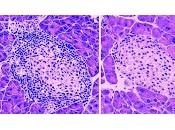
Una Proteina puede Frenar la Aparicion de la Diabetes tipo 1
En la diabetes tipo 1 el sistema inmunológico ataca las regiones de los islotes del páncreas, que están formadas por células productoras de hormonas . Leer el resto
El 16 agosto 2021 por Jesus Gutierrez
-
Disparidades en la atención de la salud mental en niños y adultos autistas
Las tres cuartas partes de los niños autistas tienen al menos una condición de salud mental concurrente , incluidos problemas de conducta, ansiedad y... Leer el resto
El 31 agosto 2021 por Jesus Gutierrez
-
El nacimiento prematuro es un factor de riesgo para el autismo
Investigadores de la Escuela de Medicina Icahn de Mount Sinai en la ciudad de Nueva York realizaron un gran estudio donde apreciaron que entre las personas que... Leer el resto
El 11 agosto 2021 por Jesus Gutierrez
-
Abanicando problemas
-. Doctor, me duele aquí, en la parte delantera del muslo, cerca de la rodilla…-. Ah!... ¿Y desde cuando le duele? -. Ufff… Yo diría que hace unos tres... Leer el resto
El 23 agosto 2021 por Jas
-
Cuidado, si recibes estos mensajes sobre la vacunación o el pasaporte COVID son...
Como llevar el certificado COVID en el móvil El Certificado COVID de la Unión Europea "Green pass": todo lo que debes saber El Ministerio de Sanidad nos... Leer el resto
El 16 agosto 2021 por Pedirayudas
-
¿Cómo Frenar la propagación de las Variantes del COVID 19?
Dada la alta tasa de transmisión que ha demostrado la variantes especialmente la Delta, alcanzar la inmunidad colectiva e interrumpir la transmisión puede... Leer el resto
El 24 agosto 2021 por Jesus Gutierrez
-
La Erradicación global de COVID-19 es todavia posible
Las Naciones de altos ingresos luchan por lograr que sus habitantes se vacunen y las de ingreso bajo luchan por adquirir dosis de vacuna suficientes antes que... Leer el resto
El 14 agosto 2021 por Jesus Gutierrez
-
Así puedes consultar y descargar tu vida laboral en solo tres pasos
Si recibes este correo de la Tesorería General, es un aviso oficial, no lo elimines Como presentar solicitudes o realizar tramites con la Seguridad Social en 3... Leer el resto
El 24 agosto 2021 por Pedirayudas
-
He perdido la incapacidad permanente ¿qué puedo hacer?
Como solicitar la pensión de incapacidad permanente en 2021 Llevo 365 días de baja con prestación por Incapacidad Temporal, ¿qué tengo que hacer ahora?... Leer el resto
El 02 agosto 2021 por Pedirayudas
IR MÁS ALLÁ
-
Las vacunas Covid-19 no producen inmunidad de rebaño o de grupo
El 12 agosto 2021 por Miguel :
DÍA MUNDIAL DE LA SALUD
PÍLDORA ANTICONCEPTIVA
DÍA MUNDIAL DEL AUTISMO
VIH
VPH
MANUEL ALEXANDRE

LOS MÁS LEÍDOS SALUD Y BIENESTAR
-
María, La Tifoidea por
Jas
Todos los artículos