Revista Tecnología
ÚLTIMOS ARTÍCULOS DE LOS PAPERBLOGUEROS
-
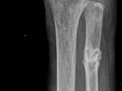
Pseudoartrosis por fractura antigua a nivel del tercio proximal de cubito...
RADIOGRAFIA DE ANTEBRAZO IZQUIERDOTECNICA: Proyección AP y LateralHALLAZGOS: • Solicion de continuidad con engrosamiento irregular de la cortical ósea de... Leer el resto
El 27 agosto 2025 por Godieboy
-
Fractura a nivel de radio distal a nivel de metáfisis con fragmento distal...
RADIOGRAFIAS AP Y LATERAL DE MUÑECA Hallazgos: -Radio en porción distal con presencia de fractura de metáfisis por trayecto trasversal, con área distal oblicua... Leer el resto
El 31 agosto 2025 por Godieboy
-
Imagen sugerente de torsion parcial tubaria derecha vs origen a determinar
TOMOGRAFIA SIMPLE Y CONTRASTADA DE ABDOMEN Y PELVIS. TECNICA: Se realiza cortes axiales de 5 x 5 mm en fase simple y contrastada, con posterior reconstrucción e... Leer el resto
El 29 agosto 2025 por Godieboy
-
¿Utilizas IA en tu web o marketing? Así puedes cumplir con el RGPD (sin miedo y...
Me encanta estar aquí, porque Rubén ha sido uno de mis primeros clientes y porque su política de privacidad es la más genuina y salaá que he visto (tienes que... Leer el resto
El 25 agosto 2025 por Rubén Alonso
NONE -
Artroplastia en rodilla izquierda.
RADIOGRAFIA AP, LATERAL Y AXIALES DE RODILLAS LAS PROYECCIONES RADIOLÓGICAS MUESTRAN LOS SIGUIENTES HALLAZGOS: Los tejidos, simétricos, sin evidencia de... Leer el resto
El 24 agosto 2025 por Godieboy
-
Cómo proteger tu cuenta y tu página de Facebook sin dramas
La llegada de la Inteligencia Artificial a todos los aspectos de la vida es utilizada por muchas empresas y amigos de lo ajeno, como herramienta de palanca o... Leer el resto
El 08 agosto 2025 por Santi Santi Hernández Nápoles
-
Fractura incompleta en porción inferior a nivel de falange distal del 5to dedo d...
RADIOGRAFIAS AP Y LATERAL DE 5TO DEDO DE LA MANO Hallazgos: -En lo observado de metacarpos, sin evidencia de lesiones blásticas, líticas o perdidas de la... Leer el resto
El 17 agosto 2025 por Godieboy
-
Fractura en ambas muñecas a nivel de escafoides en la cintura con...
RADIOGRAFIAS AP Y LATERAL DE MUÑECAS Hallazgos: -De lo observado de radio y cubito de ambas manos, sin evidencia de lesiones líticas, blásticas o perdidas de... Leer el resto
El 23 agosto 2025 por Godieboy
-
Redes sociales y diseño web: Claves para el éxito digital
La combinación de redes sociales y diseño web es fundamental para el éxito en el entorno digital actual. Integrar ambas áreas permite a las marcas mejorar su... Leer el resto
El 25 agosto 2025 por Elisabet Elisabet Gómez
-
Fractura de falange proximal del 5to dedo con material de osteosíntesis y edema...
LAS PROYECCIONES RADIOLOGICAS OBTENIDAS NOS MUESTRAN LOS SIGUIENTES HALLAZGOS -Tejidos blandos, simétricos, con aumento la densidad y grosor a nivel de tejidos... Leer el resto
El 21 agosto 2025 por Godieboy
IR MÁS ALLÁ
-
¿Qué es la AIO en SEO?
El 26 agosto 2025 por Seowilko :
IPAD
MANUEL ALEXANDRE
